Có nên nhổ răng sâu không hay có thể giữ lại?
Răng sâu là một trong những tình trạng phổ biến mà bất cứ độ tuổi nào cũng có thể gặp phải. Tuy nhiên nhiều trường hợp răng vĩnh viễn bị sâu khiến người bệnh phân vân có nên nhổ răng sâu không. Hãy cùng tìm hiểu trong bài viết dưới đây để có được câu trả lời chi tiết nhất nhé.
1. Tổng quan về sâu răng
1.1 Sâu răng là tình trạng gì?
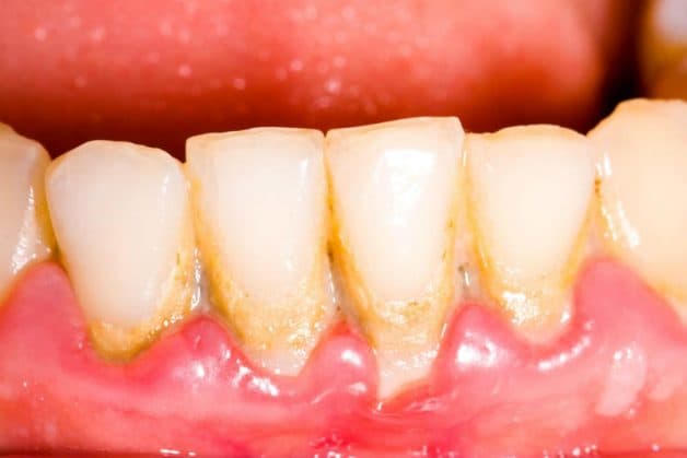
Sâu răng là tình trạng mô cứng của bạn bị tổn thương do vi khuẩn ở các mảng bám gây ra. Đây là bệnh lý về răng miệng phổ biến nhất trên thế giới, đặc biệt là trẻ em, thanh thiếu niên và người lớn tuổi. Nếu không được điều trị sớm, bệnh lý này sẽ càng nặng hơn và gây ảnh hưởng đến các lớp bên trong của răng. Chúng có thể gây ra đau răng, nhiễm trùng nghiêm trọng và mất răng.
Sâu răng là tình trạng mô cứng của bạn bị tổn thương do vi khuẩn ở các mảng bám gây ra
1.2 Dấu hiệu của sâu răng
Những dấu hiệu sau sẽ cho thấy bạn đang bị sâu răng:
– Hơi thở có mùi hôi khó chịu.
– Trên răng xuất hiện những đốm đen, răng ngả màu nâu hoặc vàng.
– Có những lỗ sâu to hoặc nhỏ tuỳ vào mức độ bệnh lý.
– Bị chảy máu khi dùng bàn chải tác động đến khu vực sâu.
– Bị đau răng, tự nhiên đau hoặc khi cắn khi đau.
– Răng bị nhạy cảm khi ăn uống đồ ngọt, đồ nóng lạnh.
2. Nguyên nhân dẫn đến tình trạng răng sâu
Quá trình răng sâu phát triển sẽ bắt đầu từ việc hình thành mảng bám, axit từ mảng bám bắt đầu phá huỷ răng và từ đó sâu răng hình thành.
2.1 Mảng bám
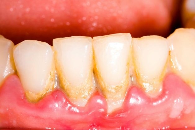
Mảng bám tồn tại dưới dạng mảng dính bao phủ răng do người bệnh ăn các thực phẩm có chứa đường, tinh bột tuy nhiên lại không làm sạch răng hoàn toàn. Chính vì vậy, vi khuẩn sẽ nhanh chóng xâm nhập và hình thành nên các mảng bám. Sau một thời gian dài, mảng bám không được làm sạch sẽ tạo nên cao răng (vôi răng).
Mảng bám không được làm sạch sẽ khiến vi khuẩn xâm nhập vào và phá huỷ men răng
2.2 Axit trong mảng bám
Trong các mảng bám có chứa axit, đây chính là nguyên nhân loại bỏ các khoáng chất trong men răng cứng, bên ngoài của răng. Việc xói mòn này sẽ hình thành nên các lỗ nhỏ hoặc các lỗ trên men răng. Đây chính là dấu hiệu đặc trưng của sâu răng giai đoạn đầu. Men răng bị bào mòn sẽ “mở đường” cho vi khuẩn và axit đến lớp ngà răng. Ngà răng mềm hơn và có khả năng kháng axit yếu hơn men răng. Bên cạnh đó, người bệnh sẽ có cảm giác ê buốt, đau nhức vì ống nhỏ của ngà răng tiếp xúc trực tiếp với dây thần kinh gây nhạy cảm.
2.3 Sâu răng phát triển
Vi khuẩn và axit tiếp tục di chuyển qua răng, di chuyển bên cạnh vật liệu răng bên trong tuỷ có chứa dây thần kinh và mạch máu. Điều này dẫn đến buồng tuỷ bị sưng lên và kích thích từ vi khuẩn. Do không có chỗ để vết sưng mở rộng trong răng, dây thần kinh sẽ chèn ép và gây nên tình trạng đau răng.
3. Có nên nhổ răng sâu không hay có thể giữ lại?
Bạn cần đến thăm khám để bác sĩ xác định mức độ sâu răng và chỉ định thực hiện phương pháp phù hợp
Với sự tiến bộ của nha khoa hiện đại, có rất nhiều phương pháp để điều trị răng sâu, chính vì vậy bạn cần đến thăm khám để bác sĩ xác định mức độ sâu răng và chỉ định thực hiện phương pháp phù hợp. Những trường hợp được chỉ định nhổ răng phải kể đến như: răng sâu quá lớn chỉ còn lại mỗi chân răng, răng lung lay do bị viêm nha chu, răng khôn mọc kẹt, răng mọc lệch gây tai biến hoặc phải nhổ bớt răng để có thể điều trị chỉnh hình….
4. Các biện pháp điều trị sâu răng
4.1 Trám răng (hàn răng)
Đây là phương pháp được lựa chọn khi sâu răng đã bắt đầu tiến triển vượt qua giai đoạn sớm nhất. Có rất nhiều chất liệu trám đa dạng khác nhau trong đó composite là chất liệu nổi bật nhất với màu sắc tự nhiên, độ bền cao và lành tính với cơ thể.
4.2 Bọc răng sứ
Đối với những răng bị sâu rộng hoặc yếu thì người bệnh cần phải tiến hành bọc răng sứ bằng một lớp phủ toàn bộ lên bề mặt thân răng. Mão răng sứ cũng đa dạng đến từ các nước có nền nha khoa hàng đầu như Hàn, Đức, Mỹ, Nhật Bản….Tại các cơ sở nha khoa uy tín, bọc răng sứ sẽ được cấp giấy bảo hành lên đến 10 năm để khách hàng có thể hoàn toàn an tâm về chất lượng sản phẩm.
4.3 Nhổ răng
Khi răng bị sâu nghiêm trọng thì đây là phương pháp cuối cùng sẽ thực hiện. Trường hợp nếu răng nhổ đi là răng vĩnh viễn thì sau khi nhổ bạn có thể lựa chọn cấy ghép răng implant để thay thế răng đã mất.
Bọc răng sứ là một trong những phương pháp giúp điều trị tình trạng sâu răng
Hy vọng bài viết trên của chúng tôi đã mang đến những thông tin hữu ích về chủ đề “Có nên nhổ răng sâu“. Nếu có bất kỳ thắc mắc gì xoay quanh chủ đề này, bạn có thể đến các cơ sở nha khoa uy tín để được bác sĩ tư vấn nhé.


















