Viêm lộ tuyến cổ tử cung cấp độ 3 điều trị thế nào?
Viêm lộ tuyến cổ tử cung là một trong những bệnh phụ khoa không hiếm gặp ở nữ giới. Bệnh có nhiều cấp độ, trong đó viêm lộ tuyến cổ tử cung cấp độ 3 là giai đoạn nặng nhất. Nếu không được điều trị kịp thời và triệt để, những tổn thương do viêm lộ tuyến cấp độ 3 gây nên sẽ gây vô sinh, thậm chí ung thư.
1. Dấu hiệu nhận biết viêm lộ tuyến cổ tử cung cấp độ 3 là gì?
Lộ tuyến cổ tử cung là tình trạng các tế bào tuyến bên trong cổ tử cung phát triển và xâm lấn ra mặt ngoài cổ tử cung. Do các tế bào tuyến tiết nhầy vẫn hoạt động như khi ở trong cổ tử cung nên khi bị lộ tuyến, chị em thường bị tăng tiết dịch âm đạo, ngứa ngáy… và dễ dẫn đến tình trạng viêm nhiễm.
Các tế bào tuyến trong cổ tử cung khi phát triển xâm lấn ra phía ngoài rất dễ gây viêm
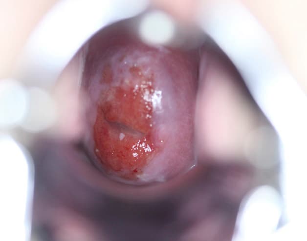
Viêm lộ tuyến cổ tử cung độ 3 là mức độ nặng nhất của viêm lộ tuyến khi mà diện tích viêm ở cổ tử cung chiếm ⅔ hoặc toàn bộ bề mặt cổ tử cung. Ở giai đoạn 3, các dấu hiệu của viêm lộ tuyến cổ tử cung đã xuất hiện trầm trọng và gây ảnh hưởng không nhỏ đến sinh hoạt hàng ngày. Một số dấu hiệu điển hình của viêm lộ tuyến cổ tử cung độ 3 có thể kể đến:
– Ra nhiều khí hư, dai dẳng trong nhiều ngày, nhiều tuần. Khí hư có màu bất thường, mùi hôi, thanh.
– Bị chảy máu và đau rát khi quan hệ tình dục.
– Ra máu âm đạo bất thường.
– Đau thắt lưng, đau vùng bụng dưới (giống như đau bụng kinh).
– Tiểu buốt, tiểu rắt.
– Luôn có cảm giác mệt mỏi.
2. Biến chứng của viêm lộ tuyến cấp độ 3
Nếu không điều trị viêm lộ tuyến cấp độ 3 kịp thời và triệt để, chị em sẽ phải đối mặt với nhiều biến chứng vô cùng nguy hiểm:
– Nguy cơ vô sinh, hiếm muộn: Do dịch ở cổ tử cung tiết ra nhiều, độ pH trong âm đạo bị thay đổi làm giảm khả năng sống sót của tinh trùng và cản trở con đường di chuyển của tinh trùng vào sâu bên trong tử cung.
– Viêm lộ tuyến cấp độ 3 đặc biệt nguy hiểm nếu không điều trị đúng phương pháp. Bởi sự tăng sinh của lớp biểu bì ở cổ tử cung là nguyên nhân chính dẫn tới ung thư cổ tử cung.
– Viêm lộ tuyến cấp độ 3 khiến chị em đau rát, khó chịu khi quan hệ tình dục. Khí hư ra nhiều còn khiến chị em tự ti và ngại quan hệ, từ đó ảnh hưởng không nhỏ đến tình cảm vợ chồng.
– Ngoài ra khi bị viêm ở cấp độ 3, chị em còn dễ gặp phải các biến chứng khác như polyp cổ tử cung, u nang cổ tử cung…
– Nếu mẹ bầu bị viêm lộ tuyến cấp độ 3 thì khả năng sinh non, thai lưu rất dễ xảy ra.
Viêm lộ tuyến cổ tử cung độ 3 rất dễ dẫn tới ung thư cổ tử cung
3. Điều trị viêm lộ tuyến cấp độ 3 thế nào hiệu quả nhất?
Ở cấp độ 3, lúc này diện tích viêm nhiễm đã chiếm tới ⅔ bề mặt cổ tử cung, mức độ tổn thương khá nghiêm trọng. Vì thế việc điều trị ở giai đoạn này cũng phức tạp hơn nhiều, không thể điều trị khỏi bằng thuốc (kể cả thuốc kháng sinh, thuốc đặt…) mà phải kết hợp giữa dùng thuốc và can thiệp ngoại khoa.
Sau khi điều trị nội khoa bằng thuốc đặt hoặc thuốc uống để kiểm soát tình trạng viêm, tùy vào tình trạng cụ thể của bệnh mà bác sĩ sẽ chỉ định một trong các phương pháp can thiệp sau:
3.1. Điều trị viêm lộ tuyến cổ tử cung cấp độ 3 bằng phương pháp đốt
Đây là phương pháp diệt tuyến được áp dụng nhiều nhất bằng cách sử dụng dòng điện cao tần hoặc laser chiếu trực tiếp vào vùng viêm ở cổ tử cung.
Điều trị viêm lộ tuyến bằng phương pháp này đòi hỏi rất cao ở tay nghề bác sĩ. Bởi nếu đốt quá sâu sẽ để lại sẹo xơ cứng ở cổ tử cung, gây chít hẹp cổ tử cung. Từ đó gây ứ đọng máu kinh, giảm khả năng thụ thai, gây khó khăn cho quá trình mở cổ tử cung để sinh thường.
3.2. Điều trị viêm lộ tuyến cổ tử cung độ 3 bằng phương pháp áp lạnh
Đây là phương pháp diệt tuyến sử dụng dụng cụ chứa Nitơ hóa lỏng ở -50 độ C áp sát vào các vùng tổn thương của bề mặt cổ tử cung. Các tế bào lộ tuyến sẽ đông lại và dần chết đi. Đây là phương pháp ít thông dụng bởi có chi phí khá cao và đòi hỏi bác sĩ có đủ trình độ, kinh nghiệm thực hiện.
Ở giai đoạn 3, việc điều trị viêm lộ tuyến thường được kết hợp giữa dùng thuốc và can thiệp ngoại khoa
3.3. Phương pháp dùng dao Leep
Là phương pháp dùng dòng điện có điện áp thấp như một con dao giúp loại bỏ các mô lộ tuyến viêm ở cổ tử cung. Ưu điểm của phương pháp này là thời gian thực hiện và phục hồi nhanh chóng, hỗ trợ cầm máu và thúc đẩy tái tạo lại tế bào khỏe mạnh ở cổ tử cung.
4. Lưu ý sau khi điều trị viêm lộ tuyến độ 3
Để việc điều trị viêm lộ tuyến đạt kết hiệu quả cao nhất, chị em nên lưu ý:
– Thực hiện khám và diệt tuyến tại các cơ sở y tế uy tín có trang thiết bị điều trị hiện đại và bác sĩ có trình độ chuyên môn cao để tránh các rủi ro, nguy hiểm khi thực hiện.
– Tuyệt đối tuân theo phác đồ điều trị của bác sĩ, không tự ý mua thuốc điều trị tại nhà.
– Tuyệt đối không quan hệ tình dục trong thời gian điều trị và sau khi diệt tuyến (trong 6-8 tuần).
– Vệ sinh vùng kín đúng cách. Không thụt rửa âm đạo hoặc dùng các chất có tính tẩy rửa mạnh để vệ sinh vùng kín.
– Có chế độ dinh dưỡng đầy đủ sau khi diệt tuyến để thúc đẩy khả năng tái tạo tế bào mới.
Nhìn chung, viêm lộ tuyến độ 3 là giai đoạn nặng nhất vì thế việc điều trị cần kiên trì, nhẫn nại và triệt để. Để tránh bệnh tiến triển tới giai đoạn này, chị em cần khám phụ khoa định kỳ hoặc thăm khám ngay nếu thấy có bất cứ bất thường nào ở vùng kín.












