Cấp cứu:0901793122
English
Bệnh Viện Đa Khoa Quốc Tế Thu Cúc | TCI Hospital
Chăm sóc sức khoẻ trọn đời cho bạn
Tổng đài1900558892
bệnh lậu

bệnh lậu

Trang chủ/bệnh lậu
Xét nghiệm bệnh lậu bao nhiêu tiền?

Xét nghiệm bệnh lậu bao nhiêu tiền?

Xét nghiệm bệnh lậu bao nhiêu tiền là vấn đề khá nhiều người quan tâm khi nghi ngờ mình có dấu hiệu mắc bệnh lậu. Bài viết dưới đây sẽ giúp bạn giải đáp một số thông tin cụ thể về vấn đề này. 1. Các xét nghiệm chẩn đoán bệnh lậu 1.1. Xét nghiệm […]
Triệu chứng bệnh lậu ở nam giới

Triệu chứng bệnh lậu ở nam giới

Triệu chứng bệnh lậu ở nam giới sẽ giúp người bệnh có thể phát hiện bệnh sớm và có hướng xử trí kịp thời. Đây là căn bệnh có biểu hiện dễ nhầm lẫn với các bệnh lý thông thường khác. Bệnh lậu ở nam giới là gì? Bệnh lậu ở nam giới được gây […]
Triệu chứng của bệnh lậu có xu hướng tăng nhanh

Triệu chứng của bệnh lậu có xu hướng tăng nhanh

Nhận biết sớm những triệu chứng của bệnh lậu giúp chúng ta chủ động hơn trong việc phát hiện, khám chữa và phòng ngừa căn bệnh xã hội nguy hiểm này. Các triệu chứng của bệnh lậu -Giai đoạn cấp tính: Sau thời gian ủ bệnh, bệnh lậu sẽ biểu hiện ra bên ngoài bằng […]
Bệnh lậu dễ gây vô sinh ở cả nam và nữ

Bệnh lậu dễ gây vô sinh ở cả nam và nữ

Bệnh lậu dễ gây vô sinh ở cả nam và nữ nếu nhưng không được xử trí. Căn bệnh này đang trong top đầu những bệnh xã hội nguy hiểm, là nỗi lo sợ và ám ảnh với tất cả mọi người. Bệnh lậu là gì? Bệnh lậu là bệnh lây truyền qua đường tình […]
Bệnh lậu mạn tính có chữa trị được không?

Bệnh lậu mạn tính có chữa trị được không?

Bệnh lậu mạn tính có chữa trị được không là vấn đề được rất nhiều người quan tâm tìm hiểu. Vậy, bệnh lậu mạn tính có chữa trị được không? Lậu là một trong những bệnh xã hội phổ biến, có tỷ lệ người mắc đông, dễ dàng lây lan, khó điều trị triệt để […]
Bệnh lậu và bệnh giang mai khác nhau thế nào?

Bệnh lậu và bệnh giang mai khác nhau thế nào?

Lậu và giang mai là hai bệnh xã hội rất phổ biến nhưng lại rất hay bị nhầm lẫn với nhau. Chính vì thế, bệnh lậu và bệnh giang mai khác nhau như thế nào là quan tâm của rất nhiều người. Bệnh lậu và bệnh giang mai khác nhau như thế nào? 1.Nguyên nhân […]
Nguyên nhân và triệu chứng của bệnh lậu

Nguyên nhân và triệu chứng của bệnh lậu

Lậu là căn bệnh xã hội có số lượng người mắc rất lớn. Tuy nhiên, không phải ai bị bệnh cũng biết rõ nguyên nhân gây bệnh là gì. Nhận biết sớm các triệu chứng của bệnh giúp ích cho việc hỗ trợ điều trị và phòng ngừa. Dưới đây là nguyên nhân và triệu chứng […]
ĐIỀU TRỊ BỆNH LẬU Ở NỮ GIỚI KHÔNG KHÓ

ĐIỀU TRỊ BỆNH LẬU Ở NỮ GIỚI KHÔNG KHÓ

Bệnh lậu là một trong những bệnh lây nhiễm qua đường tình dục có số người mắc cao. Nữ giới bị bệnh lậu ảnh hưởng đến thiên chức làm mẹ. Cần xử trí ngay nếu nghi ngờ mình mắc bệnh lậu. Bệnh lậu là một trong những bệnh lây qua đường tình dục nguy hiểm BỆNH […]
Xét nghiệm bệnh lậu ở đâu nguyên nhân chính dẫn tới bệnh lậu

Xét nghiệm bệnh lậu ở đâu nguyên nhân chính dẫn tới bệnh lậu

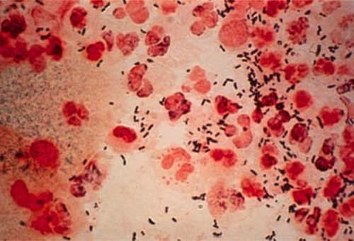
Lậu là một trong những lây truyền qua đường tình dục  nguyên nhân là do vi khuẩn gram âm Neisseria gonorrhoeae. Tình dục không an toàn là nguyên nhân chính dẫn tới bệnh lậu. Khi có dấu hiệu bệnh lậu người bệnh cần đi khám tại các cơ sở y tế uy tín để được xử trí sớm […]
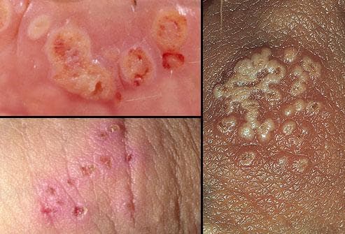
Bệnh lây qua đường sinh dục bệnh giang mai, lậu, sùi mào gà

Bệnh lây qua đường sinh dục bệnh giang mai, lậu, sùi mào gà

Các bệnh lây qua đường sinh dục chủ yếu lây qua hoạt động tình dục. Có thể kể đến các bệnh như: Giang mai, lậu, sùi mào gà, HIV, mụn rộp, nhiễm trùng, mụn âm đạo, viêm âm đạo, viêm niêm mạc đường tiết niệu… 1. Nguyên nhân gây bệnh Theo các bác sĩ, nguyên […]
Xét nghiệm lậu như thế nào? có nhiễm lậu hay không

Xét nghiệm lậu như thế nào? có nhiễm lậu hay không

Xét nghiệm lậu để biết chính xác mình có nhiễm lậu hay không và để phân biệt với Chlamydia, phi lậu. Từ đó có hướng điều trị phù hợp, hiệu quả cao. Vậy xét nghiệm lậu bao gồm những xét nghiệm nào? Xét nghiệm bệnh lậu như thế nào là vấn đề được rất nhiều […]
12
1900558892
zaloChat