Hình ảnh u xơ tử cung trên siêu âm
U xơ tử cung hầu hết là những khối u lành tính, có thể xuất hiện ở bất kỳ vị trí nào trong tử cung. Người bệnh có thể có một hoặc nhiều u xơ với các kích cỡ khác nhau. Để giúp các bạn hiểu hơn về u xơ một cách chân thực nhất, bài viết này sẽ cũng cấp một số hình ảnh u xơ tử cung trên siêu âm mà bạn không nên bỏ qua.
Hình ảnh u xơ tử cung trên siêu âm

U xơ cơ tử cung thành trước tử cung

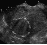
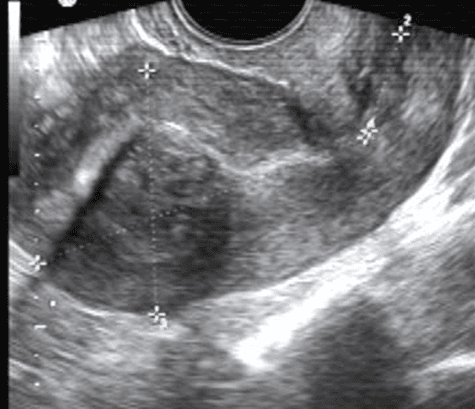
U xơ cơ tử cung thành sau tử cung dưới thanh mạc, tăng âm do thành phần xơ nhiều hơn cơ

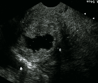
U xơ cơ tử cung dưới niêm mạc lâm sàng thường gây rong kinh, rong huyết

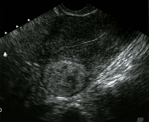
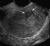
U xơ cơ tử cung trong cơ, u giảm âm do thành phần cơ nhiều hơn xơ trong u

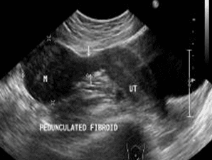
U xơ tử cung có cuống

U xơ tử cung dây chằng rộng

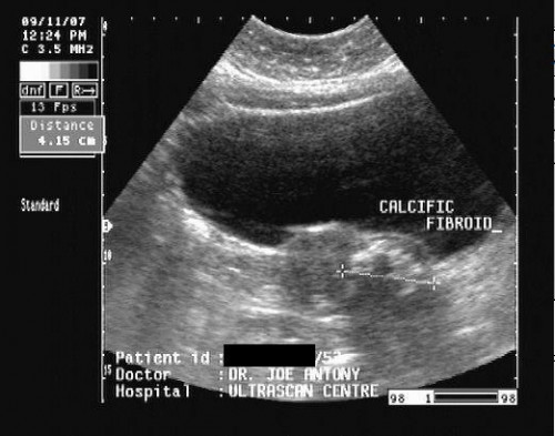
U xơ tử cung bị vôi hóa

U xơ tử cung bị thoái hóa

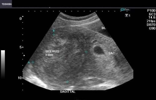
U xơ tử cung và túi thai