Vì sao răng bị viêm tủy?
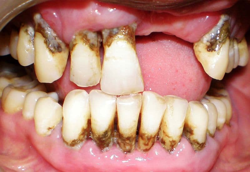
Răng bị viêm tủy là tình trạng không hiếm gặp trong thực hành nha khoa và được xem là một trong những nguyên nhân gây đau răng dữ dội nhất. Trong các tài liệu y khoa của Cleveland Clinic, viêm tủy răng được mô tả là hiện tượng mô tủy bên trong răng bị viêm do vi khuẩn, chấn thương hoặc kích thích kéo dài, trực tiếp ảnh hưởng đến dây thần kinh và mạch máu trong răng. Ở giai đoạn đầu, răng bị viêm tủy có thể chỉ gây ê buốt nhẹ, nhưng nếu không điều trị kịp thời, cơn đau sẽ ngày càng dữ dội, lan sang tai, thái dương và ảnh hưởng nghiêm trọng đến sinh hoạt hàng ngày. Việc hiểu rõ nguyên nhân và cách phòng ngừa giúp giảm nguy cơ viêm tủy, góp phần bảo tồn răng thật lâu dài.
1. 5 nguyên nhân viêm tủy răng phổ biến nhất
Các nghiên cứu và hướng dẫn lâm sàng trong nha khoa cho thấy viêm tủy răng không xuất hiện một cách ngẫu nhiên mà thường là hậu quả của quá trình tổn thương răng diễn ra trong thời gian dài. Mỗi nguyên nhân đều có cơ chế riêng khiến vi khuẩn hoặc kích thích xâm nhập vào buồng tủy.
1.1. Sâu răng tiến triển
Một trong những nguyên nhân được nhắc đến nhiều nhất là sâu răng tiến triển. Theo nội dung chuyên môn từ Cleveland Clinic, khi sâu răng không được can thiệp kịp thời, vi khuẩn sẽ dần phá hủy men và ngà răng, từ đó xâm nhập vào tủy và khởi phát phản ứng viêm gây đau nhức.
Cùng quan điểm này, WebMD phân tích rằng sâu răng chính là con đường xâm nhập phổ biến nhất của vi khuẩn vào buồng tủy, đặc biệt trong những trường hợp người bệnh chủ quan với các lỗ sâu nhỏ chưa gây đau rõ rệt.

1.2. Răng bị viêm tủy do chấn thương (răng nứt, vỡ)
Bên cạnh sâu răng, chấn thương răng cũng được xem là yếu tố nguy cơ quan trọng. Tài liệu tổng hợp từ Medicover Hospitals cho thấy các chấn thương do tai nạn hoặc thói quen nghiến răng có thể gây nứt, vỡ răng. Những tổn thương này dù không gây sâu răng nhưng vẫn tạo điều kiện cho vi khuẩn xâm nhập và dẫn đến viêm tủy.
1.3. Mòn men răng
Một nguyên nhân khác thường bị bỏ qua là mòn men răng khiến cấu trúc bảo vệ của răng suy yếu, từ đó làm tăng nguy cơ tổn thương tủy. Theo phân tích của một trong những trung tâm y tế uy tín nhất tại Mỹ – Cleveland Clinic, men răng có thể mòn dần do tác động kéo dài của axit trong đồ ăn thức uống hoặc do vệ sinh răng miệng không đúng cách. Khi men mỏng đi, ngà và tủy răng trở nên nhạy cảm hơn với vi khuẩn và kích thích.
1.4. Răng bị viêm tủy do các bệnh lý răng miệng khác
Ngoài ra, các bệnh lý răng miệng như viêm nướu và viêm nha chu cũng có mối liên hệ mật thiết đến viêm tủy răng. Dưới góc độ bệnh học, Merck Manual chỉ ra rằng nhiễm trùng từ mô quanh răng có thể lan ngược vào tủy thông qua lỗ chóp răng hoặc các ống ngà phụ, đặc biệt trong các trường hợp viêm nha chu nặng. Quá trình lan truyền này làm tăng nguy cơ viêm tủy hoặc hoại tử tủy nếu không được điều trị kịp thời.

1.5. Thủ thuật nha khoa
Không ít trường hợp viêm tủy xuất phát từ các thủ thuật nha khoa. Medicover Hospitals lưu ý rằng việc mài răng nhiều lần, trám răng sát tủy… có thể gây kích thích mô tủy và làm tăng nguy cơ viêm.
2. Hướng dẫn phòng ngừa viêm tủy răng hiệu quả
Phòng ngừa răng bị viêm tủy luôn được các chuyên gia khuyến khích vì điều trị viêm tủy thường phức tạp và tốn kém hơn nhiều so với việc chăm sóc răng miệng chủ động.
2.1. Chăm sóc răng miệng đúng cách và đều đặn mỗi ngày
Theo các hướng dẫn chăm sóc răng miệng được đăng tải bởi KIN Dental, việc đánh răng đúng cách ít nhất hai lần mỗi ngày với kem đánh răng chứa fluoride giúp củng cố men răng và làm giảm nguy cơ sâu răng – yếu tố khởi phát hàng đầu của viêm tủy.
Cũng trong các tài liệu này, KIN Dental nhấn mạnh vai trò của chỉ nha khoa hằng ngày trong việc làm sạch mảng bám tại kẽ răng, từ đó hạn chế sự phát triển của vi khuẩn và nguy cơ sâu răng lan vào tủy.
2.2. Khám định kỳ
Việc khám nha khoa định kỳ được đề cập rộng rãi trong các khuyến cáo của WebMD và Cleveland Clinic. Các nguồn này đều thống nhất rằng thăm khám 6 tháng một lần giúp phát hiện sớm sâu răng, nứt men hoặc viêm nướu trước khi tổn thương lan đến tủy răng.

2.3. Hạn chế đồ ăn ngọt, chua và đồ uống có gas
Về chế độ ăn uống, KIN Dental cảnh báo rằng việc tiêu thụ thường xuyên thực phẩm nhiều đường, đồ uống có gas hoặc có tính axit cao sẽ làm tăng nguy cơ mòn men răng, qua đó gián tiếp làm tăng khả năng viêm tủy.
2.4. Tránh thói quen xấu và bảo vệ răng khi hoạt động
Ngoài ra, Medicover Hospitals khuyến cáo những người có thói quen nghiến răng nên sử dụng máng bảo vệ khi ngủ, đồng thời người chơi thể thao cần trang bị dụng cụ bảo vệ răng để giảm nguy cơ chấn thương dẫn đến viêm tủy.
Răng bị viêm tủy là bệnh lý răng miệng phổ biến nhưng hoàn toàn có thể phòng ngừa. Các tổ chức y tế uy tín như Cleveland Clinic và WebMD đều chỉ ra rằng sâu răng, chấn thương và vệ sinh răng miệng không đúng cách là lý do tại sao răng bị viêm tủy.
Khi xuất hiện các dấu hiệu như đau răng kéo dài, đặc biệt đau về đêm, ê buốt khi ăn nóng lạnh, người bệnh không nên chủ quan mà cần thăm khám nha sĩ sớm để tránh biến chứng và bảo tồn răng thật tối đa. Chủ động phòng ngừa luôn là giải pháp bền vững nhất để bảo vệ sức khỏe răng miệng lâu dài.
Nguồn tham khảo: medicoverhospitals.in; kin.es; my.clevelandclinic.org


















