Hình ảnh viêm nướu răng giúp nhận biết dấu hiệu và cách điều trị
Viêm nướu răng là một bệnh về nướu phổ biến, nếu không được điều trị sớm sẽ tiến triển thành viêm nha chu, thậm chí là mất răng. Hôm nay, hãy cùng nhận biết những triệu chứng thông qua hình ảnh viêm nướu răng để từ đó có phương án điều trị và chăm sóc phù hợp cho bệnh lý này nhé.
1. Viêm nướu răng là bệnh lý gì?
Viêm nướu răng là một dạng bệnh nướu rất phổ biến. Căn bệnh này xảy ra khi những mảng bám có chứa vi khuẩn tích tụ. Chúng sản sinh ra độc tố gây viêm nhiễm các mô nướu xung quanh răng. Nếu được phát hiện sớm, bệnh lý sẽ được điều trị hiệu quả. Ngược lại nếu để bệnh diễn tiến nặng hơn sẽ gây viêm nha chu. Tình trạng này khiến cho việc điều trị khó khăn và mất nhiều thời gian để chữa khỏi. Thậm chí, nếu không được điều trị phù hợp và nhanh chóng, căn bệnh này có thể gây mất răng ở người lớn.
2. Triệu chứng của viêm nướu răng
Ở trạng thái khỏe mạnh, nướu sẽ có màu hồng nhạt và ôm khít quanh răng. Còn nếu bị viêm nướu răng, sẽ có những dấu hiệu như:
– Nướu bị sưng tấy và phồng lên.
– Nướu có màu đỏ sậm.
– Dễ chảy máu khi tác động nhẹ như va chạm hay đánh răng.
– Miệng có mùi hôi, tanh của máu.
– Nướu mềm và tụt xuống.
– Khi cắn có cảm giác sự ăn khớp giữa các răng thay đổi.
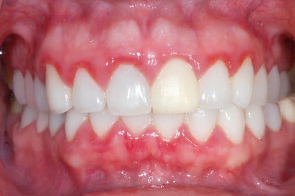
3. Hình ảnh nướu răng bị viêm
Một số hình ảnh của nướu bị viêm để ta nhận biết được rõ hơn dấu hiệu của bệnh lý này:
Triệu chứng chảy máu răng sẽ xảy ra khi bệnh nhân bị viêm nướu răng
Lợi có dấu hiệu bị sưng phồng, mềm và đỏ lên
Lợi dễ bị tụt xuống, răng bị lung lay và nếu diễn biến nặng thì răng có thể phải đối mặt với nguy cơ bị rụng
4. Nguyên nhân viêm nướu răng
4.1 Hút thuốc lá
Hút thuốc lá có nguy cơ cao bị bệnh viêm nướu răng. Theo nghiên cứu, những người hút thuốc lá có nguy cơ mắc các bệnh liên quan đến nướu cao hơn. Thậm chí, nó có thể cao gấp 7 lần sao với những người không hút thuốc. Do đó, để có một khoang miệng khỏe mạnh. chúng ta hãy nói không với thuốc lá.
4.2 Vệ sinh răng miệng không tốt
Nếu bạn vệ sinh răng miệng kém (như không đánh răng thường xuyên, đúng cách, không dùng chỉ nha khoa, nước súc miệng…) thì khả năng bị viêm nướu răng cũng rất cao.
4.3 Bị căng thẳng
Căng thẳng là một trong những lý do gây nên viêm nướu răng. Việc căng thẳng khiến cho hệ thống miễn dịch bị suy yếu, tác động tiêu cực đến khả năng chống lại nhiễm trùng dẫn đến bệnh lý này.
4.4 Sự thay đổi về nội tiết
Khi nội tiết tố thay đổi như dậy thì, mang thai, mãn kinh hay đến kỳ kinh nguyệt hàng tháng sẽ tăng khả năng nhạy cảm. Tình trạng viêm nhiễm cho nướu răng cũng sẽ dễ xảy đến. Chính vì vậy, việc chăm sóc kỹ răng miệng trong những giai đoạn này là rất cần thiết.
4.5 Chế độ dinh dưỡng nghèo nàn
Việc không bổ sung đủ chất dinh dưỡng sẽ khiến cho cơ thể không đủ năng lượng. Từ đó dẫn tới hệ miễn dịch không đủ tốt để chống lại sự nhiễm trùng. Khả năng xảy ra viêm nướu răng sẽ tăng cao.
4.6 Do tác dụng một số loại thuốc
Một số loại thuốc điều trị bệnh lý có thể có tác dụng phụ. Một trong số đó gây ảnh hưởng đến sức khỏe răng miệng, đặc biệt là tác động đến nướu và gây nên viêm nướu răng. Chính vì vậy, người bệnh cần liệt kê rõ những loại thuốc bản thân đang sử dụng với nha sĩ. Từ đó, nha sĩ sẽ nắm được tình trạng và nguyên nhân chính xác để đưa ra phương pháp phù hợp.
4.7 Mắc các bệnh mạn tính
Nếu bệnh nhân mắc một số bệnh lý mạn tính như tiểu đường, ung thư, HIV,… sẽ khiến cho khả năng miễn dịch của cơ thể bị suy yếu. Từ đó, cơ thể sẽ rất dễ mắc các bệnh lý về răng miệng, trong đó có viêm nướu răng.
Khi tế bào ung thư di căn vào phần tủy xương sẽ khiến cho hệ miễn dịch bị suy yếu vì tủy xương có chức năng tạo ra tế bào máu chống lại hiện tượng nhiễm trùng.
5. Phương pháp điều trị viêm nướu răng
Để điều trị tình trạng viêm nướu răng, bạn cần đến các cơ sở nha khoa uy tín để bác sĩ thăm khám tổng quát. Từ đó, bác sĩ sẽ có thể đánh giá chính xác tình trạng răng miệng, tìm ra nguyên nhân gây viêm nướu răng và có phương pháp điều trị hiệu quả.
Bác sĩ sẽ thực hiện:
– Loại bỏ mảng bám và cao răng.
– Hướng dẫn bệnh nhân cách chăm sóc răng miệng đúng cách. Cụ thể, người bệnh cần chú ý về cách đánh răng, sử dụng chỉ nha khoa, nước súc miệng….
– Theo dõi và kiểm tra răng miệng định kỳ để kịp thời phát hiện ra các bệnh lý.
– Điều trị các bệnh lý răng miệng (nếu có) để không gây ảnh hưởng đến việc vệ sinh răng.
6. Phòng ngừa viêm nướu răng
– Đánh răng đúng cách và thường xuyên, ít nhất 2 lần/ngày trước khi đi ngủ và sau khi thức dậy. Hãy đảm bảo phần viền nướu răng được làm sạch triệt để.
– Chọn loại bàn chải mềm, có kích thước phù hợp với khoang miệng.
– Dùng thêm các dụng cụ nha khoa hỗ trợ như nước súc miệng, chỉ nha khoa,…
– Xây dựng chế độ ăn uống lành mạnh. Chúng ta hãy hạn chế ăn những đồ ăn có chứa nhiều đường. Đồng thời, thực đơn ăn uống hàng ngày cần đa dạng các loại thực phẩm. Điều này giúp cơ thể được bổ sung đầy đủ chất dinh dưỡng.
– Thăm khám nha khoa định kỳ từ 3 – 6 tháng/lần (tùy vào từng người)
– Tham gia các hoạt động thể dục thể thao. Điều này để giúp cho cơ thể khỏe mạnh, hệ miễn dịch được hoạt động tốt.
– Tránh căng thẳng quá độ bằng cách làm những công việc mình yêu thích. Việc căng thẳng không giúp ích gì cho tình trạng cơ thể con người. Hãy thả lỏng bản thân bằng cách gặp gỡ bạn bè, giảm tải công việc,….
Thăm khám nha khoa định kỳ từ 3 – 6 tháng/lần để phòng ngừa tình trạng viêm nướu răng
Mong rằng bài viết của chúng tôi không chỉ cung cấp những hình ảnh viêm nướu răng để giúp bạn nhận biết mà còn mang đến những thông tin hữu ích về bệnh lý này. Khi thấy có những triệu chứng của viêm nướu răng, cần đến ngay các cơ sở y tế uy tín để điều trị trước khi bệnh diễn tiến nặng hơn.


















