Viêm lợi là gì: Bệnh lý phổ biến nhưng không phải ai cũng hiểu
Viêm lợi, một thuật ngữ y tế quen thuộc nhưng không phải ai cũng hiểu. Viêm lợi không chỉ gây đau đớn mà còn có thể ảnh hưởng xấu đến sức khỏe răng miệng nói chung. Trong bài viết này, Thu Cúc TCI sẽ cung cấp một cái nhìn tổng quát về viêm lợi, giúp bạn hiểu rõ viêm lợi là gì, từ đó có thể bảo vệ bảo thân khỏi bệnh lý nha khoa này, đọc ngay bạn nhé!
1. Giải đáp chi tiết thắc mắc: Viêm lợi là gì?
1.1. Viêm lợi là gì?
Lợi là phần mô mềm bao quanh và bảo vệ chân răng. Vậy, viêm lợi là gì? Viêm lợi là bệnh lý răng miệng mà trong đó, tại lợi xuất hiện tình trạng viêm. Viêm lợi có thể phát sinh do nhiều nguyên nhân nhưng chủ yếu là do mảng bám và cao răng. Dưới đây là một số nguyên nhân phổ biến của viêm lợi bạn cần biết:
– Vệ sinh răng miệng kém: Không vệ sinh răng miệng thường xuyên và đúng cách có thể để lại mảng bám trên răng, dẫn đến viêm lợi.
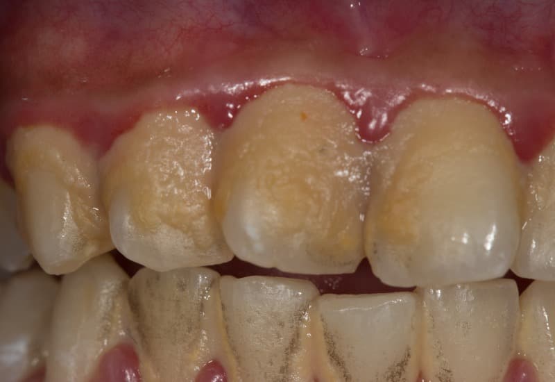
Viêm lợi là gì, viêm lợi là bệnh lý phát sinh khi không vệ sinh răng miệng thường xuyên và đúng cách.
– Cao răng: Cao răng là mảng bám đã khoáng hóa, chứa nhiều vi khuẩn và chỉ có thể được loại bỏ bởi nha sĩ. Cao răng kích thích lợi, gây viêm.
– Hút thuốc lá: Hút thuốc lá là một trong những yếu tố nguy cơ lớn nhất của viêm lợi. Thuốc lá làm giảm khả năng chống lại nhiễm trùng của cơ thể, từ đó làm tăng khả năng phát triển viêm lợi.
– Chế độ ăn uống: Thiếu hụt dinh dưỡng, đặc biệt là vitamin C, có thể góp phần vào sự phát triển của viêm lợi.
– Bệnh lý có liên quan: Các tình trạng như tiểu đường, bệnh viêm khớp và các bệnh hệ thống khác có thể ảnh hưởng đến tình trạng của lợi.
– Thay đổi hormone: Trong các giai đoạn như thai kỳ, dậy thì hoặc mãn kinh, sự thay đổi hormone có thể làm tăng nguy cơ viêm lợi.
– Sử dụng một số loại thuốc: Một số thuốc như thuốc chống động kinh, thuốc chống trầm cảm và một số thuốc huyết áp cao có thể khiến lợi phát triển bất thường.
1.2. Đâu là dấu hiệu nhận biết tình trạng viêm lợi?
Dấu hiệu viêm lợi rất rõ ràng, bạn có thể sử dụng chúng để nhận biết tình trạng này ngay tại nhà. Dưới đây là một số dấu hiệu nhận biết phổ biến của viêm lợi:
– Lợi sưng đỏ: Lợi viêm thường sưng và chuyển sang màu đỏ tươi hoặc đậm hơn so với màu hồng khỏe mạnh thông thường.
– Lợi chảy máu: Lợi viêm có thể chảy máu dễ dàng khi bạn sử dụng bàn chải hoặc chỉ nha khoa để vệ sinh răng miệng. Tình trạng chảy máu cũng có thể xảy ra ngay cả khi không có kích thích.
– Lợi đau nhức: Cảm giác đau hoặc nhạy cảm khi chạm vào có thể là dấu hiệu của viêm lợi, đặc biệt là khi ăn nhai.
– Hơi thở có mùi: Viêm lợi có thể đi kèm tình trạng hôi miệng do vi khuẩn tích tụ trong mảng bám và cao răng.
– Lợi rút: Khi tình trạng viêm lợi trở nên nghiêm trọng, lợi có thể rút khỏi răng, làm lộ chân răng, tạo ra các kẽ hở giữa răng và lợi.
– Lung lay răng: Trong các trường hợp cực kỳ nghiêm trọng, khi lợi và xương xung quanh răng bị tổn thương, viêm lợi có thể khiến răng lung lay.
Lợi viêm thường sưng và chuyển sang màu đỏ tươi.
2. Điều trị tình trạng viêm lợi như thế nào?
2.1. Các nguy cơ của bệnh lý viêm lợi
Viêm lợi có thể phát triển thành các vấn đề sức khỏe nghiêm trọng nếu không được điều trị kịp thời. Dưới đây là một số nguy cơ tiềm ẩn của viêm lợi nếu để lâu không điều trị:
– Bệnh nha chu: Viêm lợi không được điều trị có thể phát triển thành bệnh nha chu, một tình trạng nghiêm trọng, ảnh hưởng đến mô và xương hỗ trợ răng.
– Mất răng: Viêm lợi có thể phát triển thành bệnh nha chu; bệnh nha chu có thể dẫn đến mất răng vì xương và các cấu trúc hỗ trợ bị phá hủy.
– Tăng nguy cơ mắc bệnh tim mạch: Liên hệ giữa bệnh nha chu và các vấn đề tim mạch, bao gồm bệnh tim và đột quỵ đã được nhiều nghiên cứu chỉ ra.
– Ảnh hưởng đến kiểm soát đường huyết: Ở những người mắc bệnh tiểu đường, viêm lợi nghiêm trọng có thể làm khó khăn hơn việc kiểm soát đường huyết, do tình trạng viêm có thể ảnh hưởng đến khả năng xử lý insulin.
– Có thể ảnh hưởng đến thai kỳ: Viêm lợi và bệnh nha chu có liên quan đến sinh non và sinh con nhẹ cân.
2.2. Hướng dẫn điều trị tình trạng viêm lợi
Phát hiện sớm và điều trị kịp thời là rất cần thiết để ngăn chặn các biến chứng nghiêm trọng của viêm lợi. Điều trị viêm lợi thường tập trung vào loại bỏ nguyên nhân gây viêm, khôi phục sức khỏe lợi. Các phương pháp điều trị có thể bao gồm chăm sóc tại nhà kết hợp can thiệp chuyên nghiệp của nha sĩ tại phòng khám nha.
– Điều chỉnh thói quen vệ sinh răng miệng: Vệ sinh răng miệng 2 – 3 lần một ngày bằng bàn chải lông mềm và kem đánh răng chứa fluoride. Dùng chỉ nha khoa sau khi vệ sinh răng miệng bằng bàn chải và kem đánh răng để loại bỏ mảng bám và thức ăn thừa giữa các kẽ răng và dưới viền lợi, nơi mà bàn chải không thể tiếp cận.
– Vệ sinh răng miệng chuyên sâu tại phòng khám nha: Vệ sinh chuyên sâu bao gồm lấy cao răng và vệ sinh lợi. Đối với trường hợp viêm lợi nặng hoặc bệnh nha chu, nha sĩ có thể thực hiện các thủ tục vệ sinh sâu hơn, như vệ sinh túi nha chu là một ví dụ.
– Điều trị bằng thuốc: Trong một số trường hợp, nha sĩ có thể kê đơn thuốc kháng sinh để giúp kiểm soát nhiễm trùng.
– Thay đổi lối sống: Hút thuốc lá là một trong những nguyên nhân hàng đầu gây viêm lợi; bỏ thuốc lá có thể cải thiện đáng kể sức khỏe lợi. Ăn uống cân bằng với nhiều trái cây và rau quả giàu vitamin C và A cũng có thể cải thiện sức khỏe lợi.
Bỏ thuốc lá có thể cải thiện đáng kể sức khỏe lợi.
– Theo dõi và tái khám: Tái khám định kỳ để kiểm tra tiến trình điều trị và dự phòng viêm lợi tái phát.
Phía trên là câu trả lời cho câu hỏi viêm lợi là gì. Viêm lợi không chỉ ảnh hưởng đến sức khỏe răng miệng mà còn có thể là dấu hiệu cảnh báo các vấn đề sức khỏe tổng thể nghiêm trọng khác. Bởi thế, đừng chần chừ khi có những dấu hiệu bất thường ở lợi; thăm khám và điều trị với nha sĩ ngay. Điều trị viêm lợi cần kiên trì; sự hợp tác giữa bạn và nha sĩ là chìa khóa để quản lý thành công tình trạng này và duy trì sức khỏe răng miệng lâu dài.


















