Thời gian niềng răng hô là bao lâu?
Răng hô là một trong những khuyết điểm răng khiến cho người bệnh cảm thấy tự ti và tiềm ẩn nhiều bệnh lý nguy hiểm. Một trong những phương pháp hiệu quả để xử lý tình trạng này chính là niềng răng. Vậy thời gian niềng răng hô là bao lâu?
1. Răng hô là tình trạng gì?
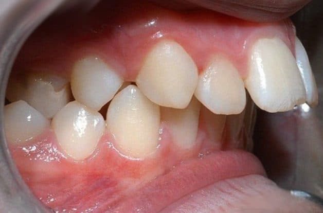
Răng hô (răng vẩu, khớp cắn sâu) là một dạng khớp cắn bị sai lệch. Khi gặp tình trạng này, người bệnh sẽ có sự tương quan giữa 2 hàm lớn, phần hàm trên so ra nhiều so với hàm dưới. Răng hô khiến ảnh hưởng nghiêm trọng đến chức năng ăn nhai, vệ sinh răng miệng khó khăn, bị gặp trở ngại trong phát âm và người bệnh tự ti, ngại giao tiếp.
Những nguyên nhân gây ra tình trạng răng hô phải kể đến như:
– Tỷ lệ răng và xương hàm không tương thích với nhau.
– Có nhiều thói quen xấu như ngậm ti giả trong quá trình thay răng, mút tay….
– Di truyền từ người của thế hệ trước trong gia đình (ông, bà, bố, mẹ…).
– Có bệnh lý về xương hàm.

Răng hô ảnh hưởng nghiêm trọng đến tính thẩm mỹ cũng như tiềm ẩn nhiều bệnh lý răng miệng nguy hiểm
2. Các phương pháp xử lý tình trạng răng hô
2.1 Niềng răng
Một phương pháp hiệu quả xử lý tình trạng răng hô chính là niềng răng. Có rất nhiều phương pháp niềng răng để người dùng có thể lựa chọn như: Niềng răng với mắc cài kim loại, mắc cài sứ, mắc cài nắp tự động, mắc cài mặt trong (mặt lưỡi) và niềng răng bằng khay trong suốt Invisalign.
2.2 Phẫu thuật xương hàm
Tuy nhiên, nếu nguyên nhân người bệnh bị vẩu là do hàm, bác sĩ sẽ tư vấn thực hiện phẫu thuật chỉnh hàm, nhằm giúp xương hàm trở nên hài hòa và cân đối.
3. Thời gian niềng răng hô
Thời gian niềng răng phụ thuộc vào nhiều yếu tố như: tình trạng khuyết điểm răng, cơ sở y tế thực hiện, tay nghề của nha sĩ, độ tuổi niềng răng và chế độ ăn uống, chế độ chăm sóc của người bệnh….
– Ở mức độ nhẹ, thời gian niềng răng chỉ khoảng 1.5 – 2 năm.Tùy vào tình trạng răng hô của cụ thể mà thời gian niềng răng có thể chênh lệch, tuy nhiên sự chênh lệch không đáng kể.
– Ở mức độ nặng, thời gian sẽ kéo dài hơn từ 1.5 – 3 năm, tùy thuộc vào tình trạng răng người bệnh.
– Trường hợp có bệnh lý răng miệng, bác sĩ sẽ chỉ định bệnh nhân điều trị khỏi trước khi thực hiện niềng răng. Do đó, thời gian niềng răng sẽ kéo dài hơn.

Thời gian niềng răng hô thường từ 1.5 – 3 năm, tùy thuộc vào mức độ bệnh
4. Yếu tố nào ảnh hưởng đến thời gian niềng răng?
4.1 Độ tuổi
Trẻ nhỏ có thời gian niềng răng lâu hơn so với người lớn. Nguyên nhân là do răng của trẻ đang trong quá trình phát triển, chưa ổn định và dễ thay đổi khi chịu các tác động bên ngoài. Trong khi đó, người trưởng thành có hệ thống hàm và răng đã phát triển toàn diện và hệ thống xương cũng đã vững chắc hơn, do đó việc di chuyển răng mất nhiều thời gian hơn.
4.2 Mức độ khuyết điểm
Tương quan sai lệch giữa 2 hàm càng lớn thì nha sĩ càng mất nhiều thời gian để điều chỉnh và đưa về đúng vị trí trên cung hàm.
4.3 Cơ sở nha khoa & tay nghề của bác sĩ
Cơ sở nha khoa tốt sẽ đảm bảo chất lượng niềng răng vì được thực hiện bởi đội ngũ nha sĩ có tay nghề chuyên môn cao cùng hệ thống trang thiết bị máy móc tân tiến hàng đầu. Chính vì vậy, lựa chọn một cơ sở nha khoa uy tín đồng nghĩa với việc bạn lựa chọn sự an tâm cho việc niềng răng hiệu quả và không xảy ra biến chứng.
4.4 Chế độ chăm sóc và ăn uống của người bệnh
– Về chế độ ăn uống, trong quá trình niềng răng, bạn nên ăn những đồ lỏng, mềm, dễ nuốt và tránh những thực phẩm cần sử dụng nhiều lực kéo, những thực phẩm nhiều màu và nhiều đường.
– Về chế độ chăm sóc, người bệnh cần vệ sinh răng miệng thật kỹ lưỡng, không dùng lưỡi hay các đồ vật khác tác động lên răng, tuân thủ theo đúng lịch tái khám định kỳ với bác sĩ và đến ngay cơ sở nha khoa đến gặp bất kỳ bất thường gì về khí cụ niềng răng hay sức khỏe răng miệng.

Có nhiều yếu tố khác nhau ảnh hưởng đến thời gian niềng răng của người bệnh
Hy vọng rằng, bài viết trên của chúng tôi đã giải đáp thắc mắc về “thời gian niềng răng hô” cùng những thông tin hữu ích xoay quanh chủ đề này. Nếu có bất kỳ câu hỏi gì, bạn có thể liên hệ với nha sĩ ở các phòng khám nha khoa uy tín nhé.


















