Cấp cứu:0901793122
English
Bệnh Viện Đa Khoa Quốc Tế Thu Cúc | TCI Hospital
Chăm sóc sức khoẻ trọn đời cho bạn
Tổng đài1900558892
Răng hàm mặt

Răng hàm mặt

Trang chủ/Sống khỏe/Răng hàm mặt
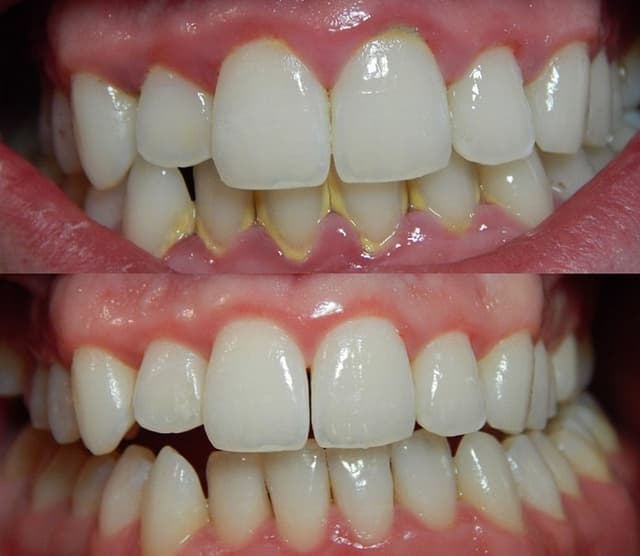
Răng bị mảng bám vàng thì phải làm sao?

Răng bị mảng bám vàng thì phải làm sao?

Răng bị mảng bám vàng là tình trạng phổ biến mà hầu như mọi người đều gặp phải nhưng không phải ai cũng biết cách điều trị, phòng ngừa hiệu quả để tình trạng này không diễn tiến nặng hơn. 1. Răng bị mảng bám vàng là như thế nào? Mảng bám là lớp màng […]
Bệnh viêm quanh cuống răng tuyệt đối đừng coi thường

Bệnh viêm quanh cuống răng tuyệt đối đừng coi thường

Bệnh viêm quanh cuống răng là bệnh lý có thể để lại những hệ lụy nguy hiểm đến sức khỏe người bệnh điển hình là áp xe răng, thậm chí biến chứng toàn thân nếu không được phát hiện sớm và can thiệp y tế kịp thời. Do vậy, việc tìm hiểu nguyên nhân dẫn […]
Niềng răng không mắc cài 3D Clear được dùng thế nào?

Niềng răng không mắc cài 3D Clear được dùng thế nào?

Niềng răng không mắc cài 3D Clear là một kỹ thuật chỉnh nha hiện đại, khắc phục nhiều nhược điểm của các phương pháp niềng răng truyền thống và được nhiều khách hàng tin tưởng lựa chọn. 1. Niềng răng không mắc cài 3D Clear là phương pháp gì? Phương pháp 3D Clear sử dụng […]
Top 6 cách tẩy trắng răng bằng baking soda hiệu quả nhất

Top 6 cách tẩy trắng răng bằng baking soda hiệu quả nhất

Baking soda được coi là một nguyên liệu “đa năng” khi mang đến rất nhiều lợi ích cho đời sống. Và một trong số đó là công dụng tẩy trắng răng. Bài viết dưới đây sẽ bật mí những cách tẩy trắng răng bằng baking soda hiệu quả nhất, hãy theo dõi nhé. 1. Baking […]
Trẻ bị mưng mủ ở lợi có nguy hiểm không?

Trẻ bị mưng mủ ở lợi có nguy hiểm không?

Theo nghiên cứu, trẻ em là đối tượng rất dễ mắc các bệnh lý liên quan đến răng miệng. Trong đó, mưng mủ ở lợi là một triệu chứng phổ biến. Vậy phụ huynh cần phải làm gì để xử lý tình trạng trẻ bị mưng mủ ở lợi? Hãy theo dõi những thông tin […]
Làm sao để “đối phó” với tình trạng nhổ răng khôn bị sốt?

Làm sao để “đối phó” với tình trạng nhổ răng khôn bị sốt?

Nhổ răng khôn bị sốt là một trong những biến chứng có thể gặp sau khi thực hiện tiểu phẫu nhổ răng. Vậy phải làm sao để “đối phó” tình trạng này? 1. Tại sao nhổ răng khôn lại bị sốt? 1.1 Nha sĩ tay nghề kém Nếu lựa chọn nhổ răng khôn tại các cơ […]
Nhiệt miệng thiếu vitamin gì và cách bổ sung hiệu quả

Nhiệt miệng thiếu vitamin gì và cách bổ sung hiệu quả

Nhiệt miệng là hiện tượng thường gặp ở mọi đối tượng, gây cảm giác đau nhức và khó chịu. Hiện tượng này có thể tự khỏi sau vài ngày nếu người bệnh chăm sóc đúng cách. Tuy nhiên, khi nhiệt miệng xảy ra có thể báo hiệu về tình trạng cơ thể đang thiếu một […]
Khi nào cha mẹ cần niềng răng cho trẻ?

Khi nào cha mẹ cần niềng răng cho trẻ?

Niềng răng cho trẻ là vấn đề mà nhiều phụ huynh quan tâm với mong muốn con em mình có hàm răng khỏe đẹp như ý muốn. Vậy khi nào trẻ cần niềng răng, niềng răng ở thời điểm nào thích hợp và có những lựa chọn gì? 1. Vì sao việc niềng răng cho […]
Răng bị bể lớn có bọc sứ được không?

Răng bị bể lớn có bọc sứ được không?

Răng bị bể lớn có bọc sứ được không là câu hỏi nhiều bạn quan tâm khi không may bị chấn thương hoặc vì lý do nào đó răng bị tổn hại. Vậy trường hợp này có thể bọc sứ hay không? 1. Răng bể lớn do đâu? Răng bị bể lớn có bọc sứ […]
Những phương pháp hiệu quả nhất điều trị chân răng bị vàng

Những phương pháp hiệu quả nhất điều trị chân răng bị vàng

Chân răng bị vàng là tình trạng nhiều người gặp phải, gây mất thẩm mỹ và mùi hôi khó chịu khiến người bệnh mất tự tin. Bài viết dưới đây sẽ giúp bạn có được những cách khắc phục hiệu quả tình trạng này nhé. 1. Nguyên nhân gây chân răng vàng – Sau khi […]
Bệnh loét niêm mạc miệng: những điều cần biết

Bệnh loét niêm mạc miệng: những điều cần biết

Bệnh loét niêm mạc miệng có thể xảy ra ở mọi độ tuổi và không phải bệnh gây nguy hại đến tính mạng của người bệnh. Nếu tình trạng bệnh được phát hiện sớm và điều trị kịp thời thì các vết loét nhanh chóng lành lại và không gây khó khăn cho người bệnh. […]
Nhổ 2 răng khôn cùng lúc có hại cho sức khoẻ không?

Nhổ 2 răng khôn cùng lúc có hại cho sức khoẻ không?

Một người bình thường có thể có đủ 4 răng khôn và không ít người đã gặp những tình huống oái oăm 2 răng không cùng mọc, gây đau đớn và bất tiện trong cuộc sống. Vậy nhổ 2 răng khôn cùng lúc có hại cho sức khoẻ không? 1. Tổng quan về răng khôn […]
Điểm danh ba phương pháp trồng răng giả ưu việt hiện nay

Điểm danh ba phương pháp trồng răng giả ưu việt hiện nay

Trồng răng giả là một phương pháp phổ biến giúp khắc phục những khuyết điểm trên hàm răng khi không may răng bị mất. Vậy hiện nay những phương pháp trồng răng giả nào ưu việt nhất? 1. Khi nào nên trồng răng giả? Trồng răng giả là phương pháp hiệu quả nhất cho người […]
Bị hôi miệng: mách bạn 8 cách “đẩy lùi” nhanh chóng

Bị hôi miệng: mách bạn 8 cách “đẩy lùi” nhanh chóng

Bị hôi miệng có thể gây ra lo lắng và khó chịu cho người bệnh. Không những vậy, nó còn ảnh hưởng đến việc giao tiếp hàng ngày, làm người bệnh thiếu tự tin khi nói chuyện, chất lượng cuộc sống cũng từ đó giảm sút. Nhưng chứng hôi miệng hoàn toàn có thể bị […]
Răng số 8 có nên nhổ không? Có những phương pháp nhổ răng nào?

Răng số 8 có nên nhổ không? Có những phương pháp nhổ răng nào?

Khi nghe đến thuật ngữ răng số 8 (răng khôn), nhiều người thường có suy nghĩ phải nhổ ngay loại răng này đi để không ảnh hưởng đến sức khoẻ răng miệng. Nhưng thực tế liệu răng số 8 có nên nhổ không? Cùng khám phá lời giải đáp trong bài viết dưới đây nhé. […]
Bọc răng sứ là gì? Quy trình bọc răng sứ diễn ra như thế nào?

Bọc răng sứ là gì? Quy trình bọc răng sứ diễn ra như thế nào?

Hiện nay, có rất nhiều phương pháp để khắc phục khuyết điểm của răng trong đó bọc răng sứ là một phương pháp được khách hàng ưa chuộng hơn cả. Vậy bọc răng sứ là gì và quy trình được thực hiện như thế nào? 1. Tổng quan về bọc răng sứ 1.1 Bọc răng […]
1900558892
zaloChat