Thực hư tin đồn hoàng liên trị sâu răng
Trong thời đại mà sức khỏe răng miệng ngày càng được quan tâm, nhiều người tìm đến các phương pháp tự nhiên để chăm sóc răng miệng. Một trong những bí quyết được nhắc đến nhiều nhất là sử dụng “hoàng liên” – một loại thảo dược có nguồn gốc từ Trung Quốc. Bài viết này của Thu Cúc TCI sẽ khám phá thực hư tin đồn hoàng liên trị sâu răng hiệu quả, qua đó giúp bạn đọc có thêm những lựa chọn trong chăm sóc sức khỏe răng miệng, đọc ngay bạn nhé!
1. Giải đáp chi tiết thắc mắc: Hoàng liên trị sâu răng hiệu quả hay không?
1.1. Giới thiệu hoàng liên trị sâu răng
Hoàng liên, tên khoa học coptis chinensis, là một loại thảo dược quý hiếm trong đông y. Loài thực vật này mọc chủ yếu ở các vùng núi của Trung Quốc.
Về mặt hình thái, hoàng liên có rễ màu vàng, thường được sấy khô và chế biến thành nhiều dạng bào chế khác nhau. Phần được sử dụng nhiều nhất của hoàng liên là rễ, nơi chứa nhiều hoạt chất có giá trị y học, đặc biệt là berberine. Berberine là một alcaloid sở hữu đặc tính kháng khuẩn, kháng viêm và điều hòa đường huyết.
Trong đông y, hoàng liên được dùng để điều trị các bệnh lý nhiễm trùng, các vấn đề về tiêu hóa và các vấn đề về gan. Ngoài ra, nhờ đặc tính kháng khuẩn, nó còn được sử dụng để điều trị các vấn đề về da. Hoàng liên còn được cho là có hiệu quả rõ rệt trong điều trị sâu răng, bởi khả năng ức chế sự phát triển của vi khuẩn gây sâu răng.
Hoàng liên mọc chủ yếu ở các vùng núi của Trung Quốc.
1.2. Thực hư tin đồn hoàng liên trị sâu răng hiệu quả
Theo một số người, nhờ berberine, hoàng liên trị sâu răng rất hiệu quả. Cụ thể, hoàng liên có công dụng:
– Kháng khuẩn và ngăn ngừa mảng bám: Berberine trong hoàng liên có thể ức chế sự phát triển của vi khuẩn Streptococcus mutans, có thể nói là nguyên nhân chính gây sâu răng. Kiểm soát vi khuẩn này tăng trưởng giúp ngăn ngừa sự hình thành mảng bám, giảm nguy cơ sâu răng.
– Kháng viêm: Hoàng liên còn có thể giảm viêm nướu và các mô xung quanh răng, ngăn chặn các bệnh lý phức tạp hơn như bệnh nha chu, duy trì sức khỏe răng miệng tổng thể.
– Giảm đau: Nếu đang bị đau răng, hoàng liên cũng có thể giảm đau nhờ khả năng kháng khuẩn, kháng viêm của nó.
Với niềm tin đó, để trị sâu răng, hoàng liên thường được sử dụng theo các cách sau: Sử dụng dưới dạng nước súc miệng, sử dụng dưới dạng viêm uống, sử dụng dưới dạng trà thảo mộc.
Vậy, thực sự thì hoàng liên trị sâu răng có hiệu quả không? Thực tế thì tác dụng ức chế sự phát triển của nhiều vi khuẩn (bao gồm cả Streptococcus mutans, vi khuẩn thường gặp trong khoang miệng và là một trong những nguyên nhân chính gây sâu răng) đã được chứng minh thông qua một số nghiên cứu. Tuy nhiên, phần lớn các nghiên cứu này được tiến hành trên động vật hoặc trong phòng thí nghiệm, số lượng nghiên cứu lâm sàng trên người vẫn còn hạn chế. Trong đông y, hoàng liên đã được sử dụng hàng thế kỷ như một phương pháp điều trị cho nhiều bệnh lý, bao gồm cả các vấn đề về răng miệng. Tuy nhiên, những ứng dụng này được thực hiện dựa trên kinh nghiệm truyền thống hơn là nghiên cứu khoa học hiện đại. Bởi thế, người bệnh nên thận trọng, tìm hiểu kỹ lưỡng hoặc tham khảo ý kiến chuyên gia y tế trước khi sử dụng hoàng liên, nhất là khi sử dụng song song với các thuốc khác, để tránh các tương tác không mong muốn.
Vi khuẩn Streptococcus mutans, một trong những nguyên nhân chính gây sâu răng.
2. Điều trị sâu răng như thế nào vừa hiệu quả vừa an toàn?
Để trị sâu răng, thay vì sử dụng hoàng liên, một phương pháp truyền miệng, tốt nhất là bạn nên đến phòng nha uy tín gần nhất. Điều trị sâu răng phụ thuộc nhiều vào mức độ nghiêm trọng của tổn thương răng. Dưới đây là các phương pháp điều trị sâu răng theo mức độ nghiêm trọng của tổn thương răng:
– Liệu pháp fluoride: Liệu pháp fluoride thường được chỉ định cho các trường hợp sâu răng nhẹ. Fluoride, với khả năng thúc đẩy quá trình tái khoáng hóa, có thể củng cố men răng hiệu quả. Fluoride có thể được bổ sung thông qua kem đánh răng và nước súc miệng chứa fluoride, gel và miếng dán fluoride hoặc varnish fluoride…
– Trám răng: Trám răng là phương pháp điều trị thông thường cho các trường hợp sâu răng từ nhẹ đến trung bình. Bác sĩ nha khoa sẽ loại bỏ phần răng sâu và trám lỗ hổng bằng vật liệu trám, thường là amalgam, composite hoặc sứ.
– Bọc sứ: Nếu lỗ hổng do phần răng sâu bị loại bỏ để lại quá lớn, bác sĩ sẽ đề nghị người bệnh phục hồi hình dạng và chức năng ăn nhai của răng bằng một mão sứ hoặc kim loại.
– Điều trị tủy răng: Khi sâu răng tiến triển đến tủy răng, bác sĩ nha khoa có thể thực hiện điều trị tủy răng. Quy trình này bao gồm: Loại bỏ tủy nhiễm trùng, vệ sinh và niêm phong kênh tủy để ngăn chặn sự tái nhiễm trùng.
– Nhổ răng: Trong các trường hợp sâu răng nghiêm trọng, không thể phục hồi, nhổ răng có thể là giải pháp cuối cùng. Sau khi nhổ răng, các phương pháp phục hồi như cầu răng hoặc cấy ghép implant có thể được khuyến nghị để khôi phục chức năng ăn nhai và thẩm mỹ.
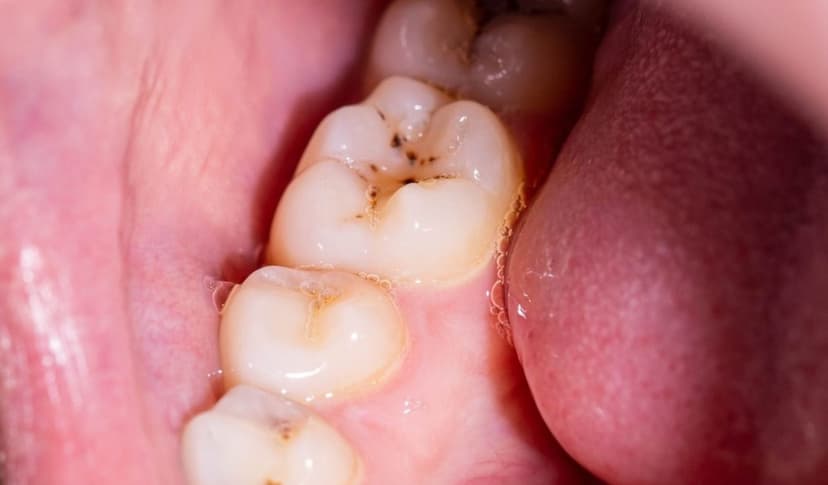
Điều trị sâu răng phụ thuộc nhiều vào mức độ nghiêm trọng của tổn thương răng.
Phía trên là câu trả lời cho câu hỏi hoàng liên trị sâu răng có hiệu quả không. Theo đó, hoàng liên thực sự đã được chứng minh là có thể trị sâu răng. Sử dụng hoàng liên như một phương pháp điều trị sâu răng mang lại hy vọng mới cho nhiều người, đặc biệt là những ai ưa chuộng các giải pháp tự nhiên. Tuy nhiên, những nghiên cứu chứng minh công dụng trị sâu răng của hoàng liên lại chỉ được thực hiện trên động vật và trong phòng thí nghiệm. Bởi thế, hoàng liên không thể thay thế hoàn toàn các phương pháp y tế được thực hiện tại phòng nha. Sử dụng hoàng liên để dự phòng và khi có dấu hiệu sâu răng, đến phòng nha uy tín gần nhất để thăm khám và điều trị, là cách tốt nhất để bảo vệ sức khỏe răng miệng và nụ cười rạng rỡ của bản thân, bạn nhé!


















