Cấp cứu:0901793122
English
Bệnh viện đa khoa Quốc Tế Thucuc | Hệ thống y tế TCI Hospital
Chăm sóc sức khoẻ trọn đời cho bạn
Tổng đài1900558892
viêm nướu răng

viêm nướu răng

Trang chủ/viêm nướu răng
Thuốc bôi trị viêm nướu răng – Cách sử dụng an toàn, hiệu quả

Thuốc bôi trị viêm nướu răng – Cách sử dụng an toàn, hiệu quả

Tình trạng viêm nướu răng có thể được điều trị nhanh chóng khi phát hiện sớm và sử dụng thuốc bôi trị viêm nướu răng đúng cách, kịp thời. Tuy nhiên, không phải ai cũng làm được điều đó, để rồi tình trạng viêm nướu nặng nề hơn. Hãy cùng TCI khám phá những điều […]
Tham khảo viêm nướu răng uống thuốc gì nhanh khỏi

Tham khảo viêm nướu răng uống thuốc gì nhanh khỏi

Viêm nướu răng là một trong những bệnh lý răng miệng phổ biến, ảnh hưởng không nhỏ đến sức khỏe và chất lượng cuộc sống của nhiều người. Khi bị viêm nướu, nhiều người thường tìm kiếm các giải pháp điều trị thông qua việc sử dụng thuốc. Trong bài viết này, chúng ta sẽ […]
Thuốc bôi viêm nướu răng: 4 loại phổ biến

Thuốc bôi viêm nướu răng: 4 loại phổ biến

Viêm nướu là một vấn đề sức khỏe răng miệng phổ biến mà hầu như ai cũng gặp phải ít nhất một lần trong đời. Nó không chỉ gây khó chịu mà còn ảnh hưởng tiêu cực đến chất lượng cuộc sống của người bệnh. May mắn thay, có nhiều giải pháp hiệu quả để […]
Cách điều trị khi bị viêm nướu răng trong cùng

Cách điều trị khi bị viêm nướu răng trong cùng

Viêm nướu là một tình trạng phổ biến và gây ra những cảm giác khó chịu, ảnh hưởng chất lượng sống. Trên thực tế, đây không phải vấn đề quá nguy hiểm nếu điều trị phù hợp. Tuy nhiên cũng không ít trường hợp chủ quan đã dẫn tới những biến chứng. Sau đây, chúng […]
Những loại thuốc bôi viêm nướu răng bác sĩ có thể kê đơn

Những loại thuốc bôi viêm nướu răng bác sĩ có thể kê đơn

Bệnh viêm nướu răng là một vấn đề phổ biến trong lĩnh vực nha khoa, thường xuyên bị bỏ qua và có thể dẫn đến các vấn đề nặng hơn, thậm chí là mất răng. Bệnh có thể gây đau đớn, bất thiện, thậm chí là ảnh hưởng đến khả năng ăn uống của người […]
Bí quyết điều trị viêm nướu răng triệt để

Bí quyết điều trị viêm nướu răng triệt để

Nguy cơ biến chứng viêm nướu răng rất cao, có thể dẫn tới viêm nha chu, viêm tủy răng, mất răng… nếu không được điều trị kịp thời. Bởi vậy, các bác sĩ nha khoa luôn khuyến cáo mọi người tới các cơ sở y tế để được thăm khám và xử trí viêm nướu […]
Bệnh viêm nướu và những điều bạn cần biết!

Bệnh viêm nướu và những điều bạn cần biết!

Nướu răng là một trong những bộ phận đóng vai trò bảo vệ răng và các cấu trúc ở xung quanh răng. Bệnh viêm nướu (viêm lợi) tuy không phải là bệnh lý quá nghiêm trọng nhưng nếu không được chăm sóc và điều trị thích hợp sẽ có thể biến chứng thành viêm nha […]
GIẢI ĐÁP: Viêm nướu răng có nguy hiểm không?

GIẢI ĐÁP: Viêm nướu răng có nguy hiểm không?

Viêm nướu là tình trạng phổ biến mà rất nhiều người mắc phải, do đó nên phần lớn chúng ta đều dễ dẫn đến chủ quan và không được điều trị kịp thời. Vậy viêm nướu răng có nguy hiểm không, cách điều trị thế nào, cùng tìm hiểu ngay nhé! 1. Sơ lược về […]
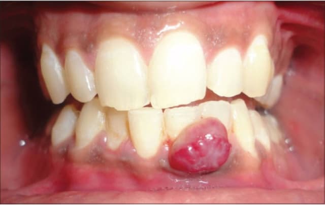
Các phương pháp điều trị viêm nướu răng có mủ

Các phương pháp điều trị viêm nướu răng có mủ

Viêm nướu răng là một bệnh lý thường gặp ở mọi lứa tuổi. Nếu không điều trị kịp thời, bệnh lý này có thể gây biến chứng hình thành nên túi mủ. Vậy viêm nướu răng có mủ điều trị như thế nào? 1. Viêm nướu răng có mủ là bệnh gì? Viêm nướu là […]
1900558892
zaloChat