Sâu chân răng – Nguyên nhân và cách điều trị
Sâu chân răng là một trong những tình trạng răng sâu khá nguy hiểm có thể gây mất răng nếu không được điều trị kịp thời. Trong bài viết này, Thu Cúc TCI sẽ giúp bạn hiểu rõ hơn về bệnh lý này và các biện pháp điều trị khi mắc phải.
1. Sâu chân răng là gì? Nguyên nhân gây bệnh
Sâu chân răng nếu không được phát hiện và điều trị kịp thời sẽ gây ra nguy cơ hỏng tủy răng, mất răng sau này.
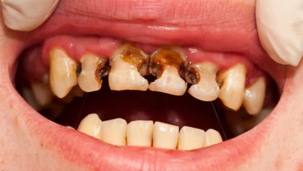
Sâu chân răng là hiện tượng răng bị sâu ở bề mặt chân răng, nơi tiếp giáp với nướu răng, gây ra hiện tượng chân răng bị đen. Đây là một trong những tình trạng sâu răng có khả năng gây ra hiện tượng mất răng nếu không được điều trị kịp thời.
Những sai lầm tai hại gây ra sâu chân răng
– Vệ sinh răng miệng sai cách
Việc đánh răng không thường xuyên (ít nhất 2 lần/ngày), đánh răng không kỹ hoặc không vệ sinh răng miệng sau khi ăn là một trong những nguyên nhân hàng đầu khiến chân răng bị sâu.
– Đánh răng mạnh, sử dụng bàn chải quá cứng
Khi đánh răng quá mạnh hoặc bàn chải quá cứng sẽ khiến răng bị tổn thương dần theo thời gian khiến răng yếu đi và tăng nguy cơ mắc các bệnh về răng nướu.
– Tuổi tác
Càng lớn tuổi, nướu răng càng có nguy cơ bị tụt và để lộ bề mặt chân răng, gia tăng khả năng mắc các bệnh sâu răng.
– Các bệnh về răng miệng
Khi người bệnh mắc các bệnh nướu răng, viêm nha chu sẽ tạo điều kiện cho mảng bám và vi khuẩn xâm nhập vào chân răng.
– Di truyền
Những yếu tố di truyền như men răng yếu, mòn cổ răng từ sớm khiến sức khỏe răng miệng suy yếu, dễ mắc các bệnh lý khác nhau cũng có thể gây ra nguy cơ sâu răng.
– Bệnh tiểu đường
Bệnh tiểu đường khiến hệ thống miễn dịch bị suy yếu, đây là yếu tố khiến các bệnh liên quan đến nướu và suy thoái mô mềm trở nên nghiêm trọng hơn.
– Hút thuốc lá
Các loại thuốc lá và xì gà đều có hại cho men răng, làm hỏng răng và nguy cơ mắc các bệnh lý răng miệng tăng cao.
– Sử dụng thuốc tây
Nhiều loại thuốc tây gây ra tình trạng khô miệng, gia tăng khả năng nguy cơ mắc các bệnh lý răng miệng, đặc biệt là sâu răng và viêm nhiễm nướu.
– Chấn thương
Khi gặp chấn thương, răng sẽ bị tổn thương và có khả năng tạo ra môi trường, điều kiện thích hợp để vi khuẩn tích tụ trong các vết nứt trên răng, dần dần trở thành các bệnh lý nghiêm trọng ở răng miệng.
– Răng không đều, lệch lạc
Răng mọc không đều, lệch lạc khiến việc làm sạch khó hơn, dẫn đến nguy cơ mắc các bệnh răng miệng cao hơn.
2. Các triệu chứng khi chân răng bị sâu
Người bệnh cần đi khám ngay lập tức khi xuất hiện một trong số các triệu chứng dưới đây:
– Răng đau buốt, khó chịu khi ăn các đồ ăn nóng, lạnh hoặc ngọt.
– Răng đau âm ỉ, tần suất ngày càng liên tục và dần trở nên dữ dội, đặc biệt là ở vùng chân răng.
– Khi nhai, cắn thức ăn bị đau nhức răng.
– Mô nướu quanh răng bị sưng hoặc tấy đỏ.
– Răng có hiện tượng lung lay do vấn đề tụt nướu hoặc tiêu xương.
– Men răng yếu, có khả năng gãy, nứt.
– Màu răng đổi màu từ vàng, nâu sang đen dần (Đen là dấu hiệu sâu đã ăn vào tủy răng).
– Tụt nướu, lộ chân răng.
– Mô nướu xung quanh răng bị nhiễm trùng hoặc lở loét.
Tuy nhiên, ở một số trường hợp đã được ghi nhận, người bệnh không có triệu chứng nào khi bị sâu ở vị trí chân răng. Bệnh chỉ được phát hiện khi người bệnh đến các trung tâm nha khoa thăm khám.
3. Điều trị sâu chân răng thế nào?
Đến thăm khám và điều trị tại các trung tâm, cơ sở Nha khoa uy tín giúp cho người bệnh có thể “xử lý” triệt để bệnh nhanh chóng và hiệu quả hơn.
Để bảo vệ sức khỏe răng miệng nói riêng và sức khỏe toàn diện nói chung, các bác sĩ khuyến cáo người bệnh cần điều trị dứt điểm bệnh lý sâu chân răng. Tùy theo mức độ sâu răng của từng bệnh nhân, bác sĩ sẽ chỉ định và sử dụng các phương pháp điều trị khác nhau.
Có thể chia bệnh lý này ra làm 3 giai đoạn chính. Ở mỗi giai đoạn khác nhau, bác sĩ sẽ chỉ định các phương pháp điều trị hiệu quả nhất để đảm bảo răng của bạn không bị tổn hại nghiêm trọng và ảnh hưởng đến sức khỏe răng miệng.
– Giai đoạn đầu của sâu chân răng
Đây là giai đoạn đầu của bệnh lý và vẫn còn khả năng phục hồi, bác sĩ sẽ chỉ định sử dụng biến pháp tái khoáng cho răng. Đây là phương pháp an toàn, sử dụng gel Fluoride và các loại kem đánh răng bổ sung Fluor để tái khoáng cho răng. Fluoride sẽ tạo thành một lớp bảo vệ răng mới, giảm thiểu tình trạng sâu răng tái phát trở lại.
– Giai đoạn 2
Đây là giai đoạn sâu đã tạo ra các lỗ tại chân răng và thân răng đi kèm với các vùng đen xuất hiện ở chân răng. Khi ấy, bác sĩ phải thực hiện phương pháp trám lỗ chân răng sâu để ngăn ngừa sự phát triển của lỗ sâu. Vết trám răng sẽ thay thế vào phần răng bị tổn thương, đảm bảo chức năng ăn nhai của răng.
– Giai đoạn 3
Đây được coi là giai đoạn nặng và rất nặng, khi sâu răng đã phá hủy tủy răng. Ở giai đoạn này, bác sĩ chỉ còn phương pháp loại bỏ tủy răng và trám bít lại hoặc bọc răng sứ. Đây là các phương pháp giúp bảo vệ răng, đảm bảo chức năng của răng miệng và thẩm mỹ cho người bệnh.
4. Phòng ngừa chân răng bị sâu hiệu quả
Khoa Răng Hàm Mặt thuộc Hệ thống Y Tế Thu Cúc TCI là địa điểm chữa sâu chân răng uy tín, chất lượng được hàng ngàn bệnh nhân tin tưởng.
Để phòng ngừa nguy cơ bệnh lý xuất hiện và phát triển, người bệnh cần lưu ý những điều sau:
– Vệ sinh răng miệng thường xuyên, đúng cách tại nhà. Vệ sinh răng miệng ít nhất 2 lần/ngày và ngay sau khi ăn.
– Sử dụng các loại bàn chải đánh răng mềm, khi vệ sinh răng miệng cần vệ sinh nhẹ nhàng, không bỏ sót ngóc ngách nào.
– Không hút thuốc lá, thuốc lá điện tử, xì gà để bảo vệ sức khỏe răng miệng cũng như sức khỏe toàn diện của bản thân và những người xung quanh.
– Khám răng định kỳ để có thể kịp thời phát hiện và xử lý trước khi răng miệng bị tổn thương nghiêm trọng.
– Khi có các bệnh có khả năng ảnh hưởng đến răng miệng như tiểu đường, người bệnh cần thăm khám định kỳ theo chỉ dẫn của bác sĩ.
Trên đây là những điều bạn cần biết về bệnh lý sâu chân răng nguy hiểm, gây ảnh hưởng lớn đến sức khỏe và thẩm mỹ của người bệnh. Để có thể được điều trị và thăm khám kỹ lưỡng hơn bởi các bác sĩ Răng Hàm Mặt đầu ngành, bạn có thể liên hệ với tổng đài để được tư vấn và đặt lịch khám nhanh nhất!

















