Nguy hiểm với tràn dịch màng phổi tự phát
Tràn dịch màng phổi tự phát là tình trạng dịch thoát ra từ nhu mô phổi vào khoang màng phổi đến phế nang bị tổn thương mà không phải do lực tác động từ bên ngoài nào.
Tràn dịch màng phổi tự phát có thể phân thành tràn dịch màng phổi tự phát nguyên phát và tràn dịch màng phổi tự phát tái phát
Tràn dịch màng phổi thường xảy ra đột ngột gây nên cơn đau ngực dữ dội
Tràn dịch màng phổi tự phát nguyên phát thường gặp ở nam giới, những người trẻ tuổi, nguyên nhân trực tiếp gây tràn dịch màng phổi là do vỡ các bóng khí ở bề mặt phổi.
Tràn dịch màng phổi tự phát tái phát là tràn dịch màng phổi xuất hiện ở những người bị bệnh trước đó và có tiên lượng xấu hơn, bệnh thường gặp ở những người trên 30 tuổi.
Nhận biết hội chứng tràn dịch màng phổi tự phát
Người bệnh cảm giác đau ngực dữ dội, đau như xé ở ngực, người bệnh phải ôm lấy ngực, triệu chứng đau ngực tăng khi ho hoặc lao động gắng sức
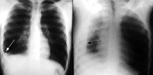
Hình ảnh Xquang bệnh nhân tràn dịch màng phổi phải
Cảm giác khó thở, ngột ngạt. Mức độ tràn dịch càng tăng người bệnh càng cảm thấy khó thở, vã mồ hôi lạnh, tụt huyết áp
Tuy nhiên nhiều trường hợp các triệu chứng kín đáo, ít rầm rộ, người bệnh chỉ thấy tức ngực, khó thở nhẹ, đôi lúc ho khan, cảm thấy mệt mỏi.
Khi phát hiện những triệu chứng trên, cần nhanh chóng đưa người bệnh đến cơ sở y tế uy tín để được điều trị kịp thời.
Hiện nay, để chẩn đoán xác định tràn dịch màng phổi, các bác sĩ sẽ dựa trên kết quả khám lâm sàng kết hợp các phương pháp cận lâm sàng như chụp Xquang, chụp cắt lớp vi tính lồng ngực và soi màng phổi.
Điều trị tràn dịch màng phổi tự phát
Chọc hút dịch màng phổi: Các bác sĩ dùng bơm tiêm hoặc máy hút để hút khí màng phổi qua một kim lớn. Phương pháp này không triệt để nên chỉ sử dụng trong cấp cứu, đặc biệt những trường hợp tràn dịch màng phổi nặng mà chưa thể dẫn lưu.
Dẫn lưu màng phổi: là phương pháp sử dụng các ống dẫn lưu ngực chuyên dụng và máy hút liên tục. Khi thực hiện dẫn lưu màng phổi cần đảm bảo nguyên tắc: kín, một chiều, triệt để và vô trùng tuyệt đối.
Phẫu thuật nội soi: Đây được đánh giá là phương pháp điều trị hiệu quả, ít xâm lấn, thời gian nằm viện ngắn, xử trí triệt để tránh gây tràn dịch màng phổi tái phát.
Các bác sĩ phẫu thuật sẽ phát hiện các bóng khí là nguyên nhân gây tràn dịch màng phổi. Căn cứ vào từng kích thước, số lượng, vị trí các bóng khí sẽ có kỹ thuật xử trí khác nhau. Thông thường là khâu, kẹp các tổn thương rách nhu mô và các bóng khí.
Chú ý sau phẫu thuật:
Bệnh nhân tràn dịch màng phổi tự phát, sau khi phẫu thuật cần quan tâm đến chế độ sinh hoạt, cụ thể ăn uống, tập luyện, giữ tinh thần lạc quan, thoải mái.
Bệnh nhân tràn dịch màng phổi luôn chú ý giữ ấm cho cơ thể
Đảm bảo thực hiện theo đúng chỉ định của các bác sĩ điều trị.
Bổ sung đầy đủ chất dinh dưỡng cho cơ thể, không nên kiêng khem dẫn đến thiếu chất.
Tập thể dục nhẹ nhàng và đi bộ mỗi lần 20-30 phút, một đến hai lần mỗi ngày (không gắng sức), kết hợp với tập thở.
Ngoài ra, cần chú ý trong công tác phòng bệnh, ngăn bệnh tái phát bằng cách luôn giữ ấm cho cơ thể, tránh cơ thể bị nhiễm lạnh, vệ sinh răng miệng tốt.
Thực hiện tại khám định kỳ.











