Những lưu ý khi nhổ răng số 8 để tránh biến chứng
Tác hại của răng số 8 mọc ngầm, mọc lệch có tác động tiêu cực đến sức khoẻ con người. Do đó, nhổ răng khôn là phương pháp điều trị được bác sĩ khuyến cáo nên thực hiện để ngăn ngừa các nguy cơ gây hại sức khỏe mà răng khôn gây ra. Tuy nhiên, nhiều người lo lắng với việc nhổ răng khôn có thể để lại biến chứng hoặc ảnh hưởng đến thần kinh. Do vậy những thông tin về biến chứng có thể xảy ra và những lưu ý khi nhổ răng số 8 trong bài viết dưới đây rất hữu ích.
1. Những biến chứng có thể gặp sau khi nhổ răng khôn là gì?
Những biến chứng của việc nhổ răng khôn xảy ra ở một số trường hợp bác sĩ nhổ sai kỹ thuật hoặc bệnh nhân không chăm sóc răng miệng đúng cách, cụ thể như sau:
– Dị ứng hoặc sốc thuốc gây tê: đây là biến chứng khó gặp nhưng lại nguy hiểm nhất. Bại não là hậu quả nặng nhất mà bệnh nhân sẽ phải đối mặt nếu không được tiến hành các phương pháp khắc phục kịp thời.
– Chảy máu trong thời gian dài: chảy máu và đau răng số 8 là hiện tượng không thể tránh khỏi sau khi nhổ răng khôn. Tuy nhiên nếu hiện tượng kéo dài không có dấu hiệu thuyên giảm qua từng ngày thì cần phải liên hệ với bác sĩ nha khoa ngay để được điều trị sớm.
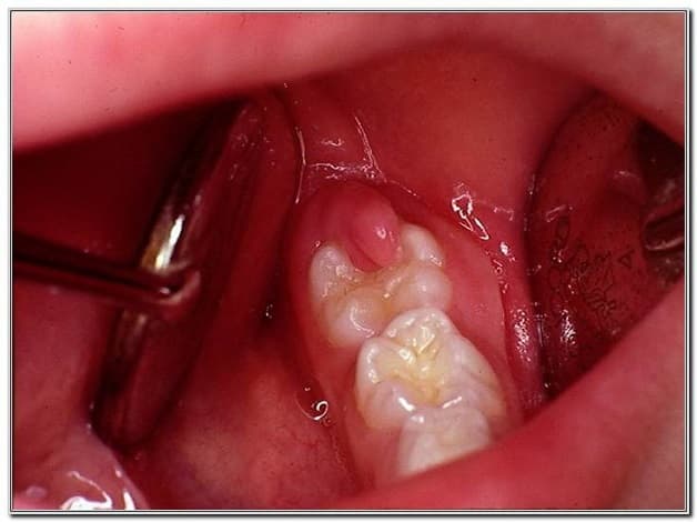
– Nhiễm trùng: thường xảy ra nếu quá trình nhổ không đảm bảo vệ sinh, quy định vô trùng hoặc vệ sinh không đảm bảo. Do vậy, khi nhổ răng khôn cần phải được thực hiện ở phòng khám uy tín lâu năm.
Nhiễm trùng hay xảy ra nếu quá trình nhổ răng không đảm bảo vệ sinh
– Tổn thương thần kinh: đây là biến chứng nhiều người lo ngại nhất, thường xảy ra phổ biến đối với trường hợp răng khôn mọc lệch hoặc bác sĩ nhổ thực hiện sai kỹ thuật, sẽ tác động đến dây thần kinh ở vùng dưới xoang hàm.
– Viêm xương: gặp ở những bệnh nhân có tiền sử bệnh viêm xương hàm trước đó.
2. Một số điều lưu ý sau khi nhổ răng số 8
2.1 Cắn chặt miếng bông gạc
Sau khi nhổ răng khôn, một miếng bông gạc sẽ được đặt vào chỗ nhổ với tác dụng cầm máu. Các nguyên tắc được bác sĩ khuyến khích áp dụng hầu hết bệnh nhân nhổ răng số 8 là:
– Nhiệm vụ bệnh nhân là cắn chặt miếng bông gạc này, tạo lực ép nhất định để làm máu ngừng chảy ra.
– Trong thời gian này, bệnh nhân hạn chế nói chuyện nhiều tránh việc làm miếng bông gạc bị lỏng và cản trở quá trình hình thành cục máu đông tại chỗ nhổ. Nhiều trường hợp phải thay miếng bông gạc vì máu chảy ra quá nhiều, việc này cũng vô tình làm quá trình hình thành máu đông bị chậm hơn so với bình thường.
– Tuyệt đối không được dùng lưỡi hoặc ngón tay tiếp xúc với vết mới nhổ làm tăng nguy cơ chảy máu, nhiễm trùng. thêm vào đó, người bệnh cũng cần hạn chế ho, hắt xì hơi sẽ tạo áp lực lên vết thương, khiến chảy máu trở lại.
2.2 Uống thuốc giảm đau
Đấy là lưu ý quan trọng cho người mới nhổ răng: chỉ nên dùng đúng loại thuốc và liều lượng thuốc được bác sĩ chỉ định trong đơn để đảm bảo quá trình hồi phục diễn ra nhanh chóng, không có tình huống phụ nào xảy ra.
Chỉ nên dùng đúng loại thuốc và liều lượng thuốc được bác sĩ chỉ định trong đơn để đảm bảo quá trình hồi phục diễn ra an toàn
2.3 Cách sử dụng đá để chườm
Chườm túi đá cũng là một trong những cách hình thành cục máu đông nhanh hơn. Cách làm là bệnh nhân lấy túi nước đa, áp lên mặt, phía ngoài vết nhổ trong khoảng 10-20 phút. Việc này có tác dụng cầm máu nhanh, làm co các mạch máu, giảm sưng hiệu quả. Tuy nhiên cách này chỉ nên áp dụng trong khoảng 24h sau khi nhổ răng xong, những ngày còn lại nên sử dụng khăn ấm để chườm nhằm lưu thông mạch máu, giúp vết thương lành nhanh chóng.
2.4 Chườm bằng trà
Trong trà (chè) có chứa axit tannic có khả năng hình thành cục máu đông rất nhanh. Nếu bệnh nhân sau 1 tiếng khi nhổ vẫn có hiện tượng máu chảy rỉ thì đặt túi trà ẩm trực tiếp lên chỗ nhổ răng và cắn chặt lại trong vòng 30 phút để tạo lực ép lên vết nhỏ, không cho máu chảy ra.
2.5 Dùng nước muối để súc miệng
Đây là cách để vệ sinh răng miệng vào ngày hôm sau sau khi nhổ răng khôn. Người bệnh có thể dùng nước muối sinh lý dung dịch Natri Clorid 0,9% bán sẵn hoặc tự pha nước muối ấm. Một lưu ý khi súc miệng là thực hiện một cách chậm rãi, nhẹ nhàng để không tạo áp lực lên vết thương. Chỉ nên dùng lưỡi đưa qua đưa lại sau đó nhổ ra từ từ, tránh tác động đến vùng máu đông. Thực hiện súc miệng liên tiếp 4-5 lần/ngày vào thời gian sau để đảm bảo vệ sinh khoang miệng.
Khi vệ sinh răng cũng nên hạn chế đưa bàn chải gần vết nhổ tránh làm tổn thương nhất có thể.
2.6 Nghỉ ngơi nhiều hơn
Nhiều người không để ý đến việc nghỉ ngơi sau khi nhổ răng mà không biết rằng việc nghỉ ngơi đầy đủ làm ổn định huyết áp và tạo điều kiện cho máu đông nhanh. Bác sĩ khuyến cáo người bệnh không tham gia bất cứ hoạt động thể chất nào ít nhất sau 24 tiếng. Thêm vào đó, việc kê gối cao khi nằm được sử dụng nhiều sau khi nhổ răng nhằm mục đích để máu không bị ứ đọng trong vết thương.
Kê gối cao khi nằm là một trong những lưu ý sau khi nhổ răng số 8 nhằm mục đích để máu không bị ứ đọng trong vết thương.
2.7 Lưu tâm đến chế độ ăn là một trong những lưu ý khi nhổ răng số 8
Đây là một trong những điều phải đặc biệt lưu ý để vết thương mau lành và không bị nhiễm trùng. Người bệnh nên đợi hết thuốc tê mới bắt đầu ăn và tuân thủ nguyên tắc sau:
– Ăn các thực phẩm mềm, lỏng, nguội như cháo, súp, nước hầm,… Tránh những thựuc phẩm giòn, cứng, dai sẽ làm tổn thương đến vết nhổ.
– Không dùng ống hút vì có nguy cơ cao làm bật cục máu đông ra ngoài lợi.
– Tránh các sản phẩm có chứa caffeine, có cồn, các loại nước ngọt đặc biết không được hút thuốc lá ít nhất 24 tiếng sau khi nhổ răng khôn.
Trên đây là những lưu ý mà tất cả bệnh nhân sau khi nhổ răng khôn cần phải tuân thủ để đảm bảo quá trình hồi phục diễn ra nhanh chóng đồng thời hạn chế được những biến chứng nghiêm trọng tới sức khoẻ người bệnh.


















