Cảnh báo các dấu hiệu của nhiễm trùng răng
Nhiễm trùng răng là một trong những bệnh về răng đặc biệt nguy hiểm vì nguy cơ tử vong ngày càng gia tăng. Đây là hậu quả của chứng sâu răng không được điều trị một cách triệt để. Do đó, việc nhận biết được các dấu hiệu của nhiễm trùng răng cực cần thiết để hạn chế những hệ lụy không mong muốn điển hình là áp xe răng.
1. Cách để nhận biết sớm qua các dấu hiệu của nhiễm trùng răng
1.1 Đau răng là dấu hiệu điển hình của nhiễm trùng răng
Răng bị nhiễm trùng sẽ gây ra những cơn đau tại vị trí của chiếc răng đó, tùy vào mức độ nhiễm trùng mà có thể đau nhẹ hoặc đau dữ dội. Cơn đau thường có đặc điểm diễn ra liên tục và ê buốt kéo dài. Cơn đau có xu hướng lan rộng lên trên hoặc xuống dưới mặt, đến khu vực tai, hàm hoặc đầu.
Đau răng là một trong những dấu hiệu của nhiễm trùng răng
Trong trường hợp bị nhiễm trùng nghiêm trọng, đa số bệnh nhân không thể chỉ ra chính xác chiếc răng đau, bởi vì khi đó toàn bộ vùng xung quanh chiếc răng đều đau do ảnh hưởng. Do đó, bệnh nhân cần phải chụp x-quang để xác định chính xác chiếc răng nhiễm trùng.
1.2 Răng trở nên nhạy cảm hơn
Khi bị nhiễm trùng, răng sẽ nhạy cảm nếu có bất kì nhiệt độ nóng hoặc lạnh. Hiện tượng này xảy ra là răng có các lỗ nhỏ trên men răng do đó khi ăn đồ nóng sẽ có cảm giác đau buốt và kéo dài dai dẳng sau khi ngừng ăn.
Ngoài yếu tố nhiệt độ, răng cũng bị đau khi ăn nhiều đồ ngọt, bởi đường có khả năng kích ứng chiếc răng nhiễm trùng và gây đau. Việc đau răng lặp đi lặp lại này có thể ảnh hưởng đến tủy và tăng nguy cơ làm viêm toàn bộ mạch máu, dây thần kinh.
Bên cạnh đó, động tác nhai, cắn thức ăn sẽ tạo áp lực lên chiếc răng nhiễm trùng và hàm gây ra đau đớn. Cơn đau có thể kéo dài ngay cả khi đã ngừng ăn.
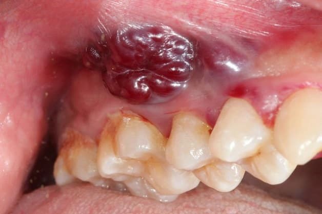
1.3 Răng sưng hoặc chảy mủ
Khi kiểm tra xung quanh chiếc răng đau, vùng nướu có tình trạng đỏ, sưng, thậm chí có thể thấy mụn mọc trên khu vực nướu răng gần chiếc răng đang bị nhiễm trùng và sát chân răng. Thêm vào đó, mủ trắng cũng có thể xuất hiện ở chỗ đau hoặc xung quanh chiếc răng, các cơn đau sẽ giảm khi mủ bắt đầu chảy ra.
Kèm theo hiện tượng chảy mủ là hơi thở hôi, có mùi khó chịu do sự tích tụ mủ bên trong khoang miệng. Trường hợp răng bị nhiễm trùng nghiêm trọng, mủ sẽ chảy ra từ răng hoặc từ nốt mụn, có thể xảy ra bất ngờ khi ổ áp xe bị vỡ.
1.4 Răng bị đổi màu
Khi bị nhiễm trùng, răng có thể đổi màu từ vàng sang nâu đậm hoặc xám. Nguyên nhân của sự đổi màu này là do tủy chết trong răng, các tế bào máu chết đi. Tủy chết sẽ sinh ra các chất độc, như các chất thối rữa, thường xuất hiện trên bề mặt răng thông qua các lỗ nhỏ trên răng.
1.5 Sưng hạch là dấu hiệu của nhiễm trùng răng
Nhiễm trùng răng có khả năng lan sang các vùng lân cận, đặc biệt là khi không được điều trị đúng. Chẳng hạn như, nhiễm trùng sẽ gây ảnh hưởng đến hàm, xoang hoặc vùng hạch bạch huyết bên dưới hàm, cổ. Các hạch có thể sưng, nhức hoặc khi sờ vào sẽ cảm thấy đau.
Khi răng bị nhiễm trùng, vùng dưới cằm, cổ rất dễ bị nổi hạch.
1.6 Bị sốt
Sốt là một trong những phản ứng của cơ thể khi có tình trạng nhiễm trùng. Cơ thể lúc này có thể tăng lên quá 38 độ C.
Ngoài sốt, người bị nhiễm trùng răng còn có các dấu hiệu khác như ớn lạnh, đau đầu, buồn nôn, mất nước.
2. Hậu quả của nhiễm trùng – một bệnh về răng nguy hiểm
Hầu hết các biến chứng phát sinh điển hình như là kết quả của nhiễm trùng lây lan vi khuẩn khi áp-xe không được điều trị:
– Loại bỏ mất chiếc răng: Khi nhiễm trùng phát triển nặng lan ra từ chân răng và đi vào xương hàm và lan ra mô mềm. Nếu không điều trị đúng cách kịp thời, sẽ không thể bảo tồn được răng, cuối cùng phải tiến hành nhổ bỏ răng đang mang mầm bệnh.
– Nang do răng: áp-xe răng không được khắc phục hiệu quả thì sẽ phát triển thành ra một khoang chứa đầy dịch ở dưới chân răng.
– Nhiễm trùng xoang hàm: xảy ra khi răng mang mầm bệnh từ các răng hàm trên có vị trí gần các xoang.
– Viêm nội tâm mạc nhiễm trùng: vi khuẩn xâm nhập vào mạch máu có thể dẫn đến tình trạng nhiễm trùng.
– Hoại tử ở sàn miệng: đây là một biến chứng nhiễm trùng nghiêm trọng, có thể lan rộng xuống vùng dưới lưỡi, hàm và cằm và thậm chí có thể gây tử vong.
– Mối nguy hiểm cao nhất của nhiễm trùng là có thể phát triển gây tắc nghẽn đường hô hấp và ngạt thở dẫn đến tử vong.
Một trong những biến chứng nguy hiểm nhất của nhiễm trùng răng là hoạt tử ở sàn miệng
3. Cách điều trị nhiễm trùng răng như thế nào?
Để điều trị nhiễm trùng răng hiệu quả bác sĩ chuyên khoa khuyến cáo các bệnh nhân có thể áp dụng các phương pháp như:
– Biện pháp tự nhiên: nước muối ấm hoặc pha baking soda để súc miệng. Tuy nhiên, các cách này chỉ giảm đau tạm thời và không thể chữa khỏi tình trạng nhiễm trùng răng. Do đó, bệnh nhân vẫn phải đi khám vì bệnh có thể tiến triển và lây lan rất nhanh.
– Sử dụng thuốc giảm đau, tránh trường hợp nhiễm trùng lan sang các răng bên cạnh.
– Phương pháp điều trị tại nha khoa để loại bỏ ổ nhiễm trùng, bảo tồn răng. Các nha sĩ sẽ tiến hành chích rạch, loại sạch mủ để khắc phục tình trạng đau nhức, sưng tấy. Phương pháp chữa tủy răng và trám răng, phục hình răng sứ sẽ hay được sử dụng trong trường hợp có thể bảo tồn được răng thật. Ngược lại trường hợp viêm nhiễm nghiêm trọng, bác sĩ sẽ nhổ răng để làm sạch mủ, tránh lan sang các răng xung quanh, từ đó giảm đau nhanh chóng.
Đừng để nhiễm trùng răng làm ảnh hưởng đến cuộc sống sinh hoạt, nếu nhận thấy có dấu hiệu của bệnh nhiễm trùng răng, tốt nhất là nên tìm hiểu nguyên nhân tận gốc và cách điều trị càng sớm càng tốt. Duy trì thói quen vệ sinh răng miệng đúng cách sẽ giúp ngăn ngừa các vi khuẩn gây nhiễm khuẩn răng và có nụ cười tươi sáng. Ngoài ra cũng nên định kỳ đến nha khoa 6 tháng/lần để khám răng, cạo cao răng để giữ cho hàm răng luôn sạch khỏe. Đồng thời trong quá trình thăm khám có thể sớm phát hiện ra các bệnh lý răng miệng nguy hiểm và có biện pháp khắc phục kịp thời.


















