Tìm hiểu các nguyên nhân có thai ngoài dạ con
Nguyên nhân có thai ngoài dạ con (hay là thai ngoài tử cung) xuất phát từ rất nhiều tác nhân. Đây được xem là một tình huống nguy hiểm và cần được phát hiện và điều trị kịp thời. Trong bài viết này, chúng ta sẽ tìm hiểu về các phương pháp phòng ngừa và xử lý trường hợp thai bất thường này để giúp tránh những rủi ro và tác động tiêu cực đối với sức khỏe của chị em phụ nữ.
1. Thế nào là thai ngoài tử cung?
Có thai ngoài tử cung là tình trạng sản khoa cực kỳ nguy hiểm, đe dọa đến khả năng sinh sản và tính mạng của thai phụ. Hiện tượng này xảy ra khi phôi được thụ tinh không thể đi qua ống dẫn trứng và làm tổ trong tử cung, mà thay vào đó thai lại làm tổ và phát triển bên ngoài tử cung. Các vị trí thai nằm ngoài tử cung bao gồm: vòi tử cung, buồng trứng, cổ tử cung hay ổ bụng hoặc có thể là vòi tử cung.
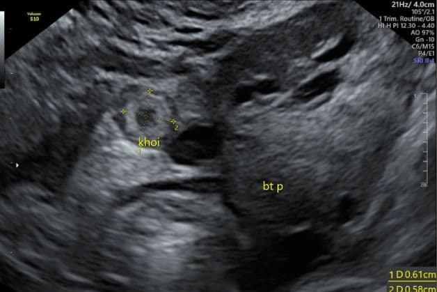
Hình ảnh siêu âm phát hiện thai làm tổ ngoài tử cung
Khi thai ở ngoài tử cung thì sẽ không được bảo vệ bởi buồng tử cung, dẫn đến túi thai bị vỡ và chảy máu trong ổ bụng, đe dọa trực tiếp đến tính mạng thai phụ. Cơ thể phụ nữ có thể cho phép phôi phát triển ngoài tử cung do một số yếu tố như vết sẹo trong ống dẫn trứng hoặc tử cung sau một quá trình phẫu thuật hoặc nhiễm trùng trước đó.
Trong một số trường hợp, phôi ngoài tử cung có thể sống sót và phát triển tạm thời, nhưng cuối cùng sẽ không thể tiếp tục phát triển và gây ra biến chứng nguy hiểm cho sức khỏe phụ nữ.
2. Nguyên nhân dẫn đến thai làm tổ ngoài tử cung
Trong một số tình huống, nguyên nhân gây ra thai ngoài tử cung không thể xác định rõ ràng. Tuy nhiên, phần lớn thai phụ gặp phải vấn đề này liên quan đến một hoặc nhiều nguyên nhân sau đây, có thể ảnh hưởng đến việc tìm kiếm giải pháp trên công cụ tìm kiếm:
– Viêm nhiễm và sẹo trên ống dẫn trứng: Viêm nhiễm hoặc nhiễm trùng trước đây đã gây viêm và sẹo trên ống dẫn trứng của thai phụ, có thể do phẫu thuật hoặc nhiễm trùng.
– Thay đổi hoặc hoạt động bất thường của nội tiết tố: Sự thay đổi hoặc rối loạn nội tiết tố có thể góp phần vào việc xảy ra thai ngoài tử cung.
– Dị dạng cơ quan sinh dục: Những dị dạng cơ quan sinh dục cũng có thể là một nguyên nhân gây ra tình trạng này.
– Vấn đề di truyền: Một số vấn đề liên quan đến di truyền cũng có thể tăng nguy cơ thai ngoài tử cung.
– Các bệnh lý ảnh hưởng đến hình dáng hoặc hoạt động của ống dẫn trứng hoặc các cơ quan sinh sản khác cũng có thể góp phần vào việc xảy ra thai ngoài tử cung.
Ngoài ra, có một số yếu tố nguy cơ bao gồm:
– Lớn tuổi: Phụ nữ lớn tuổi có nguy cơ cao hơn về việc mang thai ngoài tử cung.
Hiểu rõ về nguyên nhân có thai ngoài dạ con để có thể phòng ngừa và điều trị hiệu quả.
– Tiền sử mắc bệnh: Phụ nữ đã từng mang thai ngoài tử cung có nguy cơ 10% để gặp lại tình trạng này trong lần mang thai tiếp theo.
– Nhiễm trùng: Phụ nữ từng bị viêm hoặc nhiễm trùng trên ống dẫn trứng, tử cung hoặc buồng trứng có nguy cơ cao hơn để mang thai ngoài tử cung. Viêm vùng chậu (PID) và viêm vòi trứng là hai bệnh viêm nhiễm ảnh hưởng nghiêm trọng dẫn đến nguy cơ mang thai ngoài tử cung ở nữ giới.
– Mắc các bệnh lý lây truyền qua đường tình dục: Một số bệnh lý nhiễm trùng qua đường tình dục (STDs) như bệnh lậu, chlamydia, … có thể tăng nguy cơ thai làm tổ ngoài tử cung.
– Hút thuốc lá: Thói quen hút thuốc lá cũng được liên kết với việc tăng nguy cơ mang thai ngoài tử cung.
– Đang điều trị vô sinh: Việc sử dụng các loại thuốc kích rụng trứng trong quá trình điều trị vô sinh có thể làm tăng khả năng mang thai ngoài tử cung.
– Các bất thường ở ống dẫn trứng: Sự tồn tại của các bất thường bẩm sinh hoặc sau phẫu thuật trên ống dẫn trứng cũng có thể làm tăng nguy cơ mang thai ngoài tử cung.
– Phẫu thuật vùng chậu trước đây: Quá trình phẫu thuật để lấy thai hoặc cắt bỏ u xơ cũng là các yếu tố nguy cơ gây ra thai ngoài tử cung.
– Sử dụng các biện pháp tránh thai: Việc sử dụng các phương pháp tránh thai như thuốc tránh thai hoặc dụng cụ tránh thai (IUD) có thể tăng nguy cơ mang thai ở ngoài tử cung.
– Thắt ống dẫn trứng: Thủ thuật thắt ống dẫn trứng được thực hiện để ngăn chặn thai ngoài tử cung. Tuy nhiên, việc thực hiện thủ thuật này cũng tăng khả năng mang thai ngoài tử cung nếu sau đó thai phụ này mang thai.
3. Chẩn đoán thai ngoài tử cung
Để xác định có thai ngoài tử cung, các bước sau đây thường được thực hiện
– Kiểm tra triệu chứng và tiến hành kiểm tra cận lâm sàng: Bác sĩ sẽ lắng nghe các triệu chứng của bệnh như đau bên dưới bụng, xuất huyết âm đạo và sử dụng các phương pháp như siêu âm và xét nghiệm máu để đánh giá tình trạng.
– Siêu âm và xét nghiệm hCG: Siêu âm được sử dụng để xác định vị trí và phát triển của phôi, trong khi xét nghiệm hCG (hormone chorionic gonadotropin) đo mức độ hormone trong máu để xác nhận có thai và theo dõi sự phát triển.
Các bác sĩ Thu Cúc TCI đang tiến hành phẫu thuật nội soi loại bỏ thai ngoài tử cung
– Nội soi ổ bụng: Đây là phương pháp chẩn đoán hiện đại, phát hiện một cách nhanh chóng và chính xác thai làm tổ ngoài tử cung.
4. Điều trị thai ngoài tử cung
Phương pháp điều trị được lựa chọn phụ thuộc vào triệu chứng thai phụ, kích thước và tình trạng hiện tại của khối thai. Bác sĩ sẽ đưa ra lời khuyên và hướng dẫn điều trị phù hợp, bao gồm sử dụng thuốc, phẫu thuật nội soi hoặc phẫu thuật mở bụng.
4.1 Điều trị bằng thuốc
Trong trường hợp thai ngoài tử cung được phát hiện sớm, có kích thước nhỏ (đường kính không quá 3cm) và chưa vỡ, phương pháp điều trị thường là sử dụng thuốc.
Thuốc phổ biến được sử dụng là Methotrexate, có tác dụng ngăn chặn sự phân chia và phát triển của tế bào, từ đó khối thai có thể tự tiêu biến sau 4-6 tuần điều trị. Methotrexate được tiêm vào cơ thể. Sau đó, thai phụ sẽ được theo dõi và xét nghiệm HCG để đánh giá hiệu quả điều trị. Trong trường hợp xét nghiệm HCG không đạt kết quả như mong đợi, bác sĩ có thể điều chỉnh liều thuốc hoặc quyết định phẫu thuật tùy thuộc vào từng trường hợp cụ thể.
4.2 Điều trị bằng phẫu thuật
Ngoài phương pháp điều trị bằng thuốc, có những trường hợp thai ngoài tử cung phức tạp hơn và yêu cầu can thiệp phẫu thuật.
– Phẫu thuật nội soi thường được sử dụng để loại bỏ khối thai ngoài tử cung nhỏ và không gây tổn thương lớn cho tử cung. Quá trình này được thực hiện thông qua các ống nội soi được chèn qua các vết cắt nhỏ trên vùng bụng. Hai phương pháp nội soi thông dụng hiện nay là: nội soi mở thông vòi trứng (chỉ loại bỏ khối thai) và nội soi cắt bỏ vòi trứng (loại bỏ cả khối thai lẫn vòi trứng). Việc cắt bỏ ống dẫn trứng thì chị em phụ nữ vẫn có thể mang thai, trường hợp phải cắt bỏ cả hai vòi trứng thì mang thai sẽ dựa trên phương pháp thụ tinh trong ống nghiệm (IVF).
– Phẫu thuật mở bụng: Nếu khối thai đã vỡ hoặc kích thước lớn, phẫu thuật mở bụng có thể được áp dụng để loại bỏ khối thai và khắc phục bất kỳ tổn thương nào trong tử cung.
Hy vọng với những thông tin trên đây sẽ giúp cho chị em phụ nữ hiểu thêm về nguyên nhân có thai ngoài dạ con. Nếu như còn vấn đề nào thắc mắc về trường hợp thai bất thường này, vui lòng liên hệ với Thu Cúc TCI để được các bác sĩ hỗ trợ nhanh chóng.












