Đắp răng thẩm mỹ và những điều cần biết
Đắp răng thẩm mỹ (đắp răng sứ) là kĩ thuật làm đẹp hàm răng hiện đại và tân tiến hiện nay. Với kỹ thuật này, người điều trị sẽ khắc phục được các nhược điểm như răng bị sâu, bị sứt mẻ, các khe thưa và đem đến hàm răng trắng đẹp như ý.
1. Thông tin về việc đắp răng sứ
1.1 Các loại đắp răng thẩm mỹ
Đắp răng sứ là kỹ thuật đính lên mặt ngoài của răng một lớp sứ mỏng nhằm che đi những khuyết điểm đang có. Hiện nay có 3 loại đắp răng sứ phổ biến là:
– Đắp khe răng thưa: bác sĩ nha khoa sẽ giảm khoảng hở của các khe thưa bằng cách tăng kích thước giữa các răng, từ đó cải thiện thẩm mỹ của hàm răng. Ngoài việc nâng cao thẩm mỹ cho hàm răng, phương pháp này còn ngăn ngừa bệnh sâu răng hiệu quả.
Đắp khe răng thưa, bác sĩ nha khoa sẽ giảm khoảng hở của các khe thưa bằng cách tăng kích thước giữa các răng, từ đó cải thiện thẩm mỹ của hàm răng
– Đắp composite: là phương pháp tạo hình một thân răng giả giống với chiếc răng bị gãy sử dụng chất liệu composite. Phương pháp này sẽ có độ bền khá cao do sử dụng chất liệu dẻo composite.
– Đắp răng khểnh: là kĩ thuật tạo một chiếc răng mới bằng chất liệu nhân tạo ở vị trí răng số 3, theo hướng hơi chếch lên so với các răng còn lại trên toàn hàm, tạo ra chiếc răng khểnh duyên dáng.
1.2 Ưu điểm việc đắp răng thẩm mỹ
Hiện nay, đắp răng sứ là phương pháp thẩm mỹ nha khoa được ưa chuộng với những ưu điểm vượt trội sau đây:
– Khắc phục nhanh các tình trạng xấu của răng như răng sứt, mẻ hoặc bị ố vàng và mang đến hiệu quả thẩm mỹ cao. Do mặt sứ sử dụng rất mỏng dùng để đắp che bên ngoài răng thật, vừa tiết kiệm và thời gian thực hiện nhanh.
– Độ bền cao, chịu lực tốt dù chỉ là một lớp sứ mỏng được phục hình bên ngoài răng. Bởi vì mặt răng giả được làm từ sứ chắc chắn, có thể nung ở nhiệt độ cao nên chịu được lực. Nếu được chăm sóc đúng cách, độ bền sẽ lên tới 15-20 năm.
– Đảm bảo khả năng ăn nhai, cắn vẫn bình thường, thoải mái ăn nhiều loại thực phẩm khác nhau mà không lo nứt vỡ. Do sứ được đắp lên răng thật bằng một loại keo dán chuyên dụng có khả năng bám dính rất tốt.
– Đây là kỹ thuật hạn chế tối đa việc mài răng thật như khi bọc răng. Thay vì mài răng thật nhiều nhằm mục đích đặt các mão răng nhu khi bọc răng thì đắp răng chỉ cần mài một lượng nhỏ. Bác sĩ chỉ bọc một lớp sứ mỏng khoảng 0,3mm bên ngoài nên hạn chế tối đa việc xâm lấn vào răng thật. Đây cũng là ưu điểm vượt trội nhất của phương pháp đắp răng sứ thẩm mỹ.
– Người bệnh không cần phải lấy tủy răng, do đó sẽ không có cảm giác ê buốt răng trong quá trình mài đồng thời bảo vệ răng thật một cách tốt nhất.
Đắp răng thẩm mỹ có nhiều ưu điểm vượt trội như độ bền cao, chắc chắn, không tổn hại đến răng thật,…
1.3 Nhược điểm của đắp răng thẩm mỹ
Bất kỳ một phương pháp thẩm mỹ răng nào cũng đều sẽ có những ưu và nhược điểm khác nhau. Bên cạnh những ưu điểm vượt trội bên trên thì đắp răng sứ cũng có những mặt hạn chế riêng. Do chỉ sử dụng một lớp sứ mỏng gắn bên ngoài nên đắp răng sứ chi dành cho những trường hợp nhất định. Phương pháp này chỉ khắc phục về mặt thẩm mỹ cho hàm răng hoặc răng bị hư hỏng ở mức độ nhẹ. Những trường hợp răng bị hư hỏng nặng hoặc mất răng sẽ không sử dụng được kỹ thuật này.
2. Quy trình đắp răng sứ thẩm mỹ
Quy trình đắp răng sứ thẩm mỹ có những bước cơ bản như sau:
– Bước 1. Kiểm tra răng và chụp X quang để bác sĩ có thể xác định chính xác tình trạng răng miệng cũng như là mức độ hư tổn để đưa ra biện pháp khắc phục hợp lý.
– Bước 2. Lập kế hoạch đắp răng sứ: lựa chọn loại răng sứ, thời gian, số lượng răng, chi phí… Thông thường sau khi thăm khám xong bác sĩ điều trị sẽ tư vấn trực tiếp về vấn đề này.
– Bước 3. Vệ sinh khoang miệng để đảm bảo răng được sạch sẽ trước khi thực hiện đắp răng sứ. Bác sĩ sẽ vệ sinh miệng và cạo vôi răng, việc này giúp tăng hiệu quả phục hình và cho kết quả bền lâu.
– Bước 4. Gây tê và mài răng theo tỉ lệ phù hợp để đắp mặt sứ lên răng. Để hạn chế tình trạng khó chịu, đau nhức trong quá trình làm, người bệnh sẽ được gây tiêm thuốc gây tê.
– Bước 5. Lấy dấu mẫu hàm và thiết kế mặt răng sứ. Bước này sẽ được sử dụng công nghệ Scan 3D hiện đại và chế tạo ra mặt răng sứ.
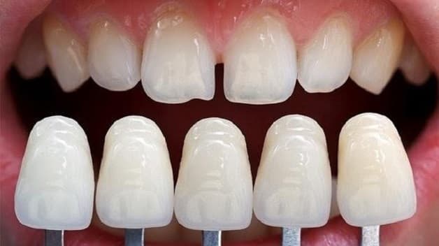
– Bước 6. Đắp sứ lên mặt trước của răng sao cho chuẩn đẹp nhất và chắc chắn nhất.
Sau những bước cơ bản này, bác sĩ chuyên khoa sẽ tiến hành kiểm tra khả năng chịu lực của răng mới nhằm đảm bảo kết quả đắp răng sứ. Ngoài ra, bác sĩ sẽ tư vấn cách chăm sóc răng miệng đúng chuẩn để giúp duy trì độ bền chắc, lâu dài.
Bác sĩ sẽ thực hiện đắp sứ lên mặt trước của răng sao cho chuẩn đẹp nhất và chắc chắn nhất
3. Lưu ý sau khi đắp răng sứ
Để không làm ảnh hưởng đến răng thật cũng như là răng sứ vừa mới đắp, trong khoảng 48 giờ sau khi thực hiện, chỉ nên ăn những loại thức ăn lỏng, mềm, không cứng, không quá lạnh hoặc quá nóng… Nếu không thực hiện đúng những chiếc răng sứ mới lắp rất dễ bị rơi ra ngoài.
Bên cạnh đó, những loại thức ăn dẻo, dễ dính vào răng như kẹo, bánh, các loại hạt,… thì cũng không nên sử dụng. Bởi khi đó sẽ gặp khó khăn trong quá trình làm sạch răng, lâu ngày chiếc răng đắp sứ sẽ xuất hiện tình trạng viêm nướu hoặc viêm nha chu cực nguy hiểm.
Ngoài những loại thức ăn trên thì đồ uống coa màu sẫm hay thuốc lá cũng nằm trong danh sách nên tránh vì có thể khiến răng mới bị hư hỏng, xỉn màu,…
Trên đây là những điều nên cần biết về đắp răng thẩm mỹ. Phương pháp này có những ưu điểm và nhược điểm như thế nào, quy trình thực hiện ra sao sẽ giúp cho người đang có ý định phục hình răng thẩm mỹ thêm thông tin để chọn lựa phương pháp điều trị cho chính xác.


















