Cấp cứu:0901793122
English
Bệnh viện đa khoa Quốc Tế Thucuc | Hệ thống y tế TCI Hospital
Chăm sóc sức khoẻ trọn đời cho bạn
Tổng đài1900558892
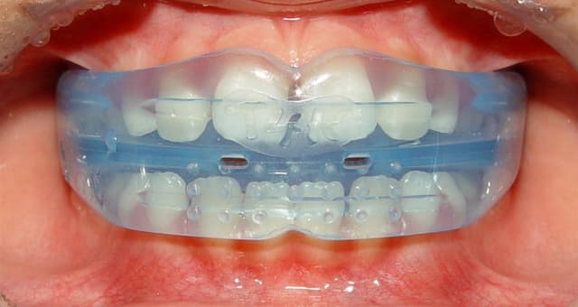
niềng răng silicon

niềng răng silicon

Trang chủ/niềng răng silicon
Tìm hiểu phương pháp niềng răng Silicon 

Tìm hiểu phương pháp niềng răng Silicon 

Hẳn đối với những khách hàng chỉnh nha, khái niệm niềng răng Silicon không phải là quá xa lạ. Tuy nhiên, trên thực tế không phải ai cũng tường tận phương pháp niềng răng này. Vậy niềng răng bằng Silicon là gì, khác niềng răng thông thường như thế nào cũng như phương pháp này […]
Niềng răng silicon là gì, có nên niềng hay không?

Niềng răng silicon là gì, có nên niềng hay không?

Niềng răng silicon thường được áp dụng cho trẻ em khi gặp phải tình trạng sai lệch về răng. Trong một số trường hợp, phương pháp này còn có thể áp dụng cho người lớn trong giai đoạn đầu niềng răng. Hãy cùng tìm hiểu kỹ hơn về phương pháp này qua bài viết sau […]
1900558892
zaloChat