Viêm lộ tuyến cổ tử cung khi mang thai nguy hiểm thế nào?
Viêm lộ tuyến có thể xảy ra ở bất kỳ đối tượng nào, bao gồm cả bà bầu. Bị viêm lộ tuyến cổ tử cung khi mang thai nói riêng cũng như các căn bệnh phụ khoa khác nói chung, nỗi lo lớn nhất của mẹ bầu là bệnh có ảnh hưởng đến thai nhi hay không, có nguy hiểm không?
1. Nguyên nhân khiến bà bầu dễ bị viêm lộ tuyến cổ tử cung
Các tế bào tuyến nằm ở bên trong cổ tử cung phát triển lan ra phía mặt ngoài cổ tử cung sẽ được gọi là tình trạng lộ tuyến. Phần tuyến bị lộ này vẫn tiết dịch như khi ở trong cổ tử cung nên rất dễ bị vi khuẩn, virus tấn công gây ra viêm nhiễm.
Ở bà bầu, viêm lộ tuyến thường xảy ra vào 3 tháng đầu và 3 tháng cuối thai kỳ do hormone trong cơ thể có nhiều sự thay đổi đã tạo điều kiện thuận lợi cho vi khuẩn, nấm và các tác nhân gây bệnh phát triển mạnh. Bên cạnh đó, viêm lộ tuyến cổ tử cung khi mang bầu còn do những nguyên nhân sau:
– Chưa vệ sinh vùng kín sạch sẽ và đúng chuẩn.
– Lạm dụng dung dịch vệ sinh có tính tẩy rửa mạnh hoặc thói quen thụt rửa âm đạo đã khiến độ cân bằng pH ở âm đạo thay đổi, tạo điều kiện cho vi khuẩn xâm nhập.
– Bị viêm nhiễm phụ khoa trước khi mang thai mà chưa điều trị triệt để.
– Có thói quen mặc quần lót bó sát, chất liệu quần lót không thấm hút mồ hôi, ít thông thoáng.
– Trong quá trình mang thai quan hệ tình dục không an toàn.
– Có tiền sử sinh non, nạo phá thai nhưng không được chăm sóc đúng cách sẽ có nguy cơ mắc viêm lộ tuyến cao hơn.
Dù viêm lộ tuyến khi mang thai do nguyên nhân nào thì mẹ cũng nên lưu ý những dấu hiệu của bệnh để tìm được biện pháp điều trị kịp thời, tránh ảnh hưởng đến sức khỏe.
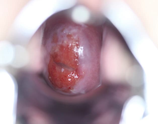
Hình ảnh của viêm lộ tuyến cổ tử cung
2. Triệu chứng viêm lộ tuyến cổ tử cung khi mang thai là gì?
Viêm lộ tuyến thường có biểu hiện âm thầm, ít có dấu hiệu rõ ràng ở giai đoạn đầu. Nhưng càng về sau thì các triệu chứng của bệnh càng nặng nề hơn.
2.1. Biểu hiện viêm lộ tuyến độ 1
Ở giai đoạn này mới chỉ xuất hiện những tổn thương nhỏ với diện tích nhỏ hơn 1/3 diện tích cổ tử cung. Các triệu chứng của bệnh khá mơ hồ, dễ nhầm lẫn với các bệnh phụ khoa khác nên nhiều chị em thường chủ quan. Tuy nhiên khi có những biểu hiện sau, mẹ bầu cần lưu tâm đi thăm khám sớm:
– Lượng khí hư ở âm đạo tiết ra nhiều hơn bình thường.
– Khí hư có màu lạ, vàng hoặc xanh kèm theo mùi hôi khó chịu.
– m đạo có cảm giác ngứa ngáy, bứt rứt.
2.2. Biểu hiện viêm lộ tuyến độ 2
Ở giai đoạn này mức độ viêm đã nặng hơn, vùng viêm nhiễm lan rộng chiếm tới hơn một nửa diện tích cổ tử cung. Các biểu hiện của bệnh cũng rõ ràng hơn ở giai đoạn 1, mẹ bầu sẽ cảm thấy:
– Tình trạng ngứa ngáy trầm trọng hơn ở giai đoạn 1 làm mẹ bầu luôn cảm thấy khó chịu.
– Khí hư tiết ra quá nhiều khiến vùng kín luôn trong tình trạng ẩm ướt khó chịu.
– Khí hư có thể có lẫn máu.
– Bị đau rát khó chịu khi quan hệ vợ chồng.
Lúc này nếu thăm khám, các bác sĩ sẽ thấy vùng cổ tử cung bị sưng, lở loét, vùng viêm loét xuất hiện mủ và máu.
Khi bị viêm lộ tuyến mẹ bầu thường có cảm giác đau rát, khó chịu ở vùng kín
2.3. Biểu hiện viêm lộ tuyến độ 3
Đây là cấp độ nặng nhất của viêm lộ tuyến cổ tử cung khi vùng viêm loét đã lan rộng hơn 2/3 diện tích cổ tử cung. Bệnh ở cấp độ 3 sẽ gây ảnh hưởng lớn đến sức khỏe và sinh hoạt hàng ngày. Một số biểu hiện ở giai đoạn này như sau:
– Đau rát, ra máu khi quan hệ, từ đó khiến mẹ không còn cảm hứng với chuyện gối chăn nữa.
– Ra nhiều khí hư kèm theo xuất huyết âm đạo. Khi thăm khám sẽ cho thấy vùng tổn thương bị sưng tấy và đỏ ửng.
3. Mức độ nguy hiểm của viêm lộ tuyến cổ tử cung khi mang bầu?
Viêm lộ tuyến cổ tử cung là bệnh không quá nghiêm trọng và dễ điều trị nếu như được phát hiện sớm. Ngược lại, nếu đã ở giai đoạn nặng, đặc biệt là khi bị viêm lộ tuyến độ 3 thì có thể gây sinh non, sảy thai hoặc gây khó khăn khi chuyển dạ.
Ngoài ra, người mẹ bị viêm lộ tuyến cổ tử cung nếu sinh thường thì các tác nhân gây bệnh có thể xâm nhập trực tiếp vào em bé ở thời điểm đi qua ống sinh. Khi ấy em bé có thể bị viêm giác mạc, viêm đường hô hấp hoặc viêm da. Chắc hẳn đây là điều mà không một bà mẹ nào mong muốn đúng không nào. Vậy nên các mẹ bầu tuyệt đối không được chủ quan nếu có dấu hiệu của viêm lộ tuyến nhé.
4. Điều trị viêm lộ tuyến khi mang thai thế nào?
Phác đồ điều trị viêm lộ tuyến thường được áp dụng sẽ là điều trị bằng thuốc để giảm viêm nhiễm sau đó sẽ thực hiện đốt điện hoặc áp lạnh để tiêu diệt lộ tuyến. Tuy nhiên với bà bầu thì những phương pháp ngoại khoa này thường không được khuyến khích bởi lo ngại ảnh hưởng đến sức khỏe và sự phát triển của thai nhi.
Với những bà bầu được phát hiện viêm lộ tuyến trong thai kỳ các bác sĩ thường kê thuốc uống và thuốc đặt để giảm mức độ viêm nhiễm, đợi sau khi sinh sẽ điều trị tiếp tục. Phương pháp này thường không điều trị triệt để viêm lộ tuyến ở giai đoạn nặng nhưng nó lại đảm bảo an toàn cho mẹ và thai nhi. Khi điều trị, mẹ bầu cần tuân theo đúng chỉ định của bác sĩ, uống thuốc đúng, đủ liều và thăm khám thường xuyên để đánh giá mức độ phát triển của bệnh nhằm có tiên lượng tốt nhất cho cuộc sinh.
Mẹ bầu nên tuân thủ đúng phác đồ điều trị của bác sĩ nếu bị viêm lộ tuyến cổ tử cung để đảm bảo an toàn cho cả mẹ & bé
Bên cạnh đó để việc điều trị đạt hiệu quả tốt nhất các mẹ bầu cũng cần lưu ý:
– Lựa chọn sản phẩm vệ sinh phụ nữ phù hợp, luôn vệ sinh vùng kín sạch sẽ.
– Không nên bơi hoặc tắm bồn quá lâu.
– Có chế độ ăn uống nghỉ ngơi hợp lý, giữ tâm lý thoải mái, không căng thẳng.
Hy vọng với những thông tin hữu ích về bệnh viêm lộ tuyến cổ tử cung khi mang thai trên đây, các mẹ bầu đã hiểu rõ được nguyên nhân, mức độ nguy hiểm của bệnh để có cách phòng tránh và điều trị bệnh hiệu quả. Từ đó tận hưởng một thai kỳ khỏe mạnh, hạnh phúc đón con yêu chào đời.












