Mất răng lâu năm có trồng được không?
Mất răng là tình trạng khá phổ biến ở người trưởng thành. Nhiều người vì bận rộn, e ngại chi phí hoặc chủ quan nên để tình trạng này kéo dài nhiều năm mới tìm cách khắc phục. Lúc này, câu hỏi được đặt ra nhiều nhất là: Mất răng lâu năm có trồng được không? Bài viết dưới đây sẽ giúp bạn hiểu rõ bản chất vấn đề, những khó khăn thường gặp và các giải pháp phục hình phù hợp, dựa trên các nguồn tài liệu y khoa quốc tế uy tín và cơ quan quản lý nhà nước tại Việt Nam.
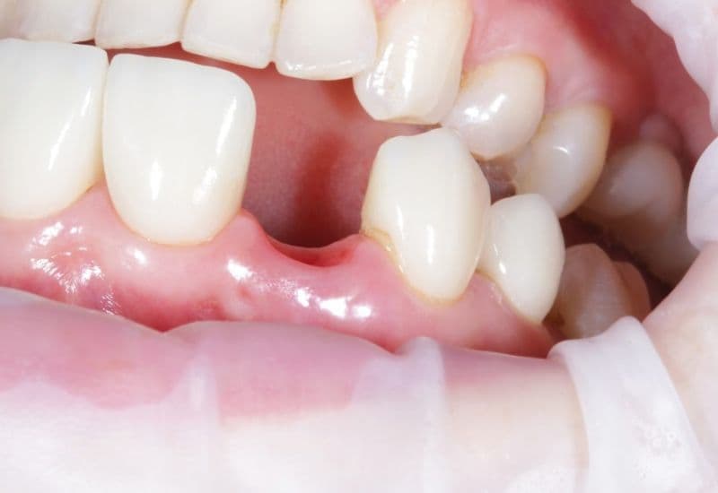
1. Mất răng lâu năm là bao lâu?
Khái niệm “mất răng lâu năm” không có một mốc thời gian cố định trong tất cả các tài liệu. Tuy nhiên, trong thực hành lâm sàng, các chuyên gia thường xem những trường hợp mất răng trên 6 tháng đến vài năm là đã bắt đầu xuất hiện những biến đổi đáng kể ở xương hàm.
Theo thông tin từ American Dental Association, sau khi răng bị nhổ hoặc rụng, xương ổ răng sẽ bắt đầu tiêu dần vì không còn lực kích thích từ chân răng. Quá trình tiêu xương này diễn ra mạnh nhất trong 6 – 12 tháng đầu tiên. Điều đó có nghĩa là nếu bạn không phục hình trong khoảng thời gian này, cấu trúc xương nâng đỡ sẽ thay đổi rõ rệt.
Tại Việt Nam, Cổng thông tin của Bộ Y tế cũng khuyến cáo người dân nên phục hình răng sớm sau khi mất để tránh tiêu xương, xô lệch răng và ảnh hưởng chức năng nhai. Như vậy, về mặt chuyên môn, khi răng đã mất trên 1 năm mà chưa được trồng lại, nhiều bác sĩ sẽ xếp vào nhóm “mất răng lâu năm”.

2. Vì sao mất răng lâu năm gây khó trồng lại?
Để trả lời chính xác câu hỏi mất răng lâu năm có trồng được không, trước hết cần hiểu những biến đổi sinh học xảy ra khi răng bị mất trong thời gian dài.
2.1. Tiêu xương hàm và tụt nướu
Khi chân răng không còn, xương ổ răng mất đi kích thích cơ học từ lực nhai. Theo phân tích đăng trên thư viện y khoa của National Institutes of Health, quá trình tiêu xương có thể làm giảm cả chiều cao và chiều rộng của xương hàm, khiến nền tảng nâng đỡ cho trụ implant trở nên hạn chế.
Ngoài ra, mô nướu phía trên cũng có xu hướng tụt xuống theo sự tiêu xương. Điều này làm thay đổi hình dạng cung hàm, ảnh hưởng đến thẩm mỹ và khiến việc đặt trụ implant trở nên phức tạp hơn.
2.2. Xô lệch răng và sai khớp cắn
Không chỉ vùng mất răng bị ảnh hưởng, các răng kế cận và răng đối diện cũng thay đổi vị trí. Theo tài liệu giáo dục sức khỏe cộng đồng của Centers for Disease Control and Prevention, khi một răng mất đi, các răng xung quanh có xu hướng nghiêng vào khoảng trống, còn răng đối diện có thể trồi xuống.
Sự xô lệch này làm khớp cắn mất cân bằng, gây khó khăn cho việc thiết kế phục hình. Trong một số trường hợp, bác sĩ phải chỉnh nha trước khi cấy ghép để đảm bảo kết quả bền vững.
3. Mất răng lâu năm có trồng implant được không?
Đây là nội dung được quan tâm nhất: Mất răng lâu năm có trồng được không nếu đã xảy ra tiêu xương và thay đổi cấu trúc hàm?
3.1. Mất răng lâu năm có trồng được không nếu đã tiêu xương?
Câu trả lời là: Vẫn có thể, nhưng cần đánh giá kỹ lưỡng. Theo hướng dẫn lâm sàng được công bố bởi World Health Organization, việc cấy ghép implant đòi hỏi đủ mật độ và thể tích xương để đảm bảo trụ tích hợp vững chắc.
Trong trường hợp xương bị tiêu nhiều, bác sĩ có thể chỉ định ghép xương hoặc nâng xoang (đối với hàm trên). Các kỹ thuật này giúp tái tạo nền xương trước khi đặt implant. Thời gian điều trị vì vậy sẽ kéo dài hơn so với người phục hình sớm.
Điều quan trọng là người bệnh cần được chụp phim CT Cone Beam để đánh giá chính xác mức độ tiêu xương và lên kế hoạch điều trị phù hợp.

3.2. Mất răng lâu năm có trồng được không nếu có bệnh nền?
Một số người lo lắng rằng tuổi cao hoặc bệnh lý toàn thân sẽ khiến việc trồng răng không khả thi. Tuy nhiên, theo tài liệu chuyên môn của National Health Service, các bệnh như tăng huyết áp, tiểu đường vẫn có thể kiểm soát tốt và không phải chống chỉ định tuyệt đối với implant.
Điều kiện tiên quyết là bệnh phải được kiểm soát ổn định, người bệnh tuân thủ hướng dẫn điều trị và theo dõi sát sao. Như vậy, với sự tiến bộ của kỹ thuật hiện đại, phần lớn trường hợp đều có thể được xem xét cấy ghép nếu đáp ứng tiêu chí an toàn.
4. Các phương pháp phục hình khi mất răng lâu năm
Trong thực tế, không phải ai cũng phù hợp với implant ngay từ đầu. Tùy tình trạng cụ thể, bác sĩ sẽ tư vấn giải pháp tối ưu.
4.1. Cấy ghép implant
Implant là phương pháp đặt trụ titanium vào xương hàm để thay thế chân răng đã mất. Theo đánh giá từ U.S. Food and Drug Administration, implant nha khoa có tỷ lệ thành công cao nếu được thực hiện đúng chỉ định và chăm sóc tốt.
Ưu điểm nổi bật là khả năng phục hồi chức năng nhai gần giống răng thật và hạn chế tiêu xương tiếp diễn. Tuy nhiên, với trường hợp tiêu xương nặng, có thể cần can thiệp bổ sung trước khi đặt trụ.
4.2. Cầu răng sứ
Cầu răng là phương pháp mài hai răng bên cạnh để làm trụ nâng đỡ răng giả ở giữa. Theo khuyến cáo từ Bộ Y tế trong các tài liệu hướng dẫn chăm sóc răng miệng cộng đồng, cầu răng có thể áp dụng khi răng kế cận còn khỏe mạnh.
Tuy nhiên, phương pháp này không ngăn được tiêu xương tại vị trí mất răng và có thể ảnh hưởng đến răng trụ về lâu dài.
4.3. Hàm giả tháo lắp
Đây là lựa chọn chi phí thấp hơn, phù hợp với người mất nhiều răng hoặc không đủ điều kiện phẫu thuật. Theo phân tích của World Health Organization về sức khỏe răng miệng toàn cầu, hàm giả tháo lắp giúp cải thiện khả năng ăn nhai nhưng độ ổn định và cảm giác không thể so sánh với implant.
Người dùng cần tái khám định kỳ để điều chỉnh khi xương hàm tiếp tục thay đổi theo thời gian.

Qua những phân tích trên, có thể thấy câu hỏi mất răng lâu năm có trồng được không không có đáp án “có” hay “không” một cách đơn giản. Phần lớn trường hợp vẫn có thể phục hình bằng implant nếu được thăm khám, đánh giá kỹ và áp dụng các kỹ thuật hỗ trợ khi cần thiết. Việc trì hoãn điều trị càng lâu thì quá trình can thiệp càng phức tạp và tốn thời gian hơn.
Do đó, khi rơi vào tình trạng mất răng kéo dài, bạn nên chủ động đến cơ sở chuyên khoa để được chụp phim, kiểm tra mật độ xương và tư vấn phương án phù hợp. Quyết định sớm không chỉ giúp phục hồi chức năng ăn nhai mà còn bảo vệ cấu trúc xương hàm và sức khỏe răng miệng lâu dài.

















