Cách trị sưng nướu răng trong cùng tại nhà hiệu quả và an toàn
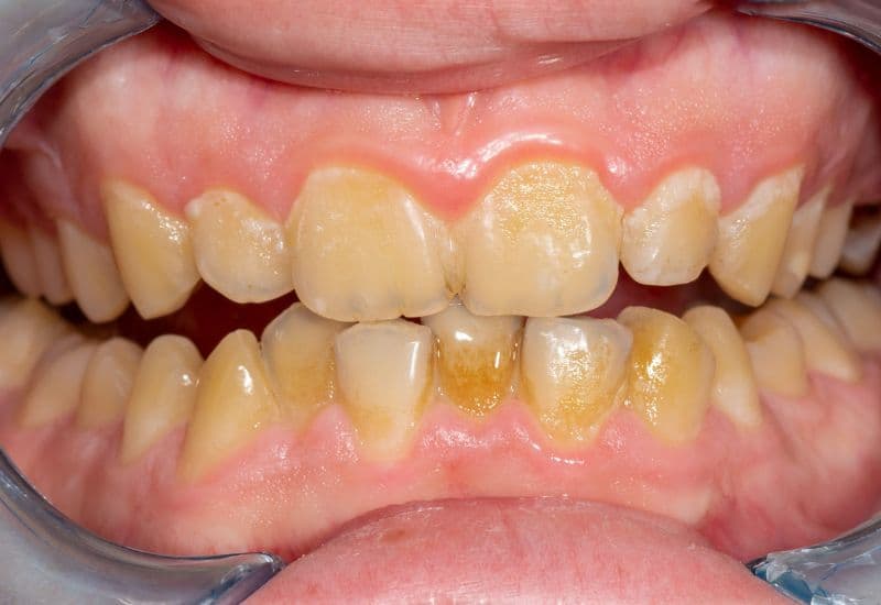
Sưng nướu ở vùng răng trong cùng thường là vùng răng số 8 (răng khôn) hoặc các răng hàm lớn là tình trạng phổ biến khiến nhiều người lo lắng. Nguyên nhân có thể từ vệ sinh kém, viêm nướu, viêm quanh thân răng đến viêm quanh chóp răng số 8 khi răng này mọc lệch. Trong nhiều trường hợp, người bệnh tìm kiếm cách trị sưng nướu tại nhà để giảm đau và khống chế tình trạng sưng trước khi đến nha sĩ. Bài viết này sẽ hướng dẫn chi tiết cách trị sưng nướu răng trong cùng tại nhà hiệu quả và an toàn, đồng thời chỉ rõ dấu hiệu cần đi khám và khi nào không nên trì hoãn điều trị.
1. Xác định nguyên nhân trước khi chữa: Vì sao nướu sưng ở trong cùng?
Trước khi áp dụng bất kỳ biện pháp nào tại nhà, cần cố gắng xác định nguyên nhân cơ bản.
Sưng nướu trong cùng thường do một hoặc kết hợp các nguyên nhân:
– Thức ăn kẹt giữa răng hàm và mô nướu,
– Mảng bám và vôi răng gây viêm nướu,
– Răng khôn mọc ngầm/mọc lệch,
– Nhiễm trùng quanh chân răng,
– Các nguyên nhân toàn thân (thiếu vitamin, bệnh lý làm suy giảm miễn dịch).
Hiểu đúng nguyên nhân giúp chọn cách chữa tại nhà phù hợp. Ví dụ, nếu do thức ăn kẹt thì súc rửa và làm sạch tại chỗ có hiệu quả; nếu do răng khôn mọc lệch có thể cần can thiệp nha khoa chuyên sâu…

2. Tổng hợp 5 cách trị sưng nướu răng trong cùng tại nhà
2.1. Súc miệng nước muối ấm
Súc miệng nước muối ấm là cách đơn giản, an toàn và thường được khuyên dùng đầu tiên để giảm viêm.
Cách làm: Hòa nửa thìa cà phê muối trong 200 – 250 ml nước ấm, ngậm và súc trong vùng nướu 30 – 60 giây, nhổ ra. Thực hiện 2 – 4 lần/ngày, đặc biệt sau bữa ăn.
Nước muối giúp làm sạch cơ học và có tác dụng sát khuẩn nhẹ, giảm sưng và giảm đau tạm thời.
2.2. Cách trị sưng nướu răng trong cùng tại nhà: Vệ sinh răng miệng
Khi nướu sưng, nên dùng bàn chải lông mềm, chải nhẹ nhàng theo chiều dọc và tránh chà xát mạnh vào nướu đang sưng để không làm tổn thương thêm. Sử dụng chỉ nha khoa hoặc tăm nước để lấy dị vật kẹt giữa các răng. Nước súc miệng kháng khuẩn (không cồn nếu nướu nhạy cảm) có thể dùng 1 – 2 lần/ngày để giảm vi khuẩn.
Tuy nhiên, vệ sinh phải nhẹ nhàng, chải quá mạnh có thể làm chảy máu và tăng sưng trong ngắn hạn.
2.3. Dùng thuốc giảm đau và chống viêm không kê đơn
Để giảm sưng và đau tạm thời, có thể sử dụng ibuprofen hoặc thuốc giảm đau như paracetamol theo liều khuyến cáo của nhà sản xuất hoặc theo hướng dẫn y tế. Những thuốc này chỉ giúp giảm triệu chứng chứ không loại bỏ nguyên nhân.
Lưu ý tránh dùng aspirin cho trẻ nhỏ và thận trọng với người có bệnh lý dạ dày, suy gan thận hoặc dùng thuốc chống đông.
2.4. Cách trị sưng nướu răng trong cùng tại nhà: Chườm ấm hoặc lạnh
Chườm lạnh ngoài má làm co mạch giúp giảm sưng và đau cấp tính; chườm ấm (hoặc súc miệng nước ấm) giúp giãn mạch, tăng tuần hoàn và hỗ trợ loại trừ mủ, giảm co thắt mô.
Với sưng nướu do chấn thương, chườm lạnh 10 – 15 phút có thể giúp giảm đau. Nếu nghi có ổ mủ hoặc viêm quanh răng khôn, ngậm nước ấm hoặc chườm ấm ngoài má giúp thoát mủ và giảm đau. Tuy nhiên, nếu có sốt cao hoặc vùng đỏ nóng lan rộng, không tự ý chườm ấm nếu không biết rõ nguyên nhân.
2.5. Các phương pháp dân gian và liệu chúng có hiệu quả?
Nhiều người thử các phương pháp dân gian như súc miệng dầu dừa, bôi nghệ/tinh bột nghệ, súc miệng với hydrogen peroxide pha loãng, hoặc dùng gel nha chu có chiết xuất thảo dược.
Một vài nghiên cứu và bài viết cho thấy dầu dừa có khả năng giảm mảng bám và hơi thở hôi, nhưng không thể thay thế đánh răng và khám nha khoa định kỳ. Hydrogen peroxide pha loãng đôi khi được dùng làm dung dịch súc miệng sát khuẩn nhưng cần rất thận trọng (pha đúng nồng độ) để tránh kích ứng.
Các phương pháp này có thể hỗ trợ tạm thời nhưng không giải quyết dứt điểm được tình trạng sưng nướu răng. Nếu dùng thảo dược hoặc sản phẩm không rõ nguồn gốc, hãy theo dõi phản ứng tại chỗ và ngưng nếu có kích ứng.

3. Khi nào bạn nhất định phải đến nha sĩ: Dấu hiệu không nên tiếp tục chữa tại nhà
Một số dấu hiệu cảnh báo người bệnh sưng nướu răng trong cùng cần khám ngay là: Sưng nướu kéo dài, hơn 48 – 72 giờ không giảm, chảy mủ, sốt, khó nuốt hoặc thở, sưng mặt, đau dữ dội không thể giảm bằng thuốc giảm đau không kê đơn hoặc tình trạng tái phát nhiều lần.
Trong nhiều trường hợp, nha sĩ sẽ cần làm sạch chuyên sâu, trám, điều trị nội nha (nếu do tủy), hoặc chỉ định nhổ răng khôn. Một số trường hợp còn cần kháng sinh kê đơn nếu có nhiễm trùng. Đừng trì hoãn khám khi có các triệu chứng trên vì nhiễm trùng để lâu có thể lan rộng và gây biến chứng.
4. Lời khuyên phòng ngừa để tránh tái phát sưng nướu ở vị trí trong cùng
– Đánh răng đúng kỹ thuật ít nhất hai lần/ngày bằng kem đánh răng chứa fluoride, dùng chỉ nha khoa hoặc tăm nước hàng ngày,
– Khám và lấy vôi răng định kỳ 6 – 12 tháng,
– Kiểm tra răng khôn nếu đau/khó chịu,
– Bổ sung đủ vitamin (đặc biệt vitamin C) và giảm đường trong chế độ ăn,
– Bỏ thuốc lá,
– Nếu răng khôn là nguồn gây sưng tái phát, hãy hỏi nha sĩ về khả năng nhổ hoặc theo dõi.

Sưng nướu răng trong cùng có nguyên nhân từ vệ sinh kém đến răng khôn mọc ngầm/mọc lệch và nhiều trường hợp có thể giảm đau tạm thời bằng các biện pháp tại nhà như súc miệng nước muối ấm, vệ sinh nhẹ nhàng bằng bàn chải lông mềm, dùng chỉ nha khoa hoặc tăm nước, chườm ấm/lạnh hợp lý và dùng thuốc giảm đau không kê đơn khi cần.
Tuy nhiên, các biện pháp tại nhà chỉ là giải pháp hỗ trợ điều trị triệu chứng; nếu sưng kéo dài, kèm sốt, chảy mủ hoặc đau nhiều thì cần gặp nha sĩ để được can thiệp chuyên sâu (cạo vôi, điều trị nội nha, dùng kháng sinh nếu cần, hoặc nhổ răng khôn).


















