Chuyên gia giải đáp: Sâu răng có lây không?
Sâu răng là bệnh lý sinh ra do vi khuẩn Streptococcus mutans chuyển hóa đường thành acid, acid này tấn công men, ngà và tủy răng, tạo ra những lỗ đen nông – sâu tùy giai đoạn phát triển của bệnh lý. Vậy, sâu răng có lây không? Nếu có thì cách ngừa sâu răng lây nhiễm là gì? Cùng Thu Cúc TCI tìm hiểu trong bài viết này bạn nhé!
1. Nguy cơ lây nhiễm sâu răng
Khởi sinh từ hoạt động của vi khuẩn Streptococcus mutans, giống với tất cả bệnh lý do vi khuẩn khác, sâu răng rất dễ dàng lây nhiễm.
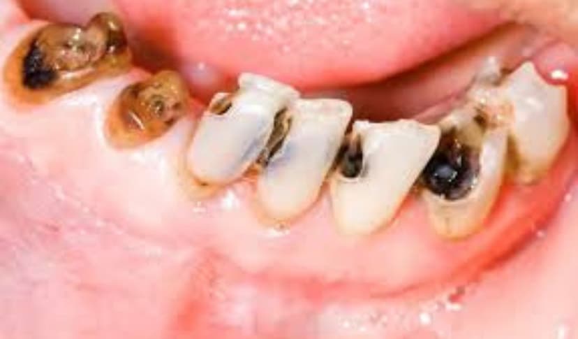
1.1. Sâu răng lây từ răng này sang răng khác
Nếu hội tụ đủ điều kiện cần thiết, nguy cơ sâu răng lây từ răng này sang răng khác là rất cao. Và những điều kiện cần thiết có thể kể đến ở đây là: Thói quen ăn uống chuộng đường, sai lầm trong vệ sinh răng miệng, mắc chứng khô miệng hoặc bệnh lý giảm tiết nước bọt, thiếu hụt flour,…
Ăn uống chuộng đường là một trong những điều kiện để sâu răng lây từ răng này sang răng khác
1.2. Sâu răng lây từ người này sang người khác
Sâu răng cũng có thể lây từ người này sang người khác, thông qua một số cách thức như: Ăn chung đồ ăn, sử dụng chung bát đũa, ho, hắt hơi và hôn,… Ví dụ: Theo một số nhà nghiên cứu, 30% trẻ 3 tháng tuổi, 60% trẻ 6 tháng tuổi và gần 80% trẻ 2 tuổi nhiễm khuẩn Streptococcus mutans từ bố mẹ bị sâu răng, vì bố mẹ vô tình chuẩn bị đồ ăn thức uống cho trẻ sai cách (bố mẹ mớm hoặc để giọt bắn vương vào đồ ăn thức uống của trẻ).
2. Cách ngừa sâu răng lây nhiễm
2.1. Loại bỏ các điều kiện cần thiết để diễn ra sự lây nhiễm sâu răng
Ngoài “răng sâu có lây không”, “cách ngừa sâu răng lây nhiễm” cũng là thắc mắc mà rất nhiều người chưa có câu trả lời. Để hạn chế nguy cơ lây nhiễm sâu răng từ răng này sang răng khác, bạn cần phải nỗ lực tối đa trong việc “loại bỏ các điều kiện cần thiết để tình trạng này diễn ra”.
Không ăn hoặc ăn ít đồ ăn, thức uống nhiều đường
Đây là cách cơ bản nhất để cắt đứt nguồn sống của vi khuẩn Streptococcus mutans. Danh mục đồ ăn, thức uống bạn cần hạn chế bao gồm: Bánh kẹo, mứt, hoa quả sấy khô, nước ngọt,…. Và lượng đường bạn dung nạp chỉ nên thấp hơn 10% tổng lượng dinh dưỡng bạn dung nạp mỗi ngày.
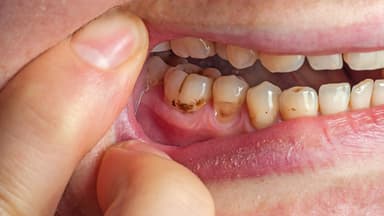
Vệ sinh răng miệng cẩn thận, kỹ lưỡng
Sâu răng có lây hay không, phụ thuộc rất nhiều vào cách bạn vệ sinh răng miệng mỗi ngày
Sâu răng có lây không, phụ thuộc rất nhiều vào cách bạn vệ sinh răng miệng mỗi ngày. Theo chuyên gia, cách vệ sinh răng miệng đúng đắn nhất là:
– Dùng bàn chải thay mới mỗi 3 tháng/lần và kem đánh răng có chứa flour để đánh răng ⅔ lần/ngày, sau khi ăn và trước khi đi ngủ.
– Các mảng bám giữa các kẽ răng mà bàn chải không thể làm sạch dùng chỉ nha khoa để loại bỏ.
– Làm sạch cả lưỡi
– Sử dụng nước muối ấm pha loãng hoặc nước súc miệng có tác dụng diệt khuẩn, nước súc miệng chứa flour,… để súc miệng.
Nhai kẹo cao su không đường
Loại kẹo cao su bạn nên chọn là kẹo cao su chứa Xylitol hoặc Casein phosphopeptide-canxi photphat vô định hình (CPP-ACP). Chúng có khả năng kiểm soát sự phát triển của vi khuẩn Streptococcus mutans. Ngoài ra, kẹo cao su Xylitol còn có khả năng kích thích tiết nước bọt. Đây là cách loại bỏ điều kiện lây nhiễm sâu răng mà không phải ai cũng biết.
Thường xuyên thăm khám tại các cơ sở y tế chuyên khoa răng hàm mặt
Là cách triệt để nhất để hạn chế lây nhiễm sâu răng từ răng này sang răng khác. Với việc thường xuyên thăm khám tại các cơ sở y tế chuyên khoa răng hàm mặt, bạn có thể nhận biết sớm và điều trị ngay lập tức những chiếc răng sâu đầu tiên. Chẳng sợ nhiễm bệnh nếu mầm bệnh đã được loại bỏ, sẽ không có chiếc răng sâu thứ 3, thứ 4 nếu chiếc răng sâu thứ nhất, thứ 2 đã được chữa lành.
Thăm khám định kỳ với nha sĩ là cách hạn chế sâu răng lây từ răng này sang răng khác triệt để nhất
2.2. Tiếp xúc cẩn trọng với người sâu răng
Đối với việc sâu răng lây từ người này sang người khác, cách để hạn chế là bạn hãy tiếp xúc với những người mắc bệnh lý sâu răng một cách cẩn trọng:
– Không chia sẻ đồ ăn thức uống
– Không sử dụng chung bát đũa
– Cùng mọi người nâng cao ý thức bảo vệ bản thân bằng cách thực hiện ho và hắt hơi đúng chuẩn: Dùng tay hoặc nếp gấp khuỷu tay che miệng,…
Phía trên là toàn bộ lời giải đáp cho thắc mắc “sâu răng có lây không” và phương pháp phòng ngừa lây nhiễm sâu răng mà chuyên gia răng hàm mặt Thu Cúc TCI chia sẻ. Với những thông tin này, Thu Cúc TCI chúc bạn luôn có một hàm răng khỏe và đẹp. Nếu còn băn khoăn, đừng ngần ngại, liên hệ ngay với Thu Cúc TCI để được lắng nghe và tư vấn chi tiết, bạn nhé.


















