Cấp cứu:0901793122
English
Bệnh viện đa khoa Quốc Tế Thucuc | Hệ thống y tế TCI Hospital
Chăm sóc sức khoẻ trọn đời cho bạn
Tổng đài1900558892
bọc răng sứ kim loại

bọc răng sứ kim loại

Trang chủ/bọc răng sứ kim loại
Tìm hiểu về bọc răng sứ kim loại

Tìm hiểu về bọc răng sứ kim loại

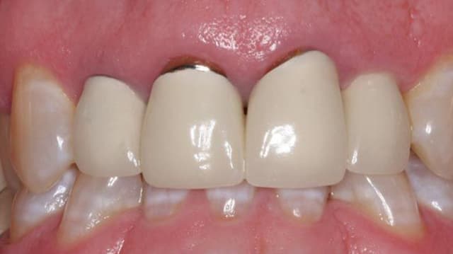
Bọc răng sứ kim loại là một phương pháp phục hình nha khoa được sử dụng để cải thiện vẻ ngoài và chức năng của răng. Trong bài viết này, chúng ta sẽ tìm hiểu kỹ hơn về ưu điểm, nhược điểm và các vấn đề liên quan đến việc bọc răng sứ kim loại. […]
Giải đáp thắc mắc vấn đề bọc răng sứ có giá bao nhiêu

Giải đáp thắc mắc vấn đề bọc răng sứ có giá bao nhiêu

Bọc răng sứ không chỉ mang lại thẩm mỹ mà còn khôi phục chức năng ăn nhai của răng. Tuy nhiên, vấn đề “bọc răng sứ có giá bao nhiêu” thường là điều mà nhiều người quan tâm đầu tiên khi họ đối diện với hàng loạt bảng giá khác nhau tại các phòng khám […]
Những ưu- nhược điểm cần biết trước khi bọc răng sứ kim loại

Những ưu- nhược điểm cần biết trước khi bọc răng sứ kim loại

Bọc răng sứ kim loại hiện là phương pháp được nhiều người lựa chọn bởi ưu điểm chắc khỏe lại tối ưu chi phí. Thế nhưng, mão răng sứ kim loại cũng tồn tại những ưu, nhược điểm nhất định, bạn nên nắm được để có quyết định đúng đắn hơn trong việc nên bọc […]
Có nên bọc răng sứ kim loại – Thắc mắc của nhiều người

Có nên bọc răng sứ kim loại – Thắc mắc của nhiều người

Trước quyết định có nên bọc răng sứ kim loại hay không, bạn cần hiểu rõ về lợi ích và nhược điểm của loại răng sứ này. Bài viết sau sẽ giúp bạn tìm hiểu xem liệu răng sứ kim loại có phải là lựa chọn phù hợp hay không.  1. Thắc mắc của nhiều […]
Bọc răng sứ kim loại giá bao nhiêu và những lưu ý

Bọc răng sứ kim loại giá bao nhiêu và những lưu ý

Răng sứ kim loại chính là một trong những loại răng sứ được xuất hiện đầu tiên. Loại răng sứ này cũng có khả năng khắc phục những khuyết điểm răng miệng nhất định. Vậy ta có nên thực hiện bọc răng sứ kim loại không? Thực hiện bọc răng sứ kim loại giá bao […]
1900558892
zaloChat