Có nên nhổ răng hàm không, thắc mắc đã có lời giải đáp
Răng hàm là răng có vai trò rất quan trọng trong cung hàm trong việc đảm bảo khả năng ăn nhai cũng như đảm bảo tính thẩm mỹ cao cho gương mặt. Vậy có nên nhổ răng hàm không? Trường hợp nào cần phải nhổ răng hàm?
1. Răng hàm là răng nào?
Răng hàm là những răng số 6,7,8 tính từ răng cửa vào, mọc ở vị trí trong cùng của hàm. Răng hàm cũng có cấu trúc như các răng bình thường bao gồm thân răng và cổ răng, được ngăn cách với nhau bởi chân răng. Còn về cấu tạo, răng hàm cũng gồm 3 phần là men răng, ngà răng và tuỷ răng. Riêng răng hàm thứ 3 (các răng số 8 hay còn gọi là răng khôn) là những răng mọc lên nhưng không có chức năng gì, ngược lại còn gây ra nhiều bệnh lý răng miệng nên thường được chỉ định nhổ bỏ.
Răng hàm là những răng số 6,7,8 tính từ răng cửa vào, mọc ở vị trí trong cùng của hàm
2. Vai trò của răng hàm
– Có vai trò quan trọng trong việc cắn, xé, nhai hay nghiền thức ăn. Nhờ có răng hàm, thức ăn sẽ được nghiền nhỏ, trộn đều lên với men trong nước bọt, trước khi đi sâu vào cơ thể và di chuyển đến các cơ quan khác.
– Giúp cấu tạo nên tính hài hoà, cân đối và tính thẩm mỹ cao cho gương mặt.
– Khi bạn có được bộ răng đầy đủ thì việc phát âm sẽ được chuẩn xác và rõ chữ. Những người bị mất răng hàm thường phát âm bị khó nghe và không chính xác.
3. Nguyên nhân cần phải nhổ răng hàm
Thông thường, răng hàm rất ít khi được chỉ định nhổ. Bác sĩ sẽ chỉ nhổ răng hàm trong các trường hợp như:
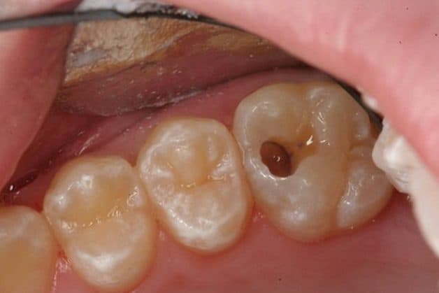
3.1 Bị sâu răng hàm nặng
Trường hợp người bệnh bị sâu răng hàm, đầu tiên bác sĩ sẽ thăm khám để xem có thể thực hiện các biện pháp như hàn hay bọc răng sứ hay không. Nếu các phương pháp này không hiệu quả thì chỉ định nhổ răng mới được đưa ra. Nếu sâu răng hàm không được điều trị sớm sẽ dễ dẫn đến việc vi khuẩn lây lan sang những răng bên cạnh và gây các bệnh lý răng miệng nghiêm trọng.
Nếu tình trạng răng hàm sâu không nghiêm trọng, bác sĩ sẽ tư vấn cho bệnh nhân bọc sứ hoặc hàn răng
3.2 Răng khôn mọc gây ảnh hưởng
Trường hợp răng hàm số 3 (răng khôn) không mọc bình thường và thuộc những trường hợp sau đây thì bác sĩ sẽ chỉ định nhổ bỏ:
– Răng khôn gây ra những biến chứng đau nhức, tình trạng u nang, nhiễm trùng tái phát và gây ảnh hưởng đến răng bên cạnh.
– Có khe giắt giữa răng khôn và những răng bên cạnh để phải nhổ bỏ để ngăn ngừa biến chứng.
– Răng khôn không có răng đối diện ăn khớp, khiến cho răng trồi dài và dâm gây lở loét nướu đối diện.
– Răng khôn mọc và bị các bệnh lý như viêm nha chu, sâu răng.
– Bệnh nhân cần nhổ răng khôn để thực hiện niềng răng, trồng răng giả, thẩm mỹ răng…
– Răng khôn chính là nguyên nhân dẫn đến các bệnh toàn thân.
3.3 Răng hàm mắc các bệnh lý viêm nha chu, viêm chân răng….
Trường hợp khu vực răng hàm mắc các bệnh lý về tuỷ răng nặng, có ảnh hưởng tới chân răng khiến cho chân răng có hiện tượng lung lay, nhiễm trùng và mắc các bệnh lý răng miệng thì nhổ bỏ là giải pháp hiệu quả nhất để điều trị.
4. Nhổ răng hàm có ảnh hưởng gì không?
“Có nên nhổ răng hàm không” là băn khoăn của rất nhiều khách hàng vì sợ gặp phải những biến chứng sau khi nhổ răng
“Có nên nhổ răng hàm không” là băn khoăn của rất nhiều khách hàng. Theo bác sĩ, nhổ răng hàm là một tiểu phẫu không quá phức tạp tuy nhiên để đảm bảo được yếu tố an toàn và hiệu quả bạn cần phải xem xét các yếu tố để lựa chọn cơ sở nha khoa uy tín như: cơ sở đó có được Sở y tế cấp phép không, có được nhiều khách hàng tin tưởng lựa chọn không, có quy tụ đội ngũ y bác sĩ răng hàm mặt giỏi không hay có hệ thống trang thiết bị máy móc nhập khẩu từ các nước có nền nha khoa hàng đầu không. Nếu những yếu tố trên được đảm bảo thì việc nhổ răng hàm sẽ không gây bất cứ ảnh hưởng gì. Ngược lại, nếu bạn chọn những cơ sở nha khoa không uy tín thì có rất nhiều biến chứng nguy hiểm xảy ra sau khi nhổ răng như: chảy máu kéo dài, khả năng nhiễm trùng cao hay ảnh hưởng lớn đến dây thần kinh.
5. Các phương pháp nhổ răng hàm
5.1 Phương pháp truyền thống
Đây là phương pháp đầu tiên ra đời với việc sử dụng những dụng cụ đơn giản như dao rạch, kìm và bẩy đã được tiệt trùng để đưa răng khôn ra ngoài. Mặc dù có chi phí rẻ nhưng phương pháp này có thể gây ra hiện tượng chảy máu, biến chứng và gây đau.
5.2 Phương pháp sóng siêu âm Piezotome
Đây là phương pháp nhổ răng hàm tân tiến nhất được nhiều khách hàng lựa chọn hiện nay với tiêu chí 3 không: Không đau đớn – không chảy máu – không biến chứng nhờ vào việc sử dụng mũi khoan mỏng và mảnh nhẹ nhàng bóc tách chân răng và đưa răng hàm ra ngoài.
Nhổ răng hàm bằng sóng siêu âm Piezotome là phương pháp tân tiến nhất hiện nay
Với bài viết trên, hy vọng chúng tôi đã cung cấp những thông tin hữu ích để giải đáp thắc mắc “có nên nhổ răng hàm“. Cần lưu ý, để không gây ra biến chứng hay những hệ quả nghiêm trọng khác, cần phải lựa chọn cơ sở nha khoa uy tín để thực hiện nhé.


















