Nguyên nhân và dấu hiệu cảnh báo sớm bệnh sâu răng
Bệnh sâu răng là một trong những tình trạng răng miệng phổ biến ở cả trẻ em lẫn người lớn. Dù không gây hậu quả nghiêm trọng ngay lập tức, nhưng nếu không được phát hiện và điều trị đúng lúc, sâu răng có thể tiến triển thành viêm tủy, gây đau nhức dữ dội, thậm chí mất răng và phát sinh nhiều biến chứng nguy hiểm. Việc nắm rõ nguyên nhân và nhận diện sớm các dấu hiệu của bệnh sâu răng chính là cách chủ động để chăm sóc và bảo vệ sức khỏe răng miệng cho bản thân cũng như những người thân yêu.
1. Nguyên nhân gây bệnh sâu răng
1.1. Vi khuẩn trong mảng bám răng
Vi khuẩn Streptococcus mutans – “thủ phạm” chính gây nên bệnh sâu răng, có khả năng phân giải đường và tinh bột trong thực phẩm, tạo ra axit. Chất axit này sẽ bào mòn men răng và phá hủy cấu trúc mô cứng của răng theo thời gian.
1.2. Lạm dụng đồ ăn ngọt và tinh bột trong khẩu phần hằng ngày
Thói quen ăn nhiều đồ ngọt như bánh kẹo, nước ngọt có ga, hoặc thực phẩm chứa tinh bột (cơm, bánh mì…) nhưng không vệ sinh răng miệng đúng cách sẽ tạo điều kiện cho vi khuẩn sinh sôi và phát triển mạnh mẽ trong khoang miệng.
1.3. Vệ sinh răng miệng kém
Đánh răng không đúng kỹ thuật, không sử dụng chỉ nha khoa hay nước súc miệng, hoặc đánh răng không đủ 2 lần/ngày đều làm tăng nguy cơ mắc bệnh sâu răng.
1.4. Thiếu fluoride
Fluoride góp phần tăng cường độ cứng cho men răng và hỗ trợ phòng ngừa tình trạng sâu răng hiệu quả.. Khi không được cung cấp đủ fluoride từ nước sinh hoạt, kem đánh răng hoặc thực phẩm, răng sẽ yếu hơn và dễ bị vi khuẩn tấn công.
1.5. Khô miệng
Nước bọt đóng vai trò trung hòa axit và làm sạch khoang miệng. Những người bị khô miệng do tác dụng phụ của thuốc hoặc một số bệnh lý sẽ có nguy cơ mắc bệnh sâu răng cao hơn bình thường.
2. Dấu hiệu cảnh báo sớm bệnh sâu răng
Phát hiện sớm bệnh sâu răng không chỉ giúp giảm thiểu cảm giác đau đớn mà còn giúp quá trình điều trị diễn ra nhanh chóng, ít xâm lấn và tiết kiệm chi phí. Dưới đây là những dấu hiệu cảnh báo sớm bệnh sâu răng mà bạn cần đặc biệt lưu ý:
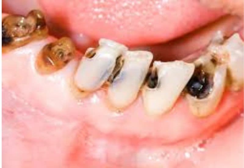
2.1. Xuất hiện các đốm trắng, nâu hoặc đen bất thường trên răng
Các đốm trắng là biểu hiện ban đầu của quá trình khử khoáng – giai đoạn đầu tiên trong tiến trình sâu răng, khi men răng bị mất khoáng và trở nên yếu đi. Nếu không được xử lý kịp thời, các vết trắng này sẽ dần chuyển thành màu nâu hoặc đen – dấu hiệu rõ rệt cho thấy tổn thương đã lan sâu vào ngà răng.

2.2. Cảm giác ê buốt xuất hiện khi ăn hoặc uống thực phẩm quá nóng, lạnh
Cảm giác ê buốt là một trong những dấu hiệu phổ biến nhất cảnh báo sớm bệnh sâu răng. Khi lớp men bảo vệ bị tổn thương, các kích thích từ nhiệt độ và độ pH sẽ tác động trực tiếp lên ngà răng, khiến bạn cảm thấy buốt răng khi ăn uống.
2.3. Hơi thở có mùi khó chịu kéo dài là dấu hiệu phổ biến của bệnh sâu răng
Vi khuẩn gây sâu răng sản sinh ra axit và các hợp chất có mùi, dẫn đến hơi thở có mùi hôi dù bạn đã đánh răng. Nếu tình trạng này kéo dài, hãy kiểm tra răng miệng kỹ càng vì đây có thể là dấu hiệu sớm của sâu răng hoặc các bệnh lý răng miệng khác.
2.4. Cảm giác đau âm ỉ hoặc đau nhói từng cơn khi ăn nhai
Cơn đau có thể xuất hiện một cách tự nhiên hoặc khi bạn cắn, nhai thức ăn – đặc biệt là đồ cứng, ngọt hoặc nóng. Nếu cơn đau kéo dài, có xu hướng lan rộng hoặc xuất hiện bất chợt trong lúc nghỉ ngơi, đó có thể là dấu hiệu sâu răng đã ảnh hưởng đến tủy răng.
2.5. Thức ăn thường xuyên mắc lại ở kẽ răng là dấu hiệu dễ gặp khi bị bệnh sâu răng
Khi cấu trúc răng bị tổn thương bởi sâu răng, những hố nhỏ hoặc kẽ hở sẽ xuất hiện. Đây chính là nơi lý tưởng để thức ăn thừa tích tụ và tạo điều kiện cho vi khuẩn phát triển. Nếu bạn thường xuyên phải dùng chỉ nha khoa để lấy thức ăn ra khỏi một vị trí cố định trên răng, hãy thận trọng – đó có thể là nơi sâu răng đang hình thành.
3. Bệnh lý sâu răng có tự khỏi không?
Một điều cần khẳng định là: bệnh lý sâu răng không thể tự khỏi. Khi đã hình thành lỗ sâu, chỉ có sự can thiệp của nha sĩ mới có thể ngăn chặn tình trạng tiến triển thêm. Vì vậy, việc phát hiện và điều trị kịp thời là yếu tố then chốt để bảo tồn răng thật.
4. Giải pháp hiệu quả giúp phòng ngừa bệnh sâu răng
Bệnh răng sâu hoàn toàn có thể phòng tránh nếu bạn chủ động chăm sóc răng miệng đúng cách và duy trì thói quen sống lành mạnh. Dưới đây là những biện pháp phòng ngừa bệnh răng sâu hiệu quả bạn nên thực hiện mỗi ngày:
4.1. Chải răng tối thiểu hai lần mỗi ngày bằng kem đánh răng có chứa fluoride để bảo vệ răng miệng
Fluoride là khoáng chất có khả năng tái khoáng men răng và ngăn ngừa sự phát triển của vi khuẩn gây sâu răng. Bạn nên đánh răng vào buổi sáng và đặc biệt là buổi tối trước khi đi ngủ – thời điểm vi khuẩn hoạt động mạnh nhất nếu không được vệ sinh sạch sẽ.

4.2. Thường xuyên sử dụng chỉ nha khoa mỗi ngày giúp làm sạch sâu giữa các kẽ răng
Chỉ đánh răng thôi là chưa đủ để loại bỏ hoàn toàn mảng bám – nguyên nhân hàng đầu gây sâu răng – ở các kẽ răng. Việc dùng chỉ nha khoa giúp làm sạch triệt để những vị trí mà bàn chải không thể chạm tới, từ đó hạn chế hình thành lỗ sâu.
4.3. Nên súc miệng với nước lọc sau khi ăn để loại bỏ cặn thức ăn và bảo vệ răng miệng
Hành động đơn giản này giúp loại bỏ bớt thức ăn thừa và rửa trôi axit do vi khuẩn tạo ra, đặc biệt sau khi bạn dùng đồ ngọt, trái cây chua hoặc đồ uống có tính axit như nước cam, nước ngọt có gas… Nếu có thể, hãy sử dụng nước súc miệng chứa fluoride để tăng hiệu quả bảo vệ răng.
4.4. Khám răng định kỳ 6 tháng/lần, ngay cả khi chưa có triệu chứng
Nhiều trường hợp sâu răng không biểu hiện rõ ràng trong giai đoạn đầu. Việc khám nha khoa định kỳ sẽ giúp phát hiện sớm các tổn thương răng tiềm ẩn, từ đó có hướng xử lý kịp thời trước khi bệnh tiến triển nặng. Đồng thời, bác sĩ cũng sẽ làm sạch cao răng, loại bỏ ổ vi khuẩn – yếu tố nguy cơ dẫn đến sâu răng và viêm nướu.

Sâu răng là một tình trạng phổ biến nhưng hoàn toàn có thể phòng tránh và kiểm soát nếu bạn hiểu rõ nguyên nhân cùng các dấu hiệu sớm. Đừng để những cơn đau bất ngờ ảnh hưởng đến công việc, học hành hay làm giảm sự tự tin trong giao tiếp. Hãy duy trì thói quen chăm sóc răng miệng khoa học và khám răng định kỳ để giữ gìn nụ cười khỏe mạnh mỗi ngày.


















