Tình trạng tụt lợi có chữa trị được không?
Tình trạng tụt lợi xảy ra báo động về sức khỏe răng miệng đang gặp vấn đề. Khi hiện tượng này xảy đến sẽ khiến người bệnh thấy ê buốt, khó chịu, khó vệ sinh, ăn uống, … Từ đó, nó sẽ kéo theo nhiều các vấn đề khác. Vậy có thể điều trị tụt lợi triệt để không và làm sao để điều trị?
1. Tổng quang về tụt lợi
1.1 Tình trạng tụt lợi là gì?
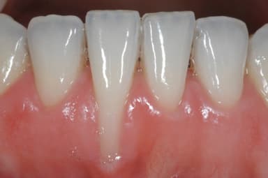
Tụt lợi là một dấu hiệu cho thấy răng miệng đang gặp vấn đề và gây nhiều ảnh hưởng trong cuộc sống hàng ngày
Tụt lợi hay có thể hiểu chính là tình trạng tụt nướu. Tình trạng này xảy ra khi phần nướu bao quanh chân răng có xu hướng di chuyển xuống cuống răng. Điều này khiến phần chân răng bị lộ ra ngoài. Khi đó, chân răng sẽ không được bảo vệ, trở nên dễ bị ăn mòn trong môi trường khoang miệng. Các mao mạch quản và dây thần kinh quanh răng cũng sẽ bị ảnh hưởng.
Tình trạng này có thể xảy ra ở mọi vị trí trên hàm. Có 2 loại tụt nướu là tụt lợi nhìn thấy được và tụt lợi không nhìn thấy được. Đối với tụt lợi nhìn thấy được, ta có thể nhận biết, quan sát tình trạng bệnh bằng mắt thường. Đối với tụt lợi không nhìn thấy, phần nướu tụt sẽ bị che phủ. Khi đó, ta chỉ có thể phát hiện bệnh bằng máy dò quanh thân răng.
1.2 Những nguyên nhân của tụt lợi
Người bệnh bị tụt lợi có thể bắt nguồn từ nhiều những nguyên nhân khác nhau. Sau đây là 3 nhóm nguyên nhân thường thấy nhất dẫn tới việc tụt lợi.
1.2.1 Do bệnh lý
Tụt lợi là hiện tượng rất thường gặp phải ở những người mắc các bệnh lý về răng miệng. Ví dụ như bệnh nhân bị viêm chân răng, viêm lợi, … không được điều trị đúng cách và kịp thời sẽ dẫn tới biến chứng. Và phổ biến nhất chính là biến chứng gây tụt lợi. Những bệnh nhân viêm nha chu đặc biệt có nguy cơ tụt lợi rất cao.
Ngoài ra, tụt lợi còn có thể bắt nguồn từ việc bị viêm loét hoại tử cấp tính.
1.2.2 Do thói quen giữ gìn và chăm sóc răng miệng
Việc vệ sinh, chăm sóc răng miệng đóng vai trò rất quan trọng trong quá trình bảo vệ sức khỏe răng miệng. Tuy nhiên, không phải bất kỳ ai cũng biết cách thực hiện đúng. Việc vệ sinh và chăm sóc răng miệng không đúng cách sẽ dẫn tới nhiều vấn đề nguy hiểm, trong đó có tụt lợi.
Việc đánh răng sai cách sẽ khiến tăng nguy cơ bị tụt lợi
– Đánh răng không đúng cách: Việc sử dụng những loại bàn chải quá cứng sẽ khiến lợi bị tổn thương. Bên cạnh đó, nhiều người chỉ thực hiện chải răng theo chiều ngang và một lần duy nhất trong ngày. Những sai lầm này nếu diễn ra quá lâu ngày sẽ rất có hại cho răng miệng. Vi khuẩn sẽ tích tụ gây viêm lợi và tụt lợi.
– Sử dụng tăm nhọn để xỉa răng: Đây là thói quen của rất nhiều người nhằm loại bỏ những thức ăn thừa, cặn bẩn mắc lại trong răng. Tăm nhọn sẽ khiến lợi dễ bị tổn thương, làm tăng nguy cơ viêm nhiễm.
– Sử dụng chỉ nha khoa sai cách: Sử dụng loại chỉ nha khoa quá to hay thao tác quá mạnh, dùng quá nhiều lần, … có thể khiến nướu dễ bị tác động, tổn thương. Lâu ngày, điều này sẽ dẫn tới tình trạng viêm nhiễm.
1.2.3 Do bẩm sinh cấu trúc hàm
Theo nghiên cứu, những trường hợp hàm răng có khớp cắn bị lệch sẽ có nguy cơ bị tụt lợi cao hơn. Bên cạnh đó, phần nướu thu hẹp bẩm sinh cũng là một trong những nguyên nhân khiến bệnh nhân bị tụt lợi. Điều này là do quá trình để điều trị hẹp nướu tác động gây ra.
1.3 Những triệu chứng của tình trạng tụt lợi
Những biểu hiện của bệnh tụt lợi tương đối rõ nét. Trong đó, dấu hiệu nhận biết dễ nhất chính là phần chân răng bị lộ rõ. Điều này thường xảy ra khi lợi bị mất dần hoặc nguyên nhân nào đó khiến phần lợi du chuyển sâu hơn vào bên trong chân răng.
Ngoài ra, những biểu hiện khác của tụt lợi thường xuất hiện nhỏ lẻ. Tuy nhiên một thời gian sau, các biểu hiện sẽ ngày một rõ rệt hơn:
– Lợi thường bị chảy máu, nhất là lúc đánh răng hoặc sử dụng chỉ nha khoa.
– Nướu xuất hiện những khe hở và không ôm sát chân răng. Nướu có thể bị sưng tấy.
– Răng nhạy cảm, dễ tổn thương hơn bình thường. Cụ thể, khi ăn những đồ chua cay hoặc quá nóng, quá lạnh sẽ khiến răng ê buốt.
– Hơi thở có mùi khó chịu.
– Hàm răng bắt đầu xuất hiện sự xô lệch.
– Màu răng hơi chuyển màu và có biểu hiện lung lay.
Tình trạng tụt lợi tuy ban đầu không ảnh hưởng quá nghiêm trọng tới sức khỏe người bệnh nhưng về sau, đây có thể là nguyên nhân dẫn tới nhiều biến chứng nghiêm trọng.
2. Tụt lợi nguy hiểm như thế nào?
Tụt lợi là một hiện tượng ảnh hưởng nghiêm trọng tới sức khỏe răng miệng của người bệnh. Nếu không được xử lý, chăm sóc kịp thời, đúng cách, tụt lợi sẽ chính là mầm mống của nhiều biến chứng đáng sợ:
– Thức ăn dễ mắc vào kẽ răng hơn, gây ra sự tấn công của vi khuẩn.
– Tạo điều kiện thuận lợi cho vi khuẩn sinh sôi, gây nên những bệnh lý răng miệng.
– Tính thẩm mỹ của hàm răng bị ảnh hưởng trực tiếp. Dáng răng dài, trông không đẹp mắt, kẽ răng hơi thưa.
– Chân răng mất đi sự bảo vệ và bị mòn dần, dễ bị tổn thương bởi những tác nhân xấu.
– Quá trình ăn uống gặp nhiều khó khăn do cảm giác đau nhức, ê buốt.
3. Những phương pháp điều trị tụt lợi hoàn toàn
Bệnh nhân tụt lợi cần kiểm tra nha khoa để tìm ra phương pháp điều trị hiệu quả và triệt để
Bệnh tụt lợi hoàn toàn có thể điều trị được. Tùy thuộc vào tình trạng và mức độ bệnh mà mỗi trường hợp tụt lợi sẽ có cách điều trị khác nhau:
3.1 Tụt lợi mức độ nhẹ
Khi tình trạng bệnh ở mức độ nhẹ, tụt lợi chỉ xảy đến ở một vài răng nhất định và chân răng không bị lộ quá nhiều. Lúc này, bệnh nhân chỉ cần thực hiện điều trị với một vài phương pháp đơn giản. Đầu tiên, bệnh nhân cần được làm sạch cao răng và dùng del ngăm flour hoặc thuốc điều trị viêm lợi. Cùng với đó là một chế độ chăm sóc phù hợp. Điển hình là đánh răng thường xuyên, đúng cách, không sử dụng tăm nhọn, …
3.2 Tụt lợi mức độ nặng
Trường hợp tình trạng tụt lợi đã chuyển nặng, xuất hiện ở nhiều răng và chân răng hở nhiều, nướu sưng. Khi ấy, bác sĩ sẽ kiểm tra và tiến hành loại bỏ cao răng. Sau đó, bác sĩ sẽ yêu cầu thực hiện phương pháp phẫu thuật phù hợp.
Có 3 phương pháp phẫu thuật tụt lợi: Giải phẫu loại bỏ túi nha giả hoặc thu nhỏ kích thước; Dùng mô ghép rời tự thân, mô trong khoang miệng để bù phần lợi bị tụt; Ghép xương.
Trên đây là một số kiến thức cơ bản cùng phương pháp điều trị tình trạng tụt lợi. Thế nhưng để tìm ra cách điều trị phù hợp nhất, hãy đến bệnh viện, cơ sở y tế để được kiểm tra kĩ lưỡng.


















