Tìm hiểu cách điều trị sưng nướu răng hiệu quả nhanh chóng
Sưng nướu răng là tình trạng nhiều người gặp phải khi mắc các vấn đề về nha khoa như viêm nha chu, viêm chân răng, sâu răng… Sưng nướu răng có thể hình thành do rất nhiều nguyên nhân khác nhau, ảnh hưởng nghiêm trọng tới sức khỏe và tinh thần của người bệnh. Để khắc phục dứt điểm tình trạng này, giúp bạn nhanh chóng quay trở lại sinh hoạt bình thường hãy cùng tìm hiểu các cách điều trị sưng nướu răng ngay sau đây.
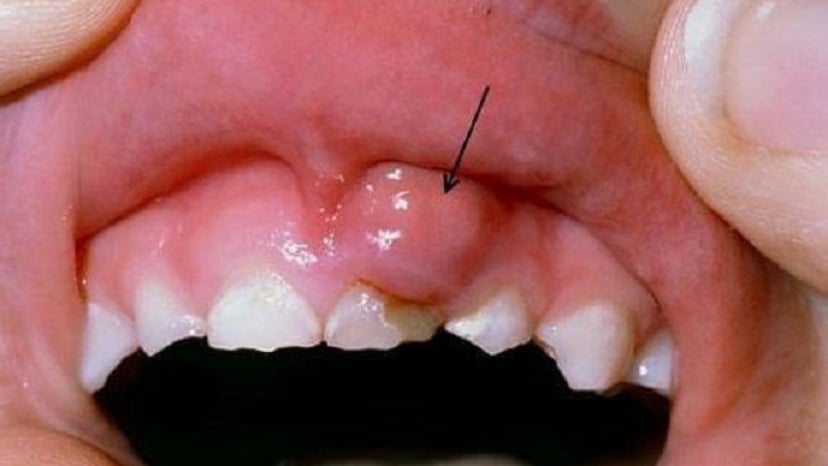
1. Tìm hiểu về tình trạng sưng nướu răng
Sưng nướu răng là biểu hiện thường gặp khi mọi người mắc phải một số bệnh lý nha khoa như viêm lợi, viêm nha chu… Một người bị sưng nướu răng thường đi kèm với các triệu chứng như đỏ tấy nướu, nướu nhạy cảm, dễ chảy máu.
Nghiêm trọng hơn, sưng nướu kéo dài lâu ngày sẽ dẫn tới tình trạng tụt lợi, lợi không còn bao bọc kín chân răng. Khi đó, răng miệng sẽ rất dễ bị vi khuẩn tấn công, gây ra các bệnh lý nguy hiểm như viêm tủy răng, sâu răng.
Đồng thời, khi bị sưng nướu răng, răng của bạn cũng sẽ nhạy cảm ơn, dễ lung lay hơn. Sưng nướu ở giai đoạn đầu không phải là tình trạng nghiêm trọng và có thể dễ dàng khắc phục triệt để. Tuy nhiên nếu nướu bị sưng không được điều trị kịp thời, bệnh có thể trở thành mạn tính và tiềm ẩn nhiều nguy cơ biến chứng.
Sưng nướu răng không điều trị kịp thời có thể dẫn tới nhiều biến chứng nguy hiểm đối với sức khỏe răng miệng
2. Nguyên nhân khiến nướu bị sưng
Tình trạng viêm nướu răng hình thành do rất nhiều nguyên nhân khác nhau gây ra như:
– Vệ sinh răng miệng kém khoa học khiến thức ăn thừa hình thành mảng bám, cao răng. Mảng bám, cao răng chính là môi trường lý tưởng khiến vi khuẩn phát triển mạnh mẽ, gây viêm nhiễm vùng nướu.
– Sự mất cân bằng hệ vi sinh vật trong khoang miệng do cơ thể thiếu nước, thay đổi hormon trong thời kỳ đặc biệt như ốm yếu, mang thai…
– Sự ảnh hưởng của một số loại thuốc điều trị bệnh lý toàn thân khiến răng miệng yếu đi, dễ bị vi khuẩn tấn công.
– Một số bệnh lý như tiểu đường, ung thư… khiến hệ miễn dịch suy yếu, khó bảo vệ cơ thể trước sự tấn công của các tác nhân có hại.
– Thói quen xấu như cắn đồ quá cứng, nghiến răng, hút thuốc, uống rượu bia khiến nướu bị tổn thương…
Vệ sinh răng miệng kém khoa học khiến mảng bám tích tụ nhiều gây sưng nướu răng
3. Cách điều trị sưng nướu răng
3.1. Cách điều trị sưng nướu răng ở nha khoa
Nếu nướu bị sưng đau kéo dài, bạn nên tới ngay các cơ sở y tế để được thăm khám với bác sĩ nha khoa. Bác sĩ sẽ tiến hành thăm khám, xác định nguyên nhân gây bệnh và đưa ra phương hướng xử trí phù hợp:
– Cho người bệnh sử dụng nước súc miệng ngăn ngừa viêm lợi, sưng nướu.
– Sử dụng thuốc kháng sinh, kháng viêm nếu tình trạng viêm nhiễm nghiêm trọng.
– Lấy cao răng để loại bỏ mảng bám gây ra tình trạng viêm, sưng nướu.
– Phẫu thuật loại bỏ mô nướu bị viêm để tránh lan ra các khu vực khác.
– Điều trị dứt điểm bệnh lý viêm nha chu, viêm chân răng, sâu răng… hoặc các bệnh lý toàn thân.
Lấy cao răng là một trong những cách điều trị sưng nướu răng thường được áp dụng tại nha khoa
3.2. Khắc phục răng bị sưng nướu tại nhà
Bên cạnh việc điều trị tại nha khoa, một số mẹo có thể hỗ trợ làm giảm sưng đau nướu mà mọi người có thể áp dụng tại nhà như:
– Súc miệng bằng nước muối loãng, nước muối sinh lý vì trong muối có chứa chất kháng khuẩn.
– Uống nhiều nước, cân bằng hệ vi sinh vật trong khoang miệng, ngăn ngừa vi khuẩn gây bệnh.
– Chườm lạnh giúp hỗ trợ giảm đau, giảm sưng vùng nướu răng.
– Thoa nhẹ mật ong, chanh muối hoặc lô hội lên vùng nướu bị viêm để giảm sưng.
– Chải răng nhẹ nhàng, tránh chà mạnh vào khu vực nướu bị viêm để ngăn ngừa chảy máu, tổn thương nướu.
Một số mẹo trên đây chỉ có tác dụng hỗ trợ làm giảm tình trạng sưng đau khi bị viêm nướu. Để có thể điều trị dứt điểm, người bệnh cần tới các cơ sở y tế để được tư vấn chi tiết hơn với bác sĩ chuyên khoa.
4. Ngăn ngừa sưng nướu đúng cách
Việc xây dựng chế độ dinh dưỡng khoa học có vai trò quan trọng trong việc ngăn ngừa tình trạng viêm, sưng nướu. Do đó, mọi người cần lưu ý tới các vấn đề sau khi vệ sinh răng miệng hằng ngày:
– Duy trì vệ sinh răng miệng đều đặn hằng ngày, đặc biệt là sau khi ăn uống.
– Chải răng nhẹ nhàng, chải đều tất cả các mặt, kẽ răng.
– Sử dụng chỉ nha khoa, tăm nước để loại bỏ thức ăn thừa ở kẽ răng.
– Súc miệng thường xuyên với các dung dịch chuyên dụng theo khuyến cáo của bác sĩ nha khoa.
– Ăn uống với một chế độ lành mạnh, nhiều rau xanh, trái cây tươi để cung cấp đủ vitamin cho cơ thể.
– Hạn chế ăn thực phẩm quá dai cứng, cay nóng hoặc đồ ăn có chứa nhiều đường, tính axit cao để bảo vệ men răng.
– Lấy cao răng, mảng bám thường xuyên để loại bỏ kịp thời các ổ vi khuẩn gây bệnh.
– Thăm khám sức khỏe răng miệng thường xuyên để chủ động điều trị bệnh lý kịp thời.
Vệ sinh răng miệng đều đặn mỗi ngày để ngăn vừa sưng, viêm nướu răng
Cách điều trị sưng nướu răng tốt nhất chính là tới gặp bác sĩ nha khoa sớm để được điều trị với phác đồ phù hợp, khoa học và an toàn. Do vậy, bạn nên liên hệ trực tiếp tới các cơ sở uy tín để được bác sĩ thăm khám, tư vấn điều trị kịp thời, ngăn chặn biến chứng xảy ra.















