Bọc răng sứ kim loại giá bao nhiêu và những lưu ý
Răng sứ kim loại chính là một trong những loại răng sứ được xuất hiện đầu tiên. Loại răng sứ này cũng có khả năng khắc phục những khuyết điểm răng miệng nhất định. Vậy ta có nên thực hiện bọc răng sứ kim loại không? Thực hiện bọc răng sứ kim loại giá bao nhiêu?
1. Tìm hiểu tổng quan về răng sứ kim loại
1.1 Thế nào là răng sứ kim loại?
Răng sứ kim loại là loại răng sứ với phần khung sườn bên trong làm từ hợp kim. Loại hợp kim thường bao gồm Niken – Crom hoặc Crom – Coban, Titan, … Bên ngoài răng sẽ được phủ một lớp sứ được làm từ vật liệu sứ nguyên chất. Nhờ vậy, hình dáng, màu sắc của răng sẽ được duy trì như răng thật.
Đây là loại răng có mức giá khá tiết kiệm. Do đó với những đối tượng khách hàng chỉ yêu cầu cơ bản về tính thẩm mỹ, chức năng ăn uống và độ bền thì đây sẽ là lựa chọn phù hợp.
1.2 Các loại răng sứ kim loại
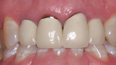
1.2.1 Răng sứ kim loại thường

Răng sứ kim loại thường có mức giá vừa túi tiền với nhiều đối tượng
Đây là loại răng sứ kim loại với phần khung sườn được làm từ hợp kim Niken – Crom. Bên ngoài răng sẽ được phủ lớp sứ trắng. Đây chính là loại răng sứ được khá nhiều khách hàng lựa chọn vì chi phí vừa với túi tiền và thấp hơn so với các loại răng toàn sứ.
Răng sứ kim loại thường đem tới khá nhiều ưu điểm:
– Khắc phục được những khuyết điểm của tình trạng răng bị xỉn màu, răng sâu, hô, mẻ, …
– Độ cứng và chịu lực của răng tốt.
– Quá trình ăn nhai được thực hiện thoải mái như răng thật.
– Việc bảo tồn răng thật được tối ưu.
– Chi phí thực hiện thấp.
Tuy nhiên, loại răng này vẫn còn hạn chế khiến nhiều khách hàng đắn đo:
– Sau một thời gian sử dụng thì răng sứ kim loại sẽ bị đen đi. Điều này là bởi phần sườn được cấu tạo từ kim loại nên dưới tác động của axit ở trong môi trường khoang miệng sẽ gây sự oxi hóa trên răng.
– Răng sứ kim loại khi có ánh sáng chiếu tới sẽ làm lộ ánh đen kim loại ở bên trong. Do đó, tính thẩm mỹ sẽ bị giảm đi nhiều.
– Tuổi thọ của răng không cao, trung bình chỉ từ 5-7 năm.
1.2.2 Răng sứ kim loại quý
Răng sứ kim loại quý có cấu tạo với phần sườn làm từ kim loại quý hay các hỗn hợp kim loại quý: vàng, bạc, palladium, … Lớp vỏ ngoài răng sẽ được phủ bằng sứ mỏng. Vì vậy, chi phí của loại răng này thường sẽ khá cao hơn so với những dòng răng sứ kim loại khác.
Những ưu điểm của phương pháp bọc răng sứ kim loại quý:
– Tuổi thọ của răng khá cao (khoảng trên 15 năm).
– Răng không bị đen ở viền sau nhiều năm sử dụng.
– Màu sắc răng tự nhiên gần giống răng thật.
– Kim loại vàng với tính sát khuẩn nên khắc phục được nguy cơ bị viêm nhiễm.
Những hạn chế của răng sứ kim loại quý:
– Đòi hỏi cao về kĩ thuật thực hiện nên cần lưu ý trong việc lựa chọn nha khoa.
– Chi phí thực hiện cao hơn so với những loại răng sứ kim loại khác. Cụ thể, mức giá sẽ phụ thuộc phần lớn vào giá của kim loại quý được sử dụng ở thời điểm thực hiện.
1.2.3 Răng sứ kim loại Titan
Răng sứ kim loại Titan có lớp sườn được làm từ hợp kim Titan. Phần ngoài răng được phủ sứ trắng. Đặc biệt, trong cấu tạo của răng sứ Titan có chứa tinh chất Titanium nên trong lượng răng khá nhẹ so với răng kim loại khác.
Những ưu điểm của phương pháp bọc răng sứ kim loại Titan:
– Không gây kích ứng hay viêm nhiễm gì với mô nướu.
– Đảm bảo về tính thẩm mỹ tự nhiên hơn răng sứ kim loại thường.
– Chi phí thực hiện phù hợp với nhiều nhóm đối tượng khách hàng.
– Tuổi thọ của răng khá cao, khoảng từ 10-15 năm.
– Độ bền, độ chịu lực tốt.
Tuy nhiên, răng sứ kim loại Titan vẫn còn một số những nhược điểm:
– Tính thẩm mỹ của răng chỉ ở mức tương đối vì có thành phần cấu tạo từ kim loại.
2. Có nên thực hiện bọc răng sứ kim loại không?

Việc sử dụng răng sứ kim loại có nên không là tùy vào nhu cầu mỗi khách hàng
Trên thực tế, việc sử dụng loại răng sứ nào phù hợp là tùy vào mỗi người. Nếu ta có yêu cầu loại răng sứ đảm bảo chức năng ăn nhai, không quá đề cao tính thẩm mỹ, chi phí phải chăng thì răng sứ kim loại sẽ là lựa chọn phù hợp. Ngược lại, nếu ta muốn một loại răng sứ không chỉ bền, chịu lực tốt mà còn đem lại vẻ đẹp, trắng sáng cho hàm răng thì nên lựa chọn loại răng toàn sứ.
3. Thực hiện bọc răng sứ kim loại có giá bao nhiêu?

Chi phí thực hiện bọc răng sứ cụ thể tùy thuộc vào nhiều yếu tố khác
Chi phí thực hiện bọc răng sứ kim loại thường không được cố định. Mỗi trường hợp sẽ có mức tổng chi phí khác nhau tùy vào loại răng kim loại được sử dụng, nha khoa thực hiện, số lượng răng cần bọc sứ, … Tại Hệ thống Y tế Thu Cúc TCI, chi phí thực hiện bọc răng sứ kim loại sẽ khoảng từ 5.000.000 đồng trở lên.
4. Những lưu ý sau khi thực hiện bọc răng sứ kim loại
Để đảm bảo độ bền, chắc và trắng sáng sau khi bọc răng sứ kim loại ta cần lưu ý những điều sau:
– Không ăn những đồ quá dai, cứng: Tuy răng sứ kim loại có độ bền tương đối tốt nhưng điều này không có nghĩa ta có thể thoải mái ăn nhai tất cả các đồ quá dai, cứng. Đặc biệt, điều này nên được tránh trong 1 tháng đầu khi mới bọc sứ.
– Từ bỏ những thói quen xấu gây hại cho răng: nhai đá, cắn bút, cắn móng tay, …
– Không ăn những món ăn quá nóng hay quá lạnh. Những loại đồ ăn này sẽ tác động xấu tới răng sứ. Răng sẽ dễ bị kích thích, gây ê buốt thậm chí là nguy cơ nứt răng.
– Hạn chế những tác động có nguy cơ làm cho răng bị nhiễm màu: uống nước uống có ga, đồ ăn, uống chứa nhiều đường, cà phê, … Điều này sẽ khiến răng sứ nhanh chóng mất đi độ sáng trắng, giảm tuổi thọ.
Bài viết trên đã cho ta hiểu rõ hơn về bọc răng sứ kim loại có giá bao nhiêu. Hiện nay, thông thường khách hàng thường lựa chọn loại răng toàn sứ để có thể đảm bảo được về độ bền, chức năng cũng như tính thẩm mỹ. Tuy nhiên, nếu khách hàng hướng tới một lựa chọn có mức giá phải chăng hơn mà vẫn đảm bảo độ bền và chức năng của răng thì răng sứ kim loại vẫn hoàn toàn đáp ứng tốt.


















