Cách ngừa sâu răng cho người lớn hiệu quả, dễ áp dụng
Sâu răng là tình trạng bệnh lý nha khoa phổ biến ở tất cả mọi người. Đối với người lớn, sâu răng không chỉ ảnh hưởng tới sức khỏe răng miệng mà còn làm mất thẩm mỹ, khiến mọi người thiếu tự tin khi giao tiếp. Hãy cùng tìm hiểu về cách ngừa sâu răng cho người lớn hiệu quả, dễ áp dụng ngay sau đây.
1. Sâu răng là gì?
Sâu răng là quá trình hình thành do sự tấn công của các tác nhân có hại đối với răng miệng. Mảng bám là một lớp màng bao phủ bề mặt bên ngoài răng. Mảng bám hình thành do thực phẩm không được vệ sinh kỹ sau khi ăn. Chúng bám lên răng, dưới mép lợi và cứng dần theo thời gian, trở thành môi trường lý tưởng cho vi khuẩn phát triển.
Axit trong mảng bám phá hủy các khoáng chất trong men răng, khiến răng xuất hiện các chấm đen nhỏ. Răng có chấm đen chính là giai đoạn đầu của bệnh sâu răng. Khi các men răng bị ăn mòn nghiêm trọng hơn, sâu răng thành các chấm, lỗ to hơn thì tình trạng bệnh trở nên nguy hiểm hơn.
Mọi đối tượng đều có thể bị sâu răng, đặc biệt là trẻ nhỏ và người vệ sinh răng miệng kém khoa học. Nếu sâu răng không được điều trị kịp thời, có thể dẫn tới những bệnh lý vô cùng nguy hiểm đối với sức khỏe răng miệng. Do vậy, các bác sĩ luôn khuyến cáo mọi người xây dựng chế độ vệ sinh và chăm sóc răng miệng khoa học, ngăn ngừa sâu răng.
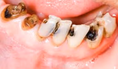
Sâu răng hình thành do sự tấn công của các tác nhân có hại, biểu hiện thành các chấm, lỗ đen trên bề mặt răng
2. Nguyên nhân sâu răng
Về cơ bản, vệ sinh răng miệng kém khoa học là nguyên nhân chính gây ra tình trạng sâu răng ở nhiều người. Ngoài ra, sâu răng còn hình thành do một số tác nhân như:
– Thường xuyên ăn vặt: Thực phẩm có đường sẽ tạo môi trường thuận lợi cho vi khuẩn phát triển, tạo ra axit tấn công men răng, làm mòn men răng.
– Thiếu florua: Florua là một khoáng chất tự nhiên giúp ngăn ngừa sâu răng và giảm mức độ nghiêm trọng của bệnh lý sâu răng. Florua thường có trong các loại kem đánh răng, một phần trong thực phẩm, một phần trong nước súc miệng.
– Uống ít nước: Uống không đủ nước khiến môi trường vi sinh vật trong khoang miệng mất cân bằng, vi sinh vật có hại phát triển mạnh mẽ, lấn át vi sinh vật có lợi sẽ khiến mọi người dễ mắc sâu răng hơn.
– Răng mắc bệnh lý: Một số bệnh lý như viêm lợi, viêm nha chu… khiến sức khỏe của răng bị suy yếu, dễ bị tấn công bởi các tác nhân có hại.
– Mắc bệnh toàn thân: Các bệnh như tiểu đường, ung thư… khiến sức đề kháng của mọi người giảm sút, vi khuẩn dễ dàng phát triển mạnh mẽ và gây bệnh.
Vi khuẩn có hại là tác nhân cơ bản dẫn tới tình trạng sâu răng ở nhiều người
3. Biến chứng răng sâu
Ở giai đoạn đầu, sâu răng chỉ biểu hiện thành những chấm nhỏ li ti, không ảnh hưởng lớn tới sức khỏe răng miệng. Điều này khiến mọi người thường có tâm lý chủ quan, không điều trị ngay. Tuy nhiên khi không được điều trị kịp thời, sâu răng sẽ ăn sâu hơn, rộng hơn vào răng. Thậm chí, sâu răng có thể ăn sâu vào trong tủy, và dẫn tới nhiều biến chứng vô cùng nguy hiểm:
– Đau nhức
– Sưng nướu
– Chảy máu chân răng
– Áp xe răng
– Viêm tủy răng
– Chết tủy
– Nhiễm trùng huyết
– Mất răng…
Răng sâu không được điều trị kịp thời có thể biến chứng áp xe, viêm tủy răng, chết tủy…
Sâu răng còn ảnh hưởng nghiêm trọng tới sinh hoạt hằng ngày của mọi người do các đốm đen và gây ra tình trạng hôi miệng, cản trở mọi người tự tin khi giao tiếp. Do vậy, các bác sĩ luôn khuyến cáo mọi người chăm sóc răng miệng khoa học và điều trị sâu răng ngay khi ở những giai đoạn đầu để có thể ngăn chặn biến chứng xảy ra.
4. Cách ngừa sâu răng cho người lớn
Vệ sinh răng miệng tốt có thể giúp mọi người có thể ngăn ngừa sâu răng và các bệnh lý về răng miệng khác. Theo các bác sĩ Nha khoa Thu Cúc TCI, một chế độ chăm sóc răng miệng đúng cách cần tuân thủ:
– Đánh răng đều đặn 2-3 lần mỗi ngày bằng bàn chải lông mềm, mảnh. Đánh răng vào buổi sáng sau khi thức dậy, trước khi đi ngủ và sau khi ăn khoảng 30 phút.
– Chải răng theo chiều từ trên xuống hoặc xoay tròn, chải đều khắp các mặt của răng từ trong ra ngoài, bao gồm cả hàm trên và hàm dưới.
– Nếu khó có thể vệ sinh kẽ răng, bạn có thể sử dụng tăm nước, chỉ nha khoa để loại bỏ thức ăn thừa, mảng bám ở những vị trí bàn chải khó len lỏi tới.
– Sử dụng kem đánh răng, nước súc miệng có chứa Flour vì Flour là một chất hóa học có hiệu quả vượt trội trong việc củng cố sự chắc khỏe của răng, ngăn ngừa sâu răng.
– Vệ sinh cả mặt lưỡi để loại bỏ vi khuẩn có hại trong khoang miệng, ngăn chặn sự phát triển của vi khuẩn gây sâu răng.
– Súc miệng thường xuyên, đặc biệt là sau khi chải răng để làm sạch toàn bộ khoang miệng.
– Ăn uống với chế độ lành mạnh, sử dụng thực phẩm chứa nhiều rau xanh, trái cây tươi để cung cấp đủ vitamin cần thiết cho cơ thể.
– Hạn chế ăn thực phẩm chứa nhiều đường, dầu, mỡ, có tính axit cao để bảo vệ men răng.
– Không hút thuốc, uống rượu bia, hạn chế uống nước ngọt có gas vì có chứa các chất kích thích có hại cho sức khỏe và làm ảnh hưởng tới men răng, gây ố vàng, sâu răng…
– Bỏ các thói quen xấu có thể dễ dàng làm tổn thương răng miệng như nghiến răng, cắn móng tay, cắn nắp chai…
– Lấy cao răng thường xuyên từ 3-6 tháng/lần để làm sạch mảng bám, cao răng trên bề mặt răng.
– Thăm khám sức khỏe răng miệng định kỳ để chủ động phòng ngừa và điều trị sớm các bệnh lý răng miệng.
Vệ sinh răng miệng khoa học và lấy cao răng thường xuyên là cách ngừa sâu răng cho người lớn mang lại hiệu quả vượt trội
Vệ sinh răng miệng khoa học là cách ngừa sâu răng cho người lớn hiệu quả nhất. Bạn hãy tuân thủ hướng dẫn của bác sĩ trong việc chăm sóc, bảo vệ sức khỏe răng miệng của bản thân. Đừng quên liên hệ tới các cơ sở y tế uy tín khi có nhu cầu thăm khám và điều trị các bệnh lý răng miệng.


















