Phân biệt cao răng và mảng bám, những cách để loại bỏ
Khá nhiều người đã quen thuộc với thuật ngữ “cao răng và mảng bám răng”, nhưng thường xuyên gặp sự nhầm lẫn giữa chúng. Vậy thực sự, mảng bám răng là khái niệm gì? Nó khác biệt như thế nào so với cao răng? Tác động và hậu quả của mảng bám răng là như thế nào? Làm sao để phòng ngừa không để mảng bám quá nhiều?
1. Khái niệm cao răng và mảng bám răng
1.1 Cao răng
Cao răng (hay còn gọi là vôi răng) là một hiện tượng tự nhiên khi các khoáng chất như canxi và phosphate tạo thành một lớp cứng màu trắng hoặc vàng trên men răng. Nguyên nhân chủ yếu của vôi răng liên quan đến chế độ ăn uống, nước uống, và gen di truyền.
Tuy vôi răng thường không gây vấn đề sức khỏe nghiêm trọng, nhưng có thể khiến bạn gặp nguy cơ về sâu răng hay viêm lợi. Duy trì chế độ ăn uống cân đối, chăm sóc răng đúng cách, và thăm khám bác sĩ nha khoa định kỳ là biện pháp hiệu quả để kiểm soát và quản lý tình trạng vôi răng.
1.2 Mảng bám
Mảng bám răng là sự tích tụ của một lớp màng mờ và kết dính trên bề mặt răng. Mảng bám chủ yếu được tạo ra từ vi khuẩn, tạp chất thức ăn và nước bọt, tạo nên một môi trường lý tưởng cho sự phát triển và sinh sôi của vi khuẩn trong miệng.
Khi thức ăn và đường tồn tại trong miệng, vi khuẩn phát triển và bắt đầu sinh ra mảng bám. Nếu không được loại bỏ đều đặn thông qua vệ sinh răng miệng, mảng bám này có thể biến thành cao răng (hoặc vôi răng), làm tăng khả năng gây hại cho răng và nướu.
Nhiều người vẫn nghĩ mảng bám và cao răng là một
Mảng bám không chỉ tạo điều kiện cho sự phát triển của vi khuẩn mà còn làm tăng nguy cơ của nhiều vấn đề nha khoa như viêm nướu, sâu răng, và hôi miệng. Hơn nữa, khi mảng bám cứng hóa, việc loại bỏ nó trở nên khó khăn hơn và đòi hỏi sự can thiệp của bác sĩ nha khoa.
Để ngăn chặn sự hình thành của mảng bám và bảo vệ sức khỏe nướu và răng, việc duy trì một lịch trình vệ sinh răng đều đặn là quan trọng. Chải răng đúng cách, sử dụng chỉ nha khoa, và thăm bác sĩ nha khoa định kỳ để làm sạch chuyên sâu là những biện pháp hiệu quả để giữ cho miệng luôn trong tình trạng lành mạnh.
2. Phân biệt cao răng và mảng bám
Nhiều người thường nhầm lẫn rằng cao răng và mảng bám là một. Nhưng điều này không chính xác vì mảng bám có tính chất mềm, cao răng thì cứng hơn. Mảng bám là nguyên nhân gây nên cao răng.
2.1. Hình thành cao răng và mảng bám như thế nào?
– Mảng bám răng xuất hiện khi vi khuẩn, thức ăn, và tạp chất tích tụ trên bề mặt răng và nướu. Vi khuẩn trong miệng tạo thành một lớp màng và kết dính, gọi là mảng bám.
– Cao răng được hình thành nếu mảng bám răng không được làm sạch sau những khoảng thời gian dài.
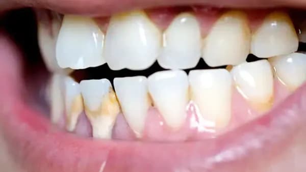
2.2. Quan sát bên ngoài
Mảng bám răng:
Thường có màu trắng đục hoặc vàng nhạt lẫn với màu sắc của răng thật nên khó để nhân biết. Mảng bám răng có kết cấu như bã đậu, mềm và kết dính với nhau. Mảng bám răng thường có mùi khó chịu nên gây ra bệnh hôi miệng nếu không được làm sạch một cách thường xuyên.
Cao răng:
Cao răng thường có màu trắng ngà pha vàng, có trường hợp màu nâu hoặc đen còn gọi là cao răng huyết thanh do lợi bị chảy máu hòa lẫn vào lớp cao răng. Cao răng có cấu trúc cứng như vôi. Nếu được lấy ra ngoài thì lớp cao răng giòn và dễ vỡ.
2.3. Cách xử lý
– Mảng bám răng: Chải răng thường xuyên và đúng cách là bạn đã loại bỏ được mảng bám.
– Cao răng: Cần đền nha khoa để được thực hiện lấy cao răng.
Mảng bám răng hình thành ngay từ khi bạn đánh răng xong
3. Tác hại của vôi răng và mảng bám răng
Vôi răng và mảng bám răng, nếu không được kiểm soát và xử lý đúng cách, có thể gây ra nhiều tác hại cho sức khỏe nướu và răng.
3.1 Tác hại của vôi răng
– Tăng nguy cơ sâu răng: Vôi răng là dấu hiệu của việc mất khoáng chất từ men răng, làm cho bề mặt răng trở nên yếu. Điều này tăng nguy cơ hình thành sâu răng và gây tổn thương cho cấu trúc răng.
– Răng nhạy cảm hơn. Do men răng yếu, răng trở nên nhạy cảm hơn đối với thức ăn và đồ uống nóng, lạnh, chua, hay ngọt. Tình trạng nhạy cảm có thể khiến người mắc cảm thấy không thoải mái và làm giảm chất lượng cuộc sống hàng ngày.
– Ảnh hưởng đến ăn uống. Nếu không được xử lý, vôi răng có thể làm cho việc ăn uống bị đau đớn dẫn đến chán ăn, ảnh hưởng đến sức khỏe tổng thể.
Định kỳ đưa trẻ đi làm sạch răng miệng tại nha khoa để phòng tránh các bệnh răng miệng
3.2 Tác hại của mảng bám răng
– Mảng bám chứa nhiều vi khuẩn có thể gây viêm nướu và nhiễm trùng nướu. Nếu không được điều trị, điều này có thể dẫn đến các vấn đề nha khoa nghiêm trọng.
– Mảng bám chứa acid có thể tác động lên men răng, gây mất khoáng chất và hình thành sâu răng. Điều này có thể làm suy giảm cấu trúc răng và gây đau đớn.
– Mảng bám, khi tích tụ nhiều, có thể tạo điều kiện thuận lợi cho sự phát triển của vi khuẩn gây mùi hôi miệng.
– Mảng bám có thể tạo ra các vết ố vàng hoặc nâu trên bề mặt răng, làm mất thẩm mỹ và tự tin trong giao tiếp.
Tóm lại, vôi răng và mảng bám răng là hai khái niệm hoàn toàn khác nhau. Mảng bám chính là nguyên nhân dẫn đến vôi răng (hay còn gọi là cao răng). Vôi răng và mảng bám răng có thể gây ra nhiều vấn đề sức khỏe răng và nướu. Vôi răng tăng nguy cơ sâu răng và khiến răng trở nên nhạy cảm. Trong khi mảng bám răng có thể dẫn đến viêm nướu, sâu răng, hôi miệng, và mất thẩm mỹ răng. Để ngăn chặn tác hại của cả hai vấn đề, duy trì vệ sinh răng đúng cách và thăm khám bác sĩ nha khoa định kỳ là rất quan trọng nhằm hiểu rõ về nguyên nhân và triệu chứng giúp phát hiện và xử lý sớm, bảo vệ sức khỏe răng và nướu.
Bài viết trên đây đã cung cấp cho bạn đọc những thông tin về khái niệm cũng như cách phân biệt cao răng và mảng bám răng. Nếu có bất kỳ thắc mắc nào, hãy liên hệ đến khoa Răng Hàm Mặt của Thu Cúc TCI bạn nhé.


















