Sử dụng thuốc trị viêm nướu răng hiệu quả, an toàn
Tình trạng viêm nướu răng không được kiểm soát là một trong những nguyên nhân chính dẫn đến các bệnh nha chu, mất răng đáng tiếc mà nhiều người gặp phải. Trong khi đó, có nhiều loại thuốc trị viêm nướu răng mang lại hiệu quả tốt khi được sử dụng đúng liệu trình, đúng cách. Vậy, những loại thuốc nào được sử dụng trị viêm nướu răng? Hãy cùng TCI tìm hiểu về bệnh lý này cùng các thuốc kê trong điều trị để hiểu hơn về viêm nướu răng cũng như khám phá về cách xử trí bệnh nhanh chóng, phù hợp.
1. Bệnh viêm nướu răng
Viêm nướu là tình trạng viêm nhiễm của nướu, gây ra các triệu chứng như sưng đỏ, chảy máu chân răng, hơi thở có mùi hôi, v.v. Đây là bệnh lý rất dễ xảy ra. Đồng thời, khi không được điều trị kịp thời, người bị viêm nướu có thể phải đối diện với những biến chứng nguy hiểm như viêm nha chu, ảnh hưởng đến sức khỏe răng miệng và toàn thân.
1.1. Nguyên nhân
Viêm nướu răng có thể hình thành từ nhiều vấn đề quen thuộc hằng ngày:
– Vệ sinh răng miệng kém
– Mảng bám lâu ngày
– Sử dụng thuốc lá
– Một số bệnh lý toàn thân liên quan đến suy giảm miễn dịch như đái tháo đường, HIV,…
– Mang thai
– Tác dụng phụ khi sử dụng một số loại thuốc điều trị gây giảm tiết nước bọt
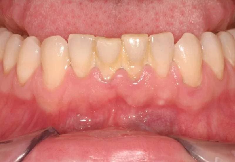
Mảng bám, cao răng là một trong những nguyên nhân cơ bản gây viêm nướu
1.2. Dấu hiệu nhận biết
Viêm nướu không quá khó nhận biết vì các triệu chứng lâm sàng của bệnh khá rõ ràng:
– Nướu sưng đỏ
– Tình trạng chảy máu chân răng, thường dễ nhận thấy nhất khi khi đánh răng hoặc dùng chỉ nha khoa
– Hơi thở có mùi hôi
– Nướu mềm
– Răng lung lay
– Đau nhức, ê buốt
– Nướu tụt, lộ chân răng
1.3. Ảnh hưởng do viêm nướu
Là một trong những bệnh lý răng miệng phổ biến, nhưng viêm nướu răng thường không được quan tâm đúng cách. Rất nhiều người thường lơ là, phớt lờ bệnh và nghĩ tình trạng này sẽ tự khỏi, chỉ đến khi thấy tình trạng viêm nướu nghiêm trọng hơn mới đi mua thuốc hoặc đi khám. Trong khi đó, các bác sĩ Răng Hàm Mặt của TCI khuyến cáo: Nếu không được điều trị kịp thời, người bệnh viêm nướu có thể gặp biến chứng viêm nha chu, gây tổn thương nghiêm trọng đến mô nướu và xương hàm, thậm chí dẫn đến mất răng.
Với viêm nướu răng, các bác sĩ cũng cho biết, việc điều trị bệnh ngay từ sớm sẽ giúp người bệnh tiết kiệm thời gian điều trị với những phương pháp đơn giản. Khi càng để lâu, mức độ ảnh hưởng và biến chứng của viêm nướu càng lớn, điều trị cũng khó khăn và tốn kém hơn.
Viêm nướu gây khó khăn trong ăn uống và nhiều nguy cơ bệnh răng miệng
1.4. Điều trị viêm nướu
Như đã nói trên, việc điều trị viêm nướu nhanh chóng hiệu quả hay không sẽ phụ thuộc rất nhiều vào mức độ nghiêm trọng của bệnh. Nhìn chung, biện pháp thường được hướng đến bao gồm:
– Dùng thuốc trị bệnh
– Loại bỏ mảng bám, cao răng
– Kết hợp chăm sóc và vệ sinh răng miệng tại nhà
2. Phương pháp dùng thuốc điều trị viêm nướu răng
2.1. Một số thuốc trị viêm nướu răng thường được kê đơn
Sau khi được thăm khám chi tiết, các bác sĩ sẽ dựa vào tình trạng của người bệnh để có chỉ định phù hợp. Với việc sử dụng thuốc, tình trạng răng nướu của người bệnh sẽ là căn cứ để bác sĩ kê đơn. Thuốc điều trị cho tình trạng viêm nướu thường nhằm mục đích loại bỏ vi khuẩn, loại bỏ viêm nhiễm, tăng đề kháng cho người bệnh. Một số thuốc được cân nhắc sử dụng bao gồm:
– Thuốc chống viêm: Nhằm giảm tình trạng viêm, sưng nướu và giảm các triệu chứng đau nhức của bệnh viêm nướu. Một số loại thuốc chống viêm được bác sĩ kê thường gồm ibuprofen, naproxen, diclofenac,…
– Thuốc giảm đau: Nhằm giảm các triệu chứng đau nhức, ê buốt do viêm nướu gây ra. Một số loại thuốc giảm đau kê cho người viêm nướu như paracetamol, aspirin,…
– Thuốc sát trùng: Được kê với mục đích tiêu diệt vi khuẩn gây viêm nướu. Một số loại thuốc sát trùng được bác sĩ nha khoa kê trong trường hợp này như chlorhexidine gluconate, hydrogen peroxide,…
– Thuốc kháng sinh: Với trường hợp viêm nướu do vi khuẩn gây ra và không đáp ứng với các biện pháp điều trị khác, bác sĩ có thể cân nhắc kê kháng sinh cho người bệnh. Một số loại thuốc kháng sinh phổ biến bao gồm amoxicillin, metronidazole,…
– Thuốc gây tê tại chỗ: Giúp giảm đau tạm thời trong các thủ thuật nha khoa như cạo vôi răng, lấy tủy răng, gồm: lidocaine, prilocaine…
– Thuốc bôi tại chỗ: Giúp giảm viêm, sưng và hỗ trợ quá trình lành thương của nướu. Một số loại thuốc bôi tại chỗ phổ biến bao gồm metronidazole gel, chlorhexidine gluconate gel.
2.2. Lưu ý khi dùng thuốc trị viêm nướu răng thường được kê đơn
Khi sử dụng thuốc điều trị, người bị viêm nướu cần chú ý:
– Không tự mua thuốc dùng
– Thăm khám và chỉ dùng các thuốc bác sĩ kê điều trị
– Lưu ý cho bác sĩ các loại thuốc bản thân đang sử dụng vì chúng có thể tương tác với thuốc bác sĩ kê đơn.
– Dùng thuốc đúng liều, đúng lúc, không tự ý tăng giảm liều
– Kết hợp với các điều trị cần thiết khác như: vệ sinh răng miệng, loại bỏ mảng bám,…
– Ăn uống nhẹ nhàng
– Tái khám đúng hẹn
Nhìn chung, cần thực hiện sử dụng thuốc điều trị viêm nướu răng theo đúng chỉ định và hướng dẫn của bác sĩ, kết hợp các hình thức vệ sinh phù hợp, chọn lựa kem đánh răng, ăn uống khoa học, tránh chất kích thích,…
Dùng thuốc trị và chăm sóc viêm nướu theo chỉ định của bác sĩ
Ngoài ra, khi có bất cứ dấu hiệu bất thường hoặc tình trạng viêm nướu có những chuyển biến lạ, cần sớm đến các cơ sở nha khoa điều trị để được kiểm tra và có giải pháp điều trị phù hợp, kịp thời. Đặc biệt, nên khám nha khoa định kỳ 6 tháng/lần để phát hiện sớm và điều trị kịp thời các vấn đề về răng miệng, bao gồm cả viêm nướu.
Viêm nướu răng là bệnh lý phổ biến với mọi người và có thể tiềm tàng nhiều biến chứng nguy hiểm. Để điều trị bệnh, các thuốc trị viêm nướu răng là giải pháp phổ biến được chỉ định theo từng trường hợp bệnh lý. Do đó, không nên tự ý dùng thuốc, mượn đơn thuốc để sử dụng. Người bệnh nên sớm đến các cơ sở răng hàm mặt uy tín và nhờ bác sĩ thăm khám, chỉ định điều trị theo đúng tình trạng sức khỏe của bản thân.


















