Cấp cứu:0901793122
English
Bệnh viện đa khoa Quốc Tế Thucuc | Hệ thống y tế TCI Hospital
Chăm sóc sức khoẻ trọn đời cho bạn
Tổng đài1900558892
bạch cầu lympho

bạch cầu lympho

Trang chủ/bạch cầu lympho
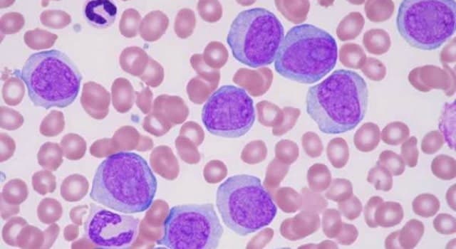
Bạch cầu lympho là gì?hiểu bạch cầu lympho

Bạch cầu lympho là gì?hiểu bạch cầu lympho

Bạch cầu có nhiệm vụ giống như những chiến sĩ chiến đấu chống lại sự tấn công của các virus, vi khuẩn, ký sinh trùng và các tác nhân gây bệnh. Tuy nhiên lại rất ít người am hiểu bạch cầu lympho là gì? Khi kết quả xét nghiệm máu cho thấy chỉ số bạch […]
Chỉ số bạch cầu bình thường ở trẻ là bao nhiêu?

Chỉ số bạch cầu bình thường ở trẻ là bao nhiêu?

Bạch cầu có vai trò quan trọng trong quá trình phát triển của cơ thể. Bạch cầu có những điểm bất thường cảnh báo cơ thể gặp vấn đề, nhất là trẻ nhỏ. Vậy, chỉ số bạch cầu bình thường ở trẻ là bao nhiêu? Bạch cầu đóng vai trò vô cùng quan trọng đối […]
Bạch cầu lympho tăng khi nào?

Bạch cầu lympho tăng khi nào?

Bạch cầu lympho tăng là tình trạng thường xuất hiện ở nhiều người tuy nhiên bạch cầu lympho tăng khi nào hay nguyên nhân khiến bạch cầu tăng thì không phải ai cũng biết. Bài viết dưới đây sẽ cung cấp những thông tin cần thiết để giúp bạn biết cách xử trí đúng nếu […]
Ung thư máu có lây không? Có thể chữa khỏi được không?

Ung thư máu có lây không? Có thể chữa khỏi được không?

Chào các bác sĩ. Em họ em bị chẩn đoán ung thư máu (bệnh bạch cầu), 2 chị em em rất thân thiết với nhau nên khi biết tin đó em rất buồn và cũng cảm thấy rất lo lắng không biết bệnh ung thư máu có lây không? Liệu bệnh ung thư máu của […]
1900558892
zaloChat