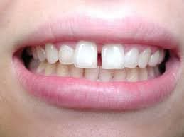
Điểm tên những cách phục hình răng thưa
Răng thưa không chỉ ảnh hưởng đến tính thẩm mỹ, làm bạn mất tự tin khi giao tiếp, mà còn gây khó khăn trong các hoạt động ăn nhai hàng ngày. Trước khi tìm biện pháp phục hình răng thưa, bạn cần hiểu nguyên nhân gây ra hiện tượng này.
1. Vì sao răng thưa?
Tình trạng hàm răng bị thưa có thể xuất phát từ nhiều nguyên nhân khác nhau. Ngoài những vấn đề liên quan đến sức khỏe răng miệng, một số yếu tố bẩm sinh hoặc thói quen xấu cũng có thể giải thích tại sao răng trở nên thưa. Hàm răng thưa có thể ảnh hưởng đến tính thẩm mỹ và gây khó khăn trong việc ăn nhai hàng ngày. Dưới đây là những lý do chính gây ra tình trạng răng thưa:
1.1. Mầm răng lệch
Mầm răng bị mọc lệch là một trong những nguyên nhân khiến hàm răng bị thưa bẩm sinh. Khi phần gốc chân răng bị lệch, răng khi mọc lên sẽ không thẳng như mong muốn. Ví dụ, khi răng bị vẩu hoặc bị chìa, các khoảng trống xuất hiện giữa các răng, gây ra tình trạng răng thưa.
Thiếu mầm răng bẩm sinh hoặc răng mọc ngầm cũng là nguyên nhân khiến khoảng trống giữa các răng ngày càng lớn hơn. Kết quả là, những răng này có xu hướng di chuyển về vị trí mà răng bị khuyết, gây ra tình trạng xô lệch và tạo ra các khoảng trống. Các hiện tượng này thường xuất hiện do rối loạn gen ở các trẻ nhỏ. Tuy nhiên, nếu được phát hiện kịp thời, tình trạng này có thể được khắc phục.
1.2. Bệnh lý răng
Một số vấn đề về sức khỏe răng miệng có thể gây ra tình trạng răng thưa, chẳng hạn như sâu răng, viêm nướu, phần cổ chân răng bị mòn, và viêm nha chu. Nếu những vấn đề này không được giải quyết kịp thời, chúng có thể gây ra nhiều biến chứng và làm cho răng ngày càng trở nên thưa hơn.
Răng thưa có thể ở cả trẻ em và người lớn
Ví dụ, nếu răng bị hư tổn, lung lay và rụng khỏi ổ, việc không xử lý kịp thời có thể ảnh hưởng đến những chiếc răng xung quanh. Chúng có thể dịch chuyển để điền vào khoảng trống bị khuyết răng. Tình trạng này kéo dài có thể làm cho răng trở nên thưa hơn và xa cách nhau.
1.3. Răng tự động dịch chuyển
Một số trường hợp hàm răng có xu hướng tự dịch chuyển cũng có thể là nguyên nhân khiến răng trở nên thưa. Hiện tượng này đặc biệt rõ ràng ở trẻ em trong giai đoạn phát triển. Khi đến độ tuổi trưởng thành, mặc dù xu hướng dịch chuyển không còn quá rõ ràng nhưng vẫn có những sự thay đổi nhất định.
Do đó, những người có hàm răng bị thưa từ trước thì theo thời gian, những khoảng trống này có thể trở nên lớn hơn. Bên cạnh những trường hợp dịch chuyển khiến răng thưa, cũng có một số trường hợp ít hơn khiến hàm răng trở nên khít và thu hẹp các khoảng trống này.
1.4. Sai trong cách chăm sóc răng
Nhiều nha sĩ đã chia sẻ quan điểm rằng các thói quen chăm sóc răng miệng hàng ngày có thể tác động đến hàm răng. Ví dụ, việc sử dụng tăm xỉa răng không đúng cách, thường xuyên thở bằng miệng, hoặc sử dụng chỉ nha khoa không đúng cách có thể dần làm tăng khoảng trống giữa các răng.
Đặt lưỡi sai vị trí trong thời gian dài cũng có thể làm cho các răng dần rời xa nhau. Tuy nhiên, đặt lưỡi đúng cách có thể cải thiện cấu trúc hàm răng và làm cho gương mặt trở nên thon gọn và cân đối hơn rất nhiều.
Nhìn chung, tình trạng răng thưa không chỉ ảnh hưởng đến tính thẩm mỹ mà còn gây ra các vấn đề về sức khỏe răng miệng. Nếu không được giải quyết kịp thời, tình trạng này có thể gây tổn thương cho hàm răng. Do đó, nếu bạn đang gặp phải các vấn đề về răng miệng, hãy nên đến gặp nha sĩ và nhận điều trị kịp thời. Sau đó, bạn cần thực hiện các biện pháp để khắc phục tình trạng răng thưa, nhằm mang lại hiệu quả tốt nhất.
Chăm sóc răng miệng đúng cách rất quan trọng để có một hàm răng đẹp
2. Biện pháp khắc phục cho răng thưa
Hiện nay, các phương pháp nha khoa để chăm sóc và điều trị vấn đề sức khỏe răng miệng đã được cải thiện đáng kể. Do đó, những người bị răng thưa không cần lo lắng nữa. Có nhiều giải pháp nha khoa phổ biến đã được áp dụng để giải quyết, phục hình răng thưa, bao gồm:
2.1. Hàn răng Composite để phục hình răng thưa
Hàn răng thưa là phương pháp sử dụng vật liệu nhân tạo (Composite) tương tự màu răng để chế tạo các cạnh răng, nhằm làm tăng kích cỡ của thân răng trong trường hợp răng bị thưa.
Ưu điểm:
– Không cần phải mài cùi răng hoặc xâm lấn vào răng thật. Kỹ thuật hàn răng thưa chỉ đơn giản là bù thêm vật liệu trám vào khoảng trống giữa các răng.
– Thời gian thực hiện nhanh chóng, chỉ khoảng 15 phút cho một khoảng trống giữa các răng.
– Giá thành thực hiện thấp.
Nhược điểm:
– Miếng trám có độ bền không cao, dễ bị bong ra khi ăn uống, vì vậy cần cẩn thận khi ăn những thức ăn cứng và hạn chế thay đổi nhiệt độ đột ngột trong miệng (ví dụ như ăn đồ nóng và uống nước đá).
– Tính thẩm mỹ không cao, có thể dễ dàng nhận thấy bằng mắt thường và màu trám có thể thay đổi theo thời gian.
– Phương pháp này chỉ áp dụng cho những khoảng trống nhỏ hơn 2mm giữa các răng.
Nhìn chung, hàn răng thưa là một phương pháp tiết kiệm thời gian và tiền bạc, nhưng cần phải lưu ý về độ bền và tính thẩm mỹ của miếng trám, cũng như kích thước của khoảng trống giữa các răng để xem xét phù hợp với từng trường hợp.
2.2. Bọc sứ để phục hình răng thưa
Trong trường hợp khoảng trống giữa răng thưa lớn, nha sĩ sẽ thực hiện mài bớt một phần của răng thật, sau đó tạo hình cho chiếc thân răng sứ mới có kích cỡ lớn hơn để đặt lên trên, khắc phục tình trạng răng thưa nhanh chóng.
Ưu điểm:
– Tính thẩm mỹ cao, răng sứ được chế tác chuẩn về màu sắc và hình dáng, đặc biệt là với dòng răng sứ không kim loại, khiến răng sứ giả trông rất tự nhiên.
– Thời gian thực hiện tương đối nhanh, chỉ mất vài ngày là có thể hoàn tất.
– Kỹ thuật này không chỉ khắc phục vấn đề răng thưa mà còn cải thiện hình dáng và màu sắc của răng, giúp răng trở nên đều đặn và trắng sáng.
– Đối với những trường hợp răng bị màu xỉn hoặc hình dáng không đẹp, phương pháp này cũng có thể điều chỉnh kích cỡ của răng thật, giải quyết các vấn đề như răng mẻ hoặc răng to xấu.

Nhược điểm:
– Phương pháp này không bảo tồn răng thật 100% vì phải mài cùi răng để bọc lại bằng răng sứ. Nếu có nhiều khoảng trống giữa các răng, số lượng răng cần phải mài sẽ càng lớn.
– Chi phí khá lớn, đặc biệt khi phải thực hiện nhiều răng. Do đó, phương pháp này thường chỉ được áp dụng khi có ít răng thưa, đặc biệt là trong trường hợp làm khít răng cửa.
– Phương pháp này chỉ phù hợp với tình trạng răng thưa nhẹ, không quá khấp khểnh và có khớp cắn chuẩn, vì không thể mài cùi răng quá nhiều.
Đối với các trường hợp khoảng trống giữa răng thưa nhỏ, có thể sử dụng phương pháp dán mặt sứ Veneer, ưu điểm của phương pháp này là không phải mài răng nhiều, tuy nhiên, chỉ định sử dụng khá khắt khe.
2.3 Niềng răng để phục hình răng thưa
Niềng răng là một giải pháp hiệu quả và lâu dài, đảm bảo thẩm mỹ và không gây xâm lấn cho răng, bảo tồn răng thật 100%. Có nhiều phương pháp niềng răng để lựa chọn, bao gồm niềng răng mắc cài kim loại, mắc cài sứ và phương pháp hiện đại nhất là dùng máng trong suốt #Invisalign.
Ưu điểm:
– Niềng răng đảm bảo thẩm mỹ và không gây xâm lấn cho răng, giữ cho răng thật 100%.
– Các phương pháp niềng răng chỉ làm răng di chuyển theo kế hoạch điều trị của bác sĩ, không gây đau đớn hay ê buốt cho răng.
– Hiệu quả của niềng răng là lâu dài, thậm chí vĩnh viễn sau khi hoàn thành điều trị.
– Không chỉ khít lại răng mà còn chỉnh răng đều đẹp và giải quyết các vấn đề về khớp cắn.
Nhược điểm:
– Thời gian điều trị khá lâu, từ 12 tháng – 24 tháng với các loại mắc cài truyền thống. Tuy nhiên, với phương pháp Niềng răng bằng máng trong suốt Invisalign, thời gian có thể tiết kiệm đi một nửa, chỉ từ 6 tháng – 12 tháng tùy theo tình trạng răng.
– Niềng răng mắc cài có thể gây vướng víu khi ăn nhai và ảnh hưởng đến thẩm mỹ khuôn mặt.
Dựa vào những ưu nhược điểm trên, bạn có thể lựa chọn phương pháp điều trị phù hợp với tình trạng răng thưa của mình. Để biết chính xác phương pháp nào phù hợp nhất, bạn có thể liên hệ khoa Răng Hàm Mặt của Hệ thống Y tế Thu Cúc TCI để nhận được tư vấn trực tiếp.

















