Răng bị mảng bám vàng thì phải làm sao?
Răng bị mảng bám vàng là tình trạng phổ biến mà hầu như mọi người đều gặp phải nhưng không phải ai cũng biết cách điều trị, phòng ngừa hiệu quả để tình trạng này không diễn tiến nặng hơn.
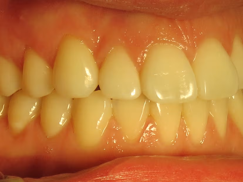
1. Răng bị mảng bám vàng là như thế nào?
Mảng bám là lớp màng ở trên bề mặt răng. Ban đầu lớp màng này không có màu, nhưng sau đó nếu không được loại bỏ sẽ chuyển sang màu vàng và thậm chí là màu đen nếu diễn tiến nặng. Các mảng bám màu vàng này được hình thành do nước bọt, vi khuẩn và thức ăn thừa. Mảng bám dính chặt trên răng, khó tan trong nước và không dễ dàng loại bỏ. Theo các bác sĩ, nếu trong vòng một tuần không được làm sạch sẽ thì mảng bám sẽ vôi hóa thành cao răng ở xung quanh thân răng, gây nên viêm nướu, áp xe răng và thậm chí là mất răng.
Mảng bám là lớp màng ở trên bề mặt răng, ban đầu không có màu, nhưng sau đó nếu không được loại bỏ sẽ chuyển sang màu vàng và thậm chí là màu đen nếu diễn tiến nặng
2. Nguyên nhân gây mảng bám vàng ở răng
2.1 Thói không đánh răng thường xuyên và đúng cách
Nếu không chải răng thường xuyên và đúng cách, vụn thức ăn sẽ không được làm sạch, tích tụ lại và bám chắc trên bề mặt răng.
2.2 Không làm sạch răng miệng toàn diện
Nhiều người cho rằng chỉ đánh răng thôi là đủ và không dùng thêm các phương pháp làm sạch răng miệng toàn diện như súc miệng hay chỉ nha khoa. Đây là một quan điểm không đúng và dẫn tới hệ lụy mảng bám vẫn tồn tại trên bề mặt răng.
2.3 Thói quen ăn uống không lành mạnh
Ăn quá nhiều đồ ngọt, đồ đậm màu, uống nhiều trà, cà phê, đồ uống có chất tạo màu….là một thói quen gây hại cho men răng.
2.4 Hút thuốc hay sử dụng chất kích thích
Mảng bám sẽ dần hình thành và khó loại bỏ nếu bạn giữ thói quen hút thuốc thường xuyên hay sử dụng các chất kích thích.
Hút thuốc là một nguyên nhân phổ biến gây nên tình trạng mảng bám vàng
3. Tác hại của mảng bám vàng trên răng
– Hình thành các bệnh lý răng như sâu răng, áp xe răng, tiêu xương….
– Lợi bị tổn thương và gặp các tình trạng như viêm nướu, viêm nha chu.. và nếu không điều trị kịp thời thì sẽ dẫn đến tình trạng tụt lợi và mất răng.
– Gây mất thẩm mỹ cho răng, không có màu trắng sáng như bình thường
– Hơi thở có mùi và khiến bạn tự ti trong giao tiếp.
– Các bệnh lý toàn thân có thể hình thành như: tim mạch, huyết áp, hô hấp, sinh non,…
4. Cách điều trị răng bị mảng bám vàng
4.1 Chăm sóc tại nhà
Chế độ chăm sóc răng
Với trường hợp mảng bám ở mức độ nhẹ và chưa hình thành vôi răng, bạn có thể áp dụng các chế độ chăm sóc tại nhà như:
– Có thói quen đánh răng đúng cách và thực hiện hàng ngày. Theo các bác sĩ, bạn nên đánh răng sau các bữa ăn 30 phút, trước khi đi ngủ và sau khi thức dậy.
– Lựa chọn những loại bàn chải lông mềm, có kích thước phù hợp vì những loại bàn chải to, lông bàn chải có chất liệu kém thì không những không làm sạch bề mặt răng mà còn gây tổn thương nướu.
– Sử dụng kem đánh răng có chứa thành phần flouride, vì đây là chất giúp tăng cường men răng và hạn chế tối đa tình trạng mảng bám.
– Bên cạnh việc chải răng, hãy kết hợp súc miệng bằng nước muối hoặc nước súc miệng chuyên dụng, sử dụng chỉ nha khoa làm sạch các kẽ răng
– Ngoài ra, bạn có thể tham khảo những phương pháp làm sạch mảng bám tại nhà bằng baking soda, dâu tây, chanh,….Tuy nhiên, những phương pháp điều trị tại nhà có thể không mang lại hiệu quả tuyệt đối vì tình trạng mảng bám vàng ở từng người khác nhau.
Baking soda là một nguyên liệu dễ tìm, giá thành rẻ và dễ thực hiện giúp loại bỏ mảng bám răng
Chế độ ăn uống hàng ngày
– Hạn chế tối đa việc ăn vặt, uống cà phê hay các đồ uống có gas, có màu.
– Bổ sung những món ăn lành mạnh như trái cây, rau củ quả tươi, sữa chua.
– Hạn chế ăn những đồ giòn, dễ vụn vỡ và rơi vào các kẽ răng.
– Tăng cường ăn những thực phẩm giàu canxi để cho răng chắc khỏe như sữa, bông cải, các loại đậu, phô mai,…
4.2 Điều trị tại các cơ sở nha khoa uy tín
Với trường hợp mảng bám đã tồn tại trong khoảng thời gian dài và vôi hóa thành cao răng, bệnh nhân cần đến các cơ sở nha khoa uy tín để bác sĩ thực hiện cạo vôi răng và kê thêm thuốc uống (nếu có bệnh lý).
Bên cạnh đó, bệnh nhân cũng được khuyến khích thăm khám răng miệng định kỳ và lấy cao răng khoảng 6 tháng/lần.
Bài viết trên của chúng tôi đã cung cấp những thông tin chi tiết về chủ đề “răng bị mảng bám vàng”. Đây không phải là tình trạng nguy hiểm, tuy nhiên nếu chủ quan không chăm sóc đúng cách và thường xuyên sẽ dẫn đến các bệnh lý răng miệng nguy hiểm và hệ lụy khôn lường cho sức khỏe.
















