Bệnh ăn mòn chân răng ở trẻ em
Trong những năm gần đây, các vấn đề răng miệng ở trẻ nhỏ ngày càng được phụ huynh quan tâm, đặc biệt là bệnh ăn mòn chân răng ở trẻ em. Đây không phải là một bệnh lý quá hiếm gặp nhưng lại dễ bị nhầm lẫn với sâu răng, khiến việc xử trí không đúng cách, dẫn đến tổn thương kéo dài. Hiểu nguyên nhân, dấu hiệu nhận biết sớm, và cách chăm sóc sẽ giúp cha mẹ bảo vệ hàm răng của trẻ.
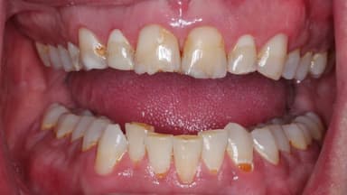
1. Ăn mòn chân răng ở trẻ em là gì?
Ăn mòn chân răng là tình trạng men răng và ngà răng bị phá hủy dần do tác động của các yếu tố hóa học, không phải do vi khuẩn như sâu răng. Ở trẻ nhỏ, tình trạng này thường xuất hiện ở vùng cổ răng (gần chân răng), nơi men răng mỏng và dễ bị tổn thương hơn.
Một số tài liệu từ Centers for Disease Control and Prevention cho thấy ăn mòn răng là vấn đề khá phổ biến nhưng lại dễ bị bỏ qua, đặc biệt ở trẻ trong giai đoạn ăn dặm hoặc sử dụng sữa kéo dài.
Tình trạng này không chỉ làm mất thẩm mỹ mà còn gây ra nhiều hệ lụy:
- Răng trở nên nhạy cảm, trẻ dễ ê buốt khi ăn uống
- Giảm khả năng nhai, ảnh hưởng đến dinh dưỡng
- Tăng nguy cơ mắc các bệnh răng miệng khác
Nếu không được phát hiện kịp thời, bệnh ăn mòn chân răng ở trẻ em có thể tiến triển âm thầm và gây tổn thương sâu đến cấu trúc răng.

2. Nguyên nhân gây ăn mòn chân răng ở trẻ
Ăn mòn chân răng không xảy ra ngẫu nhiên mà thường liên quan đến nhiều yếu tố trong sinh hoạt hàng ngày của trẻ. Theo hướng dẫn chuyên môn do Bộ Y tế Việt Nam công bố, các nguyên nhân phổ biến bao gồm:
- Chế độ ăn uống nhiều axit: Trẻ thường xuyên tiêu thụ đồ ăn thức uống có tính axit sẽ làm men răng bị mòn dần theo thời gian. Trên thực tế, những trường hợp như bé 18 tháng bị mòn chân răng thường có liên quan đến thói quen uống sữa ban đêm nhưng không được làm sạch răng miệng sau đó.
- Vệ sinh răng miệng chưa đúng cách: Nhiều phụ huynh chưa chú trọng việc làm sạch răng cho trẻ từ sớm, hoặc chải răng sai cách, sử dụng bàn chải quá cứng cũng có thể gây tổn thương vùng cổ răng.
- Trào ngược dạ dày – thực quản: Các nghiên cứu được công bố bởi National Institutes of Health chỉ ra rằng axit từ dạ dày khi trào ngược lên khoang miệng có thể làm mòn men răng, đặc biệt ở trẻ nhỏ có hệ tiêu hóa chưa hoàn thiện
- Thiếu khoáng chất cần thiết: Canxi và fluor đóng vai trò quan trọng trong việc bảo vệ men răng. Khi thiếu các chất này, răng của trẻ dễ yếu và bị ăn mòn.

3. Dấu hiệu ăn mòn chân răng ở trẻ em
Nhận biết sớm tình trạng ăn mòn chân răng giúp cha mẹ can thiệp kịp thời, tránh tình trạng tiến triển nặng hơn. Dựa trên khuyến nghị từ American Dental Association, phụ huynh có thể nhận biết qua các biểu hiện sau:
3.1. Bệnh ăn mòn chân răng ở trẻ em biểu hiện qua màu sắc răng
Răng của trẻ có thể chuyển sang màu vàng nhạt hoặc sẫm hơn bình thường do lớp men bị mòn, làm lộ lớp ngà bên trong.
3.2. Bệnh ăn mòn chân răng ở trẻ em gây ê buốt
Trẻ có thể phản ứng khi ăn đồ nóng, lạnh hoặc chua. Đây là dấu hiệu cho thấy lớp bảo vệ răng đã bị suy giảm.
3.3. Xuất hiện khuyết lõm ở cổ răng
Quan sát kỹ có thể thấy vùng gần chân răng bị lõm nhẹ, không giống lỗ sâu răng mà thường nhẵn và lan rộng.
3.4. Trẻ biếng ăn, quấy khóc
Do cảm giác khó chịu trong miệng, trẻ có thể ăn uống kém hơn bình thường.
4. Phân biệt ăn mòn chân răng và sâu răng ở trẻ em
Nhiều phụ huynh thường nhầm lẫn giữa hai tình trạng này, dẫn đến cách xử lý không phù hợp. Theo góc nhìn chuyên môn được chia sẻ bởi FDI World Dental Federation, điểm khác biệt cốt lõi nằm ở nguyên nhân và biểu hiện:
- Ăn mòn chân răng do tác động của axit, không liên quan đến vi khuẩn
- Sâu răng do vi khuẩn phá hủy cấu trúc răng
Về hình thái, ăn mòn chân răng thường tạo bề mặt nhẵn, lõm nhẹ, trong khi sâu răng tạo lỗ đen rõ rệt và có thể gây đau nhức dữ dội
Hiểu đúng sự khác biệt này sẽ giúp phụ huynh nhận diện chính xác bệnh ăn mòn chân răng của bé.
5. Làm gì khi trẻ bị ăn mòn chân răng
Khi phát hiện dấu hiệu bất thường, xử lý đúng cách là yếu tố quyết định giúp bảo vệ răng cho trẻ. Nhiều khuyến cáo từ World Health Organization cho rằng cha mẹ nên chủ động can thiệp sớm bằng các biện pháp sau:
- Điều chỉnh chế độ ăn uống: Hạn chế thực phẩm có tính axit, giảm đồ ngọt và đồ uống có gas. Thay vào đó, tăng cường thực phẩm giàu canxi như sữa, phô mai, rau xanh.
- Tăng cường vệ sinh răng miệng: Cha mẹ cần hỗ trợ trẻ chải răng đúng cách, sử dụng bàn chải mềm và kem đánh răng phù hợp với độ tuổi. Đặc biệt, không nên bỏ qua việc làm sạch răng sau khi uống sữa ban đêm.

- Thăm khám nha khoa định kỳ: Kiểm tra răng định kỳ giúp phát hiện sớm các dấu hiệu của bệnh ăn mòn chân răng ở trẻ nhỏ, từ đó có biện pháp can thiệp kịp thời như bôi fluor hoặc trám bảo vệ răng.
- Theo dõi các bệnh lý liên quan: Trong trường hợp trẻ có dấu hiệu trào ngược dạ dày, cha mẹ nên đưa trẻ đi kiểm tra sớm để hạn chế tác động của axit lên răng.
Có thể thấy, bệnh ăn mòn chân răng ở trẻ em là một tình trạng không hiếm gặp nhưng lại dễ bị bỏ qua nếu cha mẹ thiếu thông tin. Chủ động theo dõi các dấu hiệu sớm và điều chỉnh thói quen sinh hoạt sẽ giúp hạn chế tối đa những tổn thương không đáng có.
Không chỉ vậy, dữ liệu tổng hợp từ Centers for Disease Control and Prevention cùng với định hướng chăm sóc sức khỏe từ Bộ Y tế Việt Nam đều cho thấy rằng phòng ngừa luôn là giải pháp hiệu quả và bền vững nhất. Vì vậy, hãy xây dựng thói quen chăm sóc răng miệng cho trẻ ngay từ sớm để đảm bảo trẻ phát triển khỏe mạnh lâu dài.

















