Những phương pháp hiệu quả nhất điều trị chân răng bị vàng
Chân răng bị vàng là tình trạng nhiều người gặp phải, gây mất thẩm mỹ và mùi hôi khó chịu khiến người bệnh mất tự tin. Bài viết dưới đây sẽ giúp bạn có được những cách khắc phục hiệu quả tình trạng này nhé.
1. Nguyên nhân gây chân răng vàng
– Sau khi ăn uống, các mảng bám sẽ hình thành trong khoang miệng. Nếu không vệ sinh đúng cách và loại bỏ sớm, thức ăn sẽ tích tụ ở trên bề mặt răng, sau đó lâu dần vôi hoá và chuyển thành màu nâu, đen.
– Khi bị sâu răng, vị khuẩn tích tụ trên bề mặt của răng khiến cho cho răng bị đổi màu thành vàng hoặc xám.
– Do men răng bẩm sinh đã không tốt.
– Ăn những thực phẩm có chứa nhiều gia vị, màu đậm hoặc uống các loại đồ có gas, trà, cà phê…
– Do tác dụng phụ của một số loại thuốc điều trị bệnh lý.
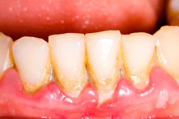
Mảng bám tích tụ lâu nhưng không được lấy ra sớm sẽ gây nên hiện tượng chân răng vàng
2. Những tác hại của chân răng bị vàng
2.1 Ở giai đoạn ban đầu
Ở giai đoạn đầu, dấu hiệu nhìn thấy rõ nhất là chân răng ngả vàng, gây mất thẩm mỹ và khiến cho bạn kém tự tin khi giao tiếp.
2.2 Ở giai đoạn nặng hơn
Nếu có tình trạng chân răng vàng nhưng bạn không xử lý kịp thời, vi khuẩn bám ở phần chân răng sẽ lây lan ra cả năng và gây nên các bệnh răng miệng như viêm chân răng, răng bị yếu đi, áp xe răng, viêm nha chu….
3. Cách điều trị chân răng bị vàng
3.1 Lấy cao răng
Nếu chân răng bị vàng do mảng bám gây ra, bạn cần đến các cơ sở nha khoa uy tín kiểm tra. Bác sĩ sẽ kiểm tra tổng quát tình trạng răng miệng, sau đó tiến hành lấy cao răng bằng các dụng cụ nha khoa chuyên dụng. Việc loại bỏ sạch mảng bám và vôi răng sẽ giúp cho răng trắng sáng trở lại.
Lấy cao răng là một trong những phương pháp hiệu quả giúp lấy đi vôi răng bám chắc ở phần cổ chân răng
3.2 Điều trị sâu răng
Khi bị vàng chân răng và được bác sĩ xác định nguyên nhân là sâu răng, bệnh nhân sẽ được thực hiện điều trị sâu và sau đó trám răng. Với trường hợp sâu nhẹ, bác sĩ tiến hành trám răng để bảo vệ răng. Còn với trường hợp lỗ sâu đã xuất hiện, bác sĩ sẽ làm sạch khu vực sâu răng, loại bỏ vi khuẩn ra khỏi lỗ, sau đó dùng vật liệu hàn răng để bít lỗ sâu.
3.4 Tẩy trắng răng, dán sứ hoặc bọc răng sứ
Trường hợp chân răng bị vàng do nhiễm màu, bệnh nhân có thể lựa chọn phương pháp tẩy trắng răng, bọc răng sứ hoặc dán sứ để điều trị, mang đến tính thẩm mỹ cao cho hàm răng.
3.5 Điều trị tại nhà
Với chân răng vàng ở mức độ nhẹ, bạn có thể điều trị tại nhà bằng những phương pháp dưới đây như:
– Sử dụng than hoạt tính kết hợp cùng kem đánh răng và chải nhẹ trên bề mặt răng. Than hoạt tính được đánh giá cao với chức năng tẩy trắng cũng như tạo được một lớp vỏ bảo vệ tốt cho răng.
– Baking soda kết hợp với chanh tươi cũng là một trong những giải pháp được dùng phổ biến. Để làm trắng răng, hãy chọn một thìa baking soda với 1 vài giọt nước cốt chanh, sau đó dùng bông chấm hỗn hợp lên răng. Tình trạng chân răng vàng sẽ được cải thiện đáng kể.
Tình trạng vàng chân răng sẽ được cải thiện đáng kể với sự kết hợp hiệu quả giữa baking soda và chanh tươi
– Có thể lấy lượng nhỏ cùi bưởi sắc lấy nước và súc miệng hàng ngày, giúp ngăn ngừa sự hình thành của cao răng và đồng thời giúp răng trắng sáng hơn.
– Giã nhuyễn một chút hành tính và trộn cùng với muối, sau đó sắp lên vị trí chân răng vàng. Cố gắng kiên trì thực hiện sau khoảng 2-3 tuần thì tình trạng sẽ được cải thiện đáng kể.
Tuy nhiên, cần lưu ý những biện pháp tại nhà có thể không mang lại hiệu quả tuyệt đối vì do tình trạng chân răng của từng người khác nhau. Chính vì vậy, hãy đến thăm khám tại các cơ sở nha khoa uy tín để bác sĩ kiểm tra và có phương pháp điều trị phù hợp.
4. Biện pháp phòng tránh tình trạng chân răng vàng
– Đánh răng đúng cách và thường xuyên, ít nhất 2 lần/ngày.
– Khi chọn bài chải, hãy ưu tiên những loại có lông mềm và kích thước phù hợp với khoang miệng.
– Sử dụng kết hợp thêm nước muối và chỉ nha khoa để hỗ trợ làm sạch răng miệng toàn diện.
– Hạn chế tối đa đồ ăn có màu đậm, chứa chất tạo màu, đồ uống
– Thăm khám nha khoa định kỳ 6 tháng/lần tại các cơ sở nha khoa uy tín.
Mong rằng bài viết trên của chúng tôi đã giúp các bạn có thêm những thông tin về tình trạng chân răng vàng. Nếu thấy xuất hiện triệu chứng, cần sớm đến các cơ sở y tế để được nha sĩ thăm khám và có phương pháp điều trị phù hợp.
















