Bệnh bạch sản niêm mạc miệng điều trị thế nào?
Bệnh bạch sản niêm mạc miệng là những tổn thương xuất hiện dưới dạng mảng trắng xuất hiện trong niêm mạc miệng. Bệnh lý này thường không gây đau đớn nhưng có thể là nguyên nhân gây nên biến chứng nghiêm trọng.
1. Tổng quan về bạch sản niêm mạc miệng
1.1 Bạch sản niêm mạc miệng là bệnh gì?
Bạch sản niêm mạc miệng là bệnh xuất hiện những mảng trắng hoặc xám trên lưỡi, phần mặt trên hay mặt dưới của lưỡi. Bệnh lý này thường không gây hại gì và có thể tự biến mất, nhưng nếu nghiêm trọng có thể dẫn đến những hệ lụy nghiêm trọng, đặc biệt là ung thư miệng.
1.2 Đối tượng mắc bạch sản niêm mạc miệng
Bệnh lý này thường xảy ra ở nam giới hơn phụ nữ và hầu hết các trường hợp ở độ tuổi 50 – 70
Bệnh lý này thường xảy ra ở nam giới hơn phụ nữ và hầu hết các trường hợp ở độ tuổi 50 – 70, người trên 40 tuổi có tỷ lệ mắc bệnh là 80%. Và bệnh nhân có nguy cơ cao mắc bạch sản niêm mạc miệng nếu hút thuốc lá hoặc uống rượu.
2. Nguyên nhân gây nên bạch sản niêm mạc miệng
Cho đến nay, nguyên nhân của bạch sản niêm mạc miệng vẫn chưa được biết chính xác tuy nhiên hút hoặc nhai thuốc lá được coi là nguyên nhân phổ biến nhất gây bệnh.
Ngoài ra, có một số nguyên nhân khác được xác định như:
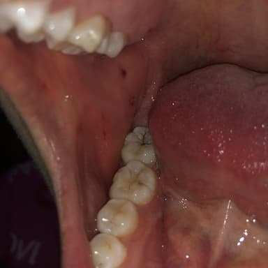
– Có chấn thương bên trong má, chẳng hạn như có vết cắn.
– Răng mọc không đồng đều.
– Có răng giả, nguy hiểm là nếu răng giả lắp không đúng.
– Cơ thể đang bị viêm nhiễm.
Răng mọc không đều là nguyên nhân gây nên bạch sản niêm mạc miệng
Bên cạnh đó, một dạng bệnh bạch sản là bạch sản dạng lông gây ra bởi virus Epstein-Barr (EBV). Khi đã xâm nhập được vào cơ thể, loại virus này sẽ ở trong cơ thể vĩnh viễn và gây nên những vét loét và phát triển bệnh bất cứ lúc nào. Đối tượng có tỷ lệ cao phát bệnh này là người nhiễm HIV hoặc có vấn đề về hệ miễn dịch.
3. Triệu chứng bạch sản niêm mạc miệng
Người bị bệnh bạch sản niêm mạc miệng sẽ có những vết loét đặc trưng trong khoang miệng. Những vết loét này có thể khác nhau về hình dáng và kích thước, mỗi người sẽ có những dấu hiệu và triệu chứng của bệnh lý này không giống nhau. Tuy nhiên, một số đặc điểm đặc trưng có thể thấy như:
– Vết loét có màu trắng và xám không thể rửa sạch được.
– Những mảng loét dày, cứng, phát triển trong khoảng từ vài tuần đến vài tháng.
– Không gây đau đớn, nhưng có thể nhạy cảm khi khi bệnh nhân ăn đồ cay nóng hay gặp các kích thích.
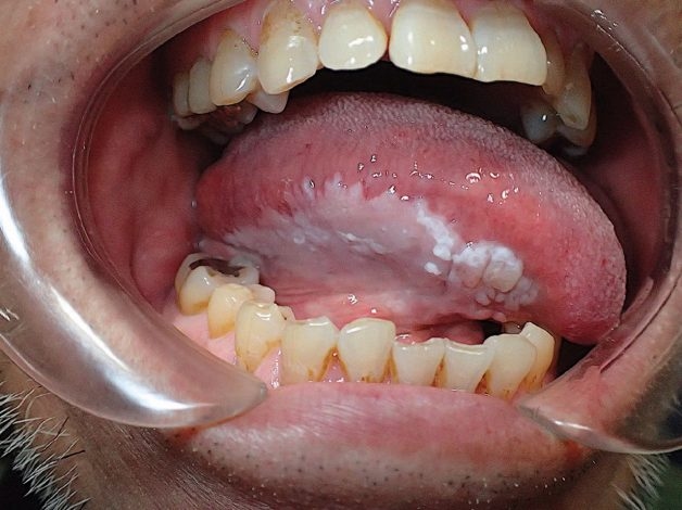
– Với bạch sản dạng lông, triệu chứng thường gặp là lông xuất hiện, có những mảng trắng mờ dạng nếp gấp hoặc đường lằn ở hai bên đầu lưỡi.
– Một số trường hợp có xuất hiện đốm đỏ, đây có thể là dấu hiệu của bệnh ung thư vì vậy cần hỏi ý kiến bác sĩ khi thấy hiện tượng này.
Với bạch sản dạng lông, triệu chứng thường gặp là lông xuất hiện, có những mảng trắng mờ dạng nếp gấp hoặc đường lằn ở hai bên đầu lưỡi
4. Phương pháp điều trị bạch sản niêm mạc miệng
4.1 Cách chẩn đoán
Nếu thấy xuất hiện những triệu chứng của bệnh sản niêm mạc miệng, bạn cần đến các cơ sở y tế y tín để được bác sĩ thăm khám xác định xem bạn có đang bị bệnh hay không. Vì bệnh lý này thường dễ bị nhầm lẫn với nấm miệng.
Sau khi thăm khám, bệnh nhân sẽ được thực hiện một số xét nghiệm để xác định xem nguyên nhân gây bệnh là gì. Điều này giúp các bác sĩ sẽ có được phương pháp điều trị phù hợp.
4.2 Phương pháp điều trị
– Điều trị các tác nhân gây nên các bệnh răng miệng, điều chỉnh răng giả về vị trí phù hợp, các miếng trám răng bất thường…
– Tránh hút hay nhai các sản phẩm có liên quan đến thuốc lá.
– Hạn chế tối đa các đồ uống có chứa cồn như rượu, bia,…
– Nếu sau khi đã loại bỏ các nguồn kích ứng nhưng không hiệu quả, bác sĩ sẽ chỉ định bôi thuốc lên các vết loét trắng hoặc thực hiện phẫu thuật để có thể loại bỏ hoàn toàn.
– Đối với bạch sản dạng lông, bệnh nhân sẽ được chỉ định dùng thuốc kháng virus thông thường để các mảng bám biến mất.
– Ăn nhiều rau củ quả vì trong những loại thực phẩm này chứa các chất oxy hoá giúp giảm nguy cơ bệnh bạch sản.
– Khám nha khoa định kỳ 6 tháng/lần để răng miệng luôn khoẻ mạnh và điều trị kịp thời nếu phát hiện ra bệnh lý.
Khám nha khoa định kỳ 6 tháng/lần là việc cần thiết để răng miệng luôn khoẻ mạnh và điều trị kịp thời nếu phát hiện ra bệnh lý.
Bài viết trên đã cung cấp những thông tin chi tiết về bệnh bạch sản niêm mạc miệng. Nếu thấy có triệu chứng và nghi ngờ mình mắc bệnh lý này, hãy đến ngay các cơ sở nha khoa uy tín để được bác sĩ kiểm tra và điều trị sớm nhé.


















