Các xét nghiệm suy tuyến yên
Xét nghiệm suy tuyến yên là bước quan trọng giúp phát hiện sớm tình trạng rối loạn nội tiết do tuyến yên hoạt động kém. Thông qua việc đánh giá nồng độ các hormone tuyến yên và hormone đích, bác sĩ có thể xác định mức độ thiếu hụt, tìm nguyên nhân và xây dựng phác đồ điều trị phù hợp, hạn chế biến chứng cho người bệnh.
1. Vì sao cần làm xét nghiệm khi nghi ngờ suy tuyến yên?
Xét nghiệm được thực hiện khi nghi ngờ suy tuyến yên vì bệnh có biểu hiện đa dạng, tiến triển âm thầm và liên quan đến nguy cơ biến chứng, thậm chí tử vong nếu chẩn đoán muộn. Bị suy tuyến yên xét nghiệm giúp xác định chính xác mức độ thiếu hụt hormone, phát hiện sớm bệnh để điều trị kịp thời. Ngoài ra, các xét nghiệm còn cần thiết để đánh giá hiệu quả điều trị thay thế hormone và theo dõi nguy cơ dùng thuốc thiếu hoặc quá liều trong quá trình điều trị lâu dài.

2. Các xét nghiệm hormone tuyến yên cần thực hiện
Chẩn đoán suy tuyến yên dựa trên việc đánh giá nồng độ hormone và hình ảnh học, trong đó xét nghiệm suy tuyến yên đóng vai trò trung tâm giúp xác định chính xác mức độ và loại hormone bị thiếu hụt. Các phương pháp thường được thực hiện như sau:
2.1. Xét nghiệm hormone cơ bản
Đây là bước đầu trong xét nghiệm suy tuyến yên, thường lấy máu vào buổi sáng khi nhịn ăn. Bác sĩ sẽ đo các hormone tuyến yên trước gồm GH, prolactin, LH, FSH, TSH, ACTH và các hormone đích tương ứng. Phần lớn tình trạng thiếu hormone (trừ GH và ACTH) có thể được phát hiện qua nồng độ hormone cơ bản.
2.2. Xét nghiệm máu chuyên biệt
Một số xét nghiệm suy tuyến yên thường được chỉ định gồm:
- Cortisol máu buổi sáng để đánh giá hoạt động trục ACTH – thượng thận.
- Hormone tuyến giáp (T4 tự do, TSH).
- Testosterone buổi sáng ở nam giới.
- IGF-1 nhằm phản ánh mức hormone tăng trưởng (GH).
- Các hormone LH, FSH, prolactin; trong đó prolactin nên được đo ít nhất hai lần nếu nghi ngờ tăng cao.
2.3. Xét nghiệm kích thích hormone
Khi kết quả hormone cơ bản chưa rõ ràng, đặc biệt với GH và ACTH, bác sĩ sẽ chỉ định xét nghiệm suy tuyến yên dạng kích thích. Các xét nghiệm này dùng thuốc để kích thích tuyến yên tiết hormone, bao gồm:
- Test kích thích ACTH để đánh giá đáp ứng cortisol.
- Test dung nạp insulin nhằm kiểm tra khả năng tiết cortisol và GH.
- Test GHRH hoặc arginine để đánh giá chức năng tiết GH.
Kết quả giúp xác định tuyến yên có đáp ứng hormone đầy đủ hay không.
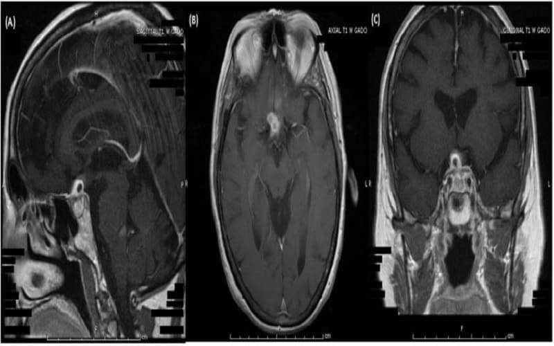
2.4. Chẩn đoán hình ảnh (MRI tuyến yên)
Song song với xét nghiệm suy tuyến yên, chụp cộng hưởng từ (MRI) được sử dụng để quan sát cấu trúc tuyến yên và vùng xung quanh. MRI giúp phát hiện u tuyến yên, u nang, viêm hoặc bất thường giải phẫu có thể gây suy giảm chức năng. Trong trường hợp khối u lớn, bác sĩ có thể chỉ định thêm kiểm tra thị lực để đánh giá ảnh hưởng lên dây thần kinh thị giác.

3. Khi nào nên đi làm xét nghiệm suy tuyến yên?
Nếu xuất hiện một số dấu hiệu bất thường dưới đây, bạn nên đi khám và làm xét nghiệm suy tuyến yên để đánh giá xem tuyến yên còn hoạt động bình thường hay không:
- Đau bụng, chán ăn, buồn nôn và nôn mửa, táo bón
- Khát nước và đi tiểu nhiều
- Mệt mỏi và/hoặc suy nhược
- Thiếu máu (không có đủ hồng cầu)
- Đau đầu và chóng mặt
- Nhạy cảm với lạnh
- Giảm cân hoặc tăng cân
- Đau nhức cơ bắp
- Ở nữ giới: giảm hoặc mất lông nách, lông mu; giảm ham muốn; khó có thai; khó tiết sữa sau sinh; kinh nguyệt thất thường hoặc vô kinh.
- Ở nam giới: rụng lông tóc vùng mặt, nách hoặc sinh dục; giảm ham muốn; vô sinh; rối loạn cương dương.
- Ở trẻ em: chậm tăng trưởng chiều cao và rối loạn phát triển đặc tính sinh dục.
Xét nghiệm suy tuyến yên có giá trị trong chẩn đoán và theo dõi hiệu quả điều trị về lâu dài. Việc thực hiện xét nghiệm đúng thời điểm, đầy đủ và định kỳ giúp bạn kiểm soát bệnh tốt hơn, cải thiện chất lượng cuộc sống và giảm nguy cơ biến chứng do thiếu hormone kéo dài.
















