Những vấn đề liên quan đến hàn khe răng thưa
Hàn khe răng thưa là một trong những phương pháp được nhiều người ưa chuộng do nó có chi phí thấp và thời gian thực hiện nhanh. Tuy nhiên, tính hiệu quả của việc hàn răng cửa thưa phụ thuộc vào tình trạng ban đầu của răng và kỹ năng của bác sĩ. Việc này nên được thảo luận cụ thể với bác sĩ nha khoa để đảm bảo sự lựa chọn phù hợp nhất cho tình trạng răng của bạn.
1. Hàn răng thưa là gì?
1.1. Khái niệm
Việc hàn răng thưa nói chung, là một quá trình nha khoa tương đối đơn giản, nhưng lại mang lại nhiều lợi ích. Quá trình này bản chất là việc kết nối các mảnh răng thưa bằng sử dụng vật liệu nhân tạo, thường là composite, để tạo nên thẩm mỹ và chức năng tốt hơn cho răng.
Hàn răng cửa thưa bằng cách trám các vật liệu nhân tạo giúp răng trở nên hoàn hảo hơn. Quá trình này bao gồm tạo hình và đúc kích thước của các mảnh răng, từ đó loại bỏ khe hở và khuyết điểm thẩm mỹ trên răng. Vật liệu nhân tạo được sử dụng thường có màu sắc và tính chất tương tự với răng tự nhiên, đảm bảo sự hòa hợp về màu sắc và tổng thể của răng.
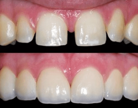
Thưa ở răng cửa gây mất thẩm mỹ khi giao tiếp
Loại vật liệu phổ biến nhất được sử dụng trong quá trình hàn răng thưa là composite. Điểm đặc biệt của composite chính là khả năng tạo ra màu sắc tương đồng với răng tự nhiên, giúp tạo nên một sự hài hòa tự nhiên. Khi bạn sử dụng phương pháp này, bạn sẽ cảm thấy tự tin trong việc giao tiếp, bởi người xung quanh sẽ rất khó nhận ra sự khác biệt giữa răng tự nhiên và răng đã được hàn trám.
Ngoài ra, composite còn có những ưu điểm nổi bật khác, bao gồm độ nén và khả năng chịu lực tốt trong môi trường trong khoang miệng. Điều này đồng nghĩa với việc sau khi hàn răng, chúng có thể chịu đựng sự mài mòn và áp lực trong quá trình thức ăn và nói chuyện hàng ngày mà không gây ra vấn đề gì đáng lo ngại.
1.2. Kỹ thuật hàn khe răng thưa có thực hiện được không?
Có một số điều bạn cần biết về việc hàn răng cửa thưa. Đầu tiên, đó là việc hàn răng cửa thưa hoàn toàn có thể thực hiện được và là một giải pháp thẩm mỹ hiệu quả để đóng kín khoảng trống giữa hai răng, tạo nên sự khít sát và cải thiện tính thẩm mỹ cho răng khi giao tiếp hàng ngày.
Tuy nhiên, không phải tất cả các tình huống răng cửa thưa đều phù hợp cho quá trình hàn trám răng thẩm mỹ. Thông thường, hàn răng thường chỉ được khuyến nghị cho các trường hợp khi khoảng trống giữa hai răng nhỏ hơn 2mm. Trong những trường hợp này, hàn răng có thể mang lại hiệu quả tốt.
Tuy vậy, nếu khoảng trống giữa hai răng cửa thưa quá lớn, thì việc hàn răng có thể không phải là phương án tốt nhất. Trong trường hợp này, bác sĩ nha khoa có thể đề xuất sử dụng phương pháp khác, chẳng hạn như bọc răng sứ, để cải thiện tính thẩm mỹ và chức năng của răng cửa thưa.
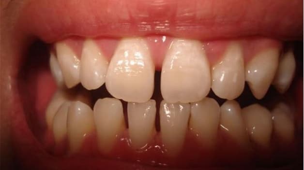
Hàn khe răng bị thưa hoàn toàn có thể thực hiện được
Để biết chính xác liệu hàn răng cửa thưa có phù hợp cho tình trạng của bạn hay không, bạn cần tham khảo ý kiến chuyên nghiệp từ bác sĩ nha khoa. Họ sẽ thực hiện một cuộc kiểm tra tổng quát và xem xét tình trạng cụ thể của răng cửa thưa của bạn trước khi đưa ra phương án điều trị tối ưu.
1.3. Tính hiệu quả của hàn khe răng thưa
Răng thưa là một vấn đề phổ biến và gây nhiều mặc cảm cho người bị. Vấn đề thẩm mỹ là một trong những điểm đáng chú ý nhất, nhưng nó cũng ảnh hưởng đến chức năng ăn nhai hàng ngày. Vì vậy, ngoài các phương pháp điều trị như bọc răng sứ hoặc niềng răng, hàn răng cũng được xem là một giải pháp nhanh chóng và hiệu quả. Đặc biệt, việc hàn răng thường có chi phí thấp, phù hợp với nhiều người.
Hàn răng cửa thưa mang lại nhiều lợi ích đáng kể như sau:
– Bảo tồn răng thật và cải thiện chức năng ăn nhai: Hàn răng giúp duy trì răng thật và đảm bảo chức năng ăn nhai hiệu quả.
– Khắc phục tình trạng sâu răng và ảnh hưởng xung quanh: Quá trình hàn răng có thể giúp giải quyết tình trạng sâu răng và các vấn đề liên quan đến răng xung quanh.
– Tính thẩm mỹ cao và tự tin trong giao tiếp: Hàn răng cửa thưa giúp cải thiện tính thẩm mỹ của răng, tạo sự tự tin khi giao tiếp và khắc phục khe hở một cách nhanh chóng.
– Thời gian thực hiện nhanh chóng: Quá trình hàn răng cửa thưa thường diễn ra rất nhanh, chỉ mất khoảng 15 phút cho mỗi kẽ răng thưa.
– Không cần mài răng hay nhổ răng: Một ưu điểm lớn của hàn răng là không cần phải mài răng tự nhiên hoặc nhổ răng. Điều này giúp duy trì tính bền vững của răng tự nhiên và không gây yếu răng như phương pháp bọc răng sứ.
– Sử dụng vật liệu hàn trám tự nhiên: Vật liệu được sử dụng để hàn răng có màu sắc tương tự với răng tự nhiên, đảm bảo sự hài hòa và tự nhiên khi bạn giao tiếp.
2. Những yếu tố ảnh hưởng đến chất lượng hàn khe răng thưa
Mặc dù hàn răng cửa thưa là một thủ thuật đơn giản trong nha khoa, nhưng để đảm bảo hiệu quả và tính thẩm mỹ lâu dài, có một số yếu tố quan trọng cần xem xét:
– Vật liệu trám răng cửa thưa: Loại vật liệu trám răng được sử dụng có ảnh hưởng trực tiếp đến độ bền của miếng hàn răng. Composite, GIC hoặc sứ là những vật liệu phổ biến thường được sử dụng tại các cơ sở nha khoa. Việc kết hợp vật liệu với công nghệ trám răng tiên tiến và hiện đại có thể đảm bảo tính chất lượng và bền đẹp của miếng hàn răng.
– Kỹ thuật và tay nghề của bác sĩ: Kỹ thuật và tay nghề của bác sĩ nha khoa đóng vai trò quan trọng trong việc thực hiện hàn răng cửa thưa. Bác sĩ có kỹ thuật cao và kinh nghiệm sẽ đảm bảo chất lượng ca hàn trám, giảm nguy cơ miếng trám bị bung sứt sau thời gian.
Kỹ thuật và tay nghề bác sĩ cũng ảnh hưởng đến chất lượng hàn khe răng thưa
– Chế độ chăm sóc sau hàn răng cửa thưa: Chăm sóc sau khi hàn răng cũng đóng một vai trò quan trọng trong bảo quản miếng hàn răng. Bạn nên tuân thủ các hướng dẫn của bác sĩ và tuân thủ chế độ ăn uống hợp lý. Tránh ăn thức ăn quá cứng, quá dai, hoặc thức ăn quá nóng hoặc quá lạnh để đảm bảo miếng trám được bền lâu theo thời gian.
– Chi phí hàn răng cửa thưa: Chi phí hàn răng cửa thưa thường phụ thuộc vào nhiều yếu tố, bao gồm tay nghề của bác sĩ, cơ sở nha khoa, loại vật liệu trám răng, và địa điểm địa geơgrapical. Tùy theo mỗi trường hợp cụ thể khác nhau mà mức giá dao động khác nhau.
Hy vọng thông tin này sẽ giúp bạn hiểu rõ hơn về quá trình hàn khe răng thưa và những yếu tố quan trọng để đảm bảo kết quả tốt nhất cho bạn. Nếu bạn còn thắc mắc gì khác liên quan đến hàn răng cửa thưa, hãy thảo luận thêm với bác sĩ nha khoa của bạn.


















