Cấp cứu:0901793122
English
Bệnh viện đa khoa Quốc Tế Thucuc | Hệ thống y tế TCI Hospital
Chăm sóc sức khoẻ trọn đời cho bạn
Tổng đài1900558892
viêm lợi

viêm lợi

Trang chủ/viêm lợi
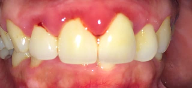
Viêm lợi là gì: Bệnh lý phổ biến nhưng không phải ai cũng hiểu

Viêm lợi là gì: Bệnh lý phổ biến nhưng không phải ai cũng hiểu

Viêm lợi, một thuật ngữ y tế quen thuộc nhưng không phải ai cũng hiểu. Viêm lợi không chỉ gây đau đớn mà còn có thể ảnh hưởng xấu đến sức khỏe răng miệng nói chung. Trong bài viết này, Thu Cúc TCI sẽ cung cấp một cái nhìn tổng quát về viêm lợi, giúp […]
Cách điều trị viêm lợi chảy máu chân răng hôi miệng

Cách điều trị viêm lợi chảy máu chân răng hôi miệng

Viêm lợi chảy máu chân răng hôi miệng là bệnh lý dễ gặp ở cả trẻ em lẫn người lớn. Bệnh nhân mắc viêm lợi nếu không được điều trị kịp thời sẽ gây nhiều hệ quả nghiêm trọng tới sức khỏe răng miệng như: áp xe, tụt lợi, mất răng vĩnh viễn… 1. Chảy […]
Giải đáp: Viêm lợi có ăn được rau muống không?

Giải đáp: Viêm lợi có ăn được rau muống không?

Theo thống kê của Bộ Y tế, khoảng 90% cư dân Việt Nam có bệnh lý răng miệng, trong đó, khoảng 80% là bệnh lý viêm lợi. Để cải thiện bệnh lý này, ăn uống cũng là một vấn đề rất quan trọng bạn cần đặc biệt chú ý. Vậy, viêm lợi có ăn được […]
Viêm lợi: Phát sinh do thiếu Vitamin, khoáng chất

Viêm lợi: Phát sinh do thiếu Vitamin, khoáng chất

Viêm lợi là bệnh lý nhiễm trùng nướu. Bệnh lý răng miệng này thường xuất hiện do sự tích tụ mảng bám và cao răng. Tuy nhiên, thiếu Vitamin và khoáng chất cũng là một nguyên nhân khiến lợi nhiễm trùng và viêm. Vậy, viêm lợi là thiếu chất gì? Đọc ngay bài viết sau […]
Những điều cần biết về viêm lợi loét hoại tử cấp

Những điều cần biết về viêm lợi loét hoại tử cấp

Viêm lợi loét hoại tử cấp là bệnh lý khởi phát bất ngờ, là tình trạng nhiễm trùng lợi cấp tính nghiêm trọng nhưng hoàn toàn có thể chữa khỏi khi được phát hiện ở giai đoạn đầu và chưa xảy ra biến chứng.  Bệnh có dấu hiệu gần tương tự viêm lợi thông thường […]
Dấu hiệu viêm lợi trùm chân răng không thể bỏ qua

Dấu hiệu viêm lợi trùm chân răng không thể bỏ qua

Viêm lợi trùm chân răng là bệnh lý thường gặp, đặc biệt là trong quá trình mọc răng khôn, có thể đem đến những hậu quả, bệnh lý nguy hiểm khác. Vì vậy, hãy trang bị cho bản thân đủ kiến thức cần thiết để hiểu hơn về bệnh, nhận biết bệnh sớm để có […]
Dấu hiệu bị viêm lợi và cách điều trị hiệu quả

Dấu hiệu bị viêm lợi và cách điều trị hiệu quả

Viêm lợi là bệnh lý răng miệng phổ biến và thường là hệ quả khi sâu răng nặng mà không được chữa trị hoặc do một số lý do khác. Mặc dù không gây ra những nguy cơ trực tiếp tới tính mạng của người bệnh nhưng cũng cần được phát hiện sớm để điều […]
Chuyên gia giải đáp: Viêm lợi có phải nhổ răng không?

Chuyên gia giải đáp: Viêm lợi có phải nhổ răng không?

Thuộc nhóm 3 bệnh lý răng miệng phổ biến nhất, viêm lợi làm lợi sưng, đỏ, đau, chảy máu khi vệ sinh răng miệng, ăn nhai, nói chuyện,… nhưng đó có phải là tất cả tác hại của viêm lợi? Bệnh nhân viêm lợi có phải nhổ răng không? Thắc mắc đó của bạn sẽ […]
Cách trị viêm lợi chân răng dứt điểm

Cách trị viêm lợi chân răng dứt điểm

Viêm lợi chân răng là bệnh lý nguy hiểm có thể dẫn tới mất răng nếu mọi người chủ quan trong việc phát hiện và điều trị bệnh. Mọi người cần cảnh giác với các dấu hiệu bất thường ở nướu răng và thăm khám kịp thời để được bác sĩ đưa ra những cách […]
Viêm lợi chảy máu chân răng và những điều bạn cần biết!

Viêm lợi chảy máu chân răng và những điều bạn cần biết!

Viêm lợi chảy máu chân răng là tình trạng thường gặp ở nhiều lứa tuổi. Tình trạng viêm lợi và chảy máu chân răng nếu để lâu rất dễ gây ra hậu quả nghiêm trọng đối với sức khỏe răng miệng. Tìm cách khắc phục và điều trị dứt điểm viêm lợi ngay khi phát […]
Nhận biết các dấu hiệu của viêm lợi và cách phòng ngừa

Nhận biết các dấu hiệu của viêm lợi và cách phòng ngừa

Viêm lợi có thể xảy ra với bất kỳ đối tượng nào, gây ra nhiều mối nguy hại cho sức khỏe và tinh thần của người bệnh. Nghiêm trọng hơn, nếu không điều trị kịp thời, viêm lợi có thể dẫn tới mất răng và gây ra một số bệnh lý toàn thân nguy hiểm. […]
Nhận biết các triệu chứng viêm lợi và cách điều trị

Nhận biết các triệu chứng viêm lợi và cách điều trị

Viêm lợi là bệnh lý răng miệng thường gặp ở mọi đối tượng do các tác nhân có hại gây ra tình trạng viêm, nhiễm trùng nướu răng. Viêm lợi ảnh hưởng lớn tới sức khỏe răng miệng và có thể khiến người bệnh cảm thấy thiếu tự tin bởi tình trạng hôi miệng. Nghiêm […]
Viêm lợi trùm là gì? Điều trị viêm lợi trùm thế nào?

Viêm lợi trùm là gì? Điều trị viêm lợi trùm thế nào?

Răng khôn ngoài việc gây đau đớn, tê nhức, chúng còn khiến người bệnh gặp phải nhiều bệnh lý về răng miệng khác như viêm nướu, áp xe răng, viêm lợi trùm,… nếu không có các phương pháp điều trị kịp thời, đạt hiệu quả cao. Bài viết dưới đây sẽ chia sẻ cho bạn […]
Lợi bị sưng là bệnh gì?

Lợi bị sưng là bệnh gì?

Trong hầu hết các trường hợp, lợi bị sưng không phải là vấn đề gì đáng lo ngại và có thể điều trị dễ dàng. Tuy nhiên nếu sưng kéo dài không đỡ đi kèm với tình trạng đỏ và nhạy cảm thì đây có thể là cảnh báo về vấn đề sức khỏe răng […]
Bệnh viêm nướu và những điều bạn cần biết!

Bệnh viêm nướu và những điều bạn cần biết!

Nướu răng là một trong những bộ phận đóng vai trò bảo vệ răng và các cấu trúc ở xung quanh răng. Bệnh viêm nướu (viêm lợi) tuy không phải là bệnh lý quá nghiêm trọng nhưng nếu không được chăm sóc và điều trị thích hợp sẽ có thể biến chứng thành viêm nha […]
Viêm lợi sau khi nhổ răng khôn xử trí thế nào? 

Viêm lợi sau khi nhổ răng khôn xử trí thế nào? 

Sau khi nhổ răng khôn, vết thương sẽ bị hở, đồng thời vi khuẩn trong miệng dễ xâm nhập gây ra nguy cơ viêm lợi. Vậy viêm lợi sau khi nhổ răng khôn phải xử trí như thế nào, cùng tìm hiểu các kiến thức quan trọng qua bài viết dưới đây bạn nhé! 1. […]
VIÊM LỢI Ở TRẺ VÀ NHỮNG ĐIỀU CHA MẸ CẦN BIẾT

VIÊM LỢI Ở TRẺ VÀ NHỮNG ĐIỀU CHA MẸ CẦN BIẾT

Viêm lợi là một trong những bệnh lý răng miệng rất phổ biến ở trẻ nhỏ. Có nhiều nguyên nhân khác nhau khiến trẻ bị viêm lợi, do đó, để phòng ngừa bệnh viêm lợi ở trẻ thật tốt, cha mẹ cần hiểu rõ bệnh lý và cách phòng ngừa phù hợp. 1. Những nguyên […]
GIẢI ĐÁP: Bị viêm lợi có nên lấy cao răng không? 

GIẢI ĐÁP: Bị viêm lợi có nên lấy cao răng không? 

Lấy cao răng là biện pháp hiệu quả để làm sạch khoang miệng, tuy nhiên trong một số trường hợp răng gặp vấn đề thì bác sĩ khuyến khích không nên lấy cao răng để tránh ảnh hưởng đến việc điều trị. Trong đó thì bị viêm lợi có nên lấy cao răng không là […]
GIẢI ĐÁP: Viêm lợi không nên ăn gì, nên ăn gì?

GIẢI ĐÁP: Viêm lợi không nên ăn gì, nên ăn gì?

Viêm lợi là bệnh lý nha khoa phổ biến do thói quen ăn uống cũng như vệ sinh răng miệng không kỹ. Để điều trị dứt điểm viêm lợi, chế độ dinh dưỡng là một trong những yếu tố vô cùng quan trọng. Vậy viêm lợi không nên ăn gì, nên ăn gì, cùng tìm […]
12
1900558892
zaloChat