Sâu răng ở trẻ em: Hiểu đúng để bảo vệ răng miệng cho bé
Nhiều bậc phụ huynh thường lầm tưởng rằng sâu răng ở trẻ em chỉ là vấn đề nhỏ vì răng sữa sẽ sớm rụng đi. Tuy nhiên, thực tế hoàn toàn ngược lại, sâu răng có thể gây ra những hậu quả nghiêm trọng và lâu dài. Bài viết này sẽ đi sâu vào những ảnh hưởng thực tế của sâu răng, cách xử lý cơn đau cấp tốc và các phương pháp điều trị dứt điểm, giúp cha mẹ bảo vệ nụ cười của con một cách hiệu quả.
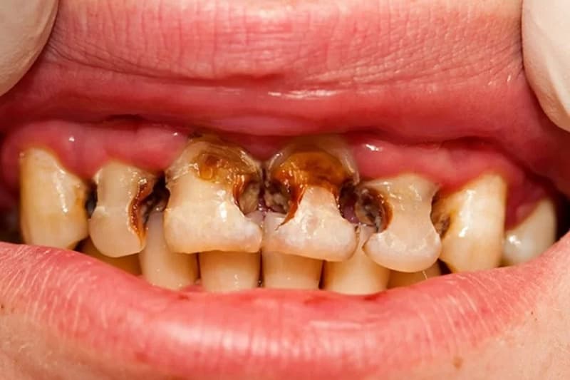
1. Hệ lụy của sâu răng với sức khỏe trẻ nhỏ
Sâu răng không chỉ dừng lại ở những cơn đau nhức khó chịu mà còn tác động sâu sắc đến sự phát triển toàn diện của trẻ.
1.1. Sâu răng ở trẻ em ảnh hưởng trực tiếp đến tình trạng sức khoẻ

– Vấn đề về ăn nhai và tiêu hóa: Khi răng sữa bị sâu, khả năng ăn nhai của trẻ bị giảm sút. Cảm giác đau khiến trẻ ngại nhai các loại thức ăn cứng, dai, dẫn đến việc chỉ ăn thức ăn mềm, dễ nuốt. Điều này không chỉ gây thiếu hụt dinh dưỡng mà còn làm suy giảm chức năng ăn nhai, gây ảnh hưởng xấu đến hệ tiêu hóa.
– Nguy cơ nhiễm trùng nghiêm trọng: Lỗ sâu là lối để vi khuẩn xâm nhập vào tủy răng, gây ra các biến chứng như viêm tủy, áp xe chân răng. Vi khuẩn từ ổ viêm có thể đi vào máu, gây nhiễm trùng huyết hoặc các bệnh lý toàn thân nghiêm trọng như viêm nội tâm mạc (nhiễm trùng lớp lót bên trong tim) ở trẻ mắc bệnh tim bẩm sinh. Một nghiên cứu đã chỉ ra mối liên hệ chặt chẽ giữa vệ sinh răng miệng kém và nguy cơ mắc bệnh tim mạch.
1.2. Ảnh hưởng tới sự phát triển lâu dài của răng vĩnh viễn
– Thiếu răng sữa để giữ chỗ sẽ làm tăng nguy cơ răng vĩnh viễn mọc lệch. Nếu răng sữa bị nhổ sớm do sâu nặng, khoảng trống bị mất đi có thể khiến các răng còn lại xô lệch vào, làm cho răng vĩnh viễn mọc sai vị trí, gây ra các vấn đề về khớp cắn và thẩm mỹ, thường cần phải niềng răng để điều chỉnh. Đây là một trong những lý do vì sao việc bảo tồn răng sữa là vô cùng quan trọng.
– Men răng vĩnh viễn yếu: Nhiễm trùng do sâu răng ở trẻ em có thể làm tổn thương mầm răng vĩnh viễn nằm ngay dưới chân răng sữa, gây ra tình trạng thiểu sản men răng vĩnh viễn (đốm trắng hoặc vàng trên bề mặt răng). Những chiếc răng này sẽ có cấu trúc yếu hơn và dễ bị sâu hơn trong tương lai.
1.3. Sâu răng ở trẻ em ảnh hưởng đến phát âm
– Giảm khả năng phát âm: Sâu răng, đặc biệt là ở răng cửa, có thể làm giảm khả năng phát âm của trẻ trong giai đoạn tập nói. Trẻ có thể phát âm ngọng hoặc khó khăn trong việc phát âm các âm tiết yêu cầu sự hỗ trợ của răng.
2. Cách điều trị sâu răng ở trẻ em ba mẹ cần biết
Khi con bị đau răng, việc đầu tiên cha mẹ cần làm là giúp con giảm đau tạm thời để có thời gian đưa con đến nha khoa.
2.1. Sơ cứu ban đầu tại nhà – Giảm đau tạm thời
Các biện pháp này không thể chữa khỏi sâu răng, nhưng chúng sẽ giúp làm dịu cơn đau, giúp trẻ cảm thấy dễ chịu hơn trước khi đến gặp nha sĩ.
– Vệ sinh sạch sẽ khoang miệng: Cơn đau thường tăng lên khi có thức ăn mắc kẹt trong lỗ sâu. Hướng dẫn bé súc miệng bằng nước muối ấm hoặc nước lọc nhiều lần để loại bỏ thức ăn thừa còn sót lại. Nước muối ấm không chỉ làm sạch mà còn có tác dụng sát khuẩn nhẹ, giúp giảm viêm tạm thời.
– Chườm lạnh giảm sưng: Sử dụng một miếng gạc sạch hoặc khăn mềm bọc vài viên đá lạnh và chườm lên vùng má ngoài vị trí răng bị đau trong khoảng 10-15 phút. Hơi lạnh sẽ làm co các mạch máu nhỏ, giảm lưu lượng máu đến vùng bị viêm, từ đó làm giảm sưng và tê liệt tạm thời các dây thần kinh cảm giác, giúp làm dịu cơn đau.
– Sử dụng thuốc giảm đau không kê đơn: Trong trường hợp cơn đau dữ dội và kéo dài, cha mẹ có thể cân nhắc cho trẻ dùng thuốc giảm đau phù hợp. Chỉ sử dụng các loại thuốc giảm đau không kê đơn dành riêng cho trẻ em như Paracetamol hoặc Ibuprofen và tuyệt đối tuân thủ liều lượng được chỉ định trên bao bì hoặc theo lời khuyên của bác sĩ, dược sĩ.
Lưu ý quan trọng: Tuyệt đối không tự ý cho trẻ dùng thuốc kháng sinh mà không có chỉ định của bác sĩ. Lạm dụng kháng sinh không những không hiệu quả trong việc giảm đau tức thời mà còn có thể gây lờn thuốc và các tác dụng phụ không mong muốn.
2.2. Điều trị chuyên sâu tại phòng khám nha khoa
Điều trị dứt điểm sâu răng ở trẻ em chỉ có thể được thực hiện tại phòng khám nha khoa với sự chẩn đoán và can thiệp của bác sĩ. Tùy thuộc vào mức độ sâu răng mà bác sĩ sẽ áp dụng các phương pháp khác nhau.

– Đối với răng đã bị sâu và hình thành lỗ:
Trong các cách điều trị, trám răng là lựa chọn phổ biến nhất. Nha sĩ sẽ loại bỏ phần mô răng bị sâu bằng dụng cụ chuyên dụng và lấp đầy bằng vật liệu trám nha khoa như Composite hoặc GIC. Trám răng không chỉ phục hồi hình dáng của răng mà còn bảo vệ răng khỏi sự tấn công của vi khuẩn.
– Đối với trường hợp nặng:
Nhổ răng: Đây là giải pháp cuối cùng khi răng sữa bị sâu quá nặng, không thể phục hồi và có nguy cơ gây áp xe hoặc ảnh hưởng đến răng vĩnh viễn. Sau khi nhổ, bác sĩ có thể đề xuất lắp đặt một dụng cụ giữ khoảng để đảm bảo răng vĩnh viễn mọc đúng vị trí.
3. Thăm khám nha khoa định kỳ
Nhiều cha mẹ chỉ đưa con đi khám răng khi con đã bị đau, đây là một sai lầm lớn. Thăm khám nha khoa định kỳ 6 tháng/lần là một bước không thể thiếu để chăm sóc và bảo vệ sức khỏe răng miệng cho trẻ một cách chủ động và hiệu quả nhất.

– Phát hiện sớm các vấn đề: Các bác sĩ nha khoa có thể phát hiện những dấu hiệu sớm của sâu răng, viêm nướu hoặc các vấn đề khác ngay từ giai đoạn khởi phát. Khi đó, việc điều trị sẽ đơn giản hơn, ít tốn kém hơn và không gây đau đớn cho trẻ.
– Đánh giá và can thiệp kịp thời: Bác sĩ sẽ kiểm tra sự phát triển của xương hàm và các răng vĩnh viễn đang mọc bên dưới. Qua đó, họ có thể phát hiện sớm các bất thường như răng mọc lệch, sai khớp cắn và đưa ra các giải pháp can thiệp sớm (ví dụ như chỉnh nha tiền chỉnh) để phòng ngừa các vấn đề phức tạp hơn trong tương lai.
– Tư vấn và hướng dẫn cá nhân hóa: Dựa trên tình trạng răng miệng cụ thể của trẻ, bác sĩ sẽ tư vấn những cách chăm sóc cụ thể, phù hợp với từng độ tuổi. Các chuyên gia sẽ hướng dẫn cha mẹ cách chọn bàn chải, kem đánh răng đúng cách và phương pháp đánh răng hiệu quả nhất để phòng ngừa sâu răng một cách tối ưu.
Sâu răng ở trẻ em không phải là bệnh lý đơn giản. Việc chủ động phòng ngừa, chăm sóc đúng cách và thăm khám nha khoa định kỳ là “chìa khóa vàng” giúp con có một hàm răng khỏe mạnh, một nụ cười rạng rỡ và một tương lai phát triển toàn diện. Đừng ngần ngại đưa con đến nha sĩ ngay hôm nay.


















