3 Cách loại bỏ cao răng tại nhà hiệu quả
Cao răng bám quanh chân răng, kẽ răng là tình trạng hầu hết mọi người đều gặp phải. Tình trạng này nếu không xử lý sớm sẽ là nguy cơ hình thành nhiều bệnh lý răng miệng. Vậy làm sao để xử lý cao răng? Sau đây là 3 cách loại bỏ cao răng tại nhà hiệu quả.
1. Tìm hiểu chung về tình trạng cao răng trong khoang miệng
1.1 Thế nào là cao răng?
Vôi răng tạo nên từ vi khuẩn tác động lên các thức ăn còn sót lại
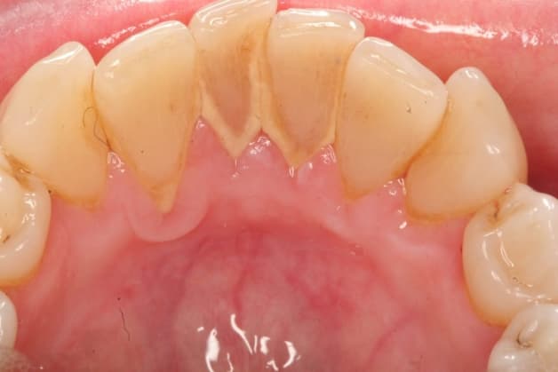
Cao răng còn được gọi với tên là vôi răng. Đó là những mảng bám cứng và dính chặt với bề mặt răng. Cao răng hình thành bởi các vi khuẩn tác động lên những thức ăn còn sót lại. Lâu ngày, chúng sẽ tích tụ, cứng dần và bám chặt ở ngay đường nướu hay dưới đường nướu. Tình trạng này có thể gây sự kích ứng mô nướu.
Dấu hiệu nhận biết dễ nhất của tình trạng cao răng là một lớp có màu vàng hoặc màu nâu ở trên nướu. Tình trạng này gây ảnh hưởng tương đối tới tính thẩm mỹ.
Cao răng còn gây thêm diện tích để mảng bám có thể phát triển. Chúng sẽ bám chặt hơn và từ đó gây nên các căn bệnh nghiêm trọng như sâu răng, bệnh về răng nướu nói chung. Cao răng không thể tự lấy bằng các loại bàn chải hay dụng cụ thông thường.
1.2 Sự hình thành của cao răng
Ở bề mặt của răng sau khoảng 15 phút sẽ bắt đầu hình thành nên những mạng vô khuẩn. Sự hình thành này chính là yếu tố tạo điều kiện cho vi khuẩn có thể bám lên bề mặt răng. Theo thời gian, những vi khuẩn sẽ dần tích tụ, tạo nên mảng bám dày đặc.
Ở những giai đoạn ban đầu khi mới là những mảng bám, ta có thể tiến hành loại bỏ dễ dàng. Tuy nhiên, khi những mảng bám này đã tồn tại lâu dài, chúng sẽ trải qua quá trình vôi hóa. Điều này là do sự tác động từ muối vô cơ trong nước bột với một vài yếu tố khác. Từ đó, mảng bám cứng hơn, bám chặt hơn vào răng, viền nướu hoặc dưới nướu.
1.3 Mức độ nguy hại của cao răng
Cao răng tưởng chừng không đáng ngại nhưng về lâu dài, nó sẽ trở thành mối nguy hại:
– Cao răng chính là nơi lý tưởng để vi khuẩn trú ngụ. Các vi khuẩn này sẽ lên men đường ở tron thức ăn, tạo axit với các hợp chất có tính axxit. Men răng sẽ bị hỏng và dẫn tới sâu răng.
– Độc tố của vi khuẩn ở trong cao răng có thể gây tình trạng viêm nhiễm. Tình trạng này nếu để lâu có thể khiến cao răng phát triển hơn về kích thước. Chúng sẽ dần lan xuống dưới chân răng và khiến lợi tụt. Lâu ngày, những bệnh như viêm quanh chân răng, viêm nướu, … sẽ xảy ra.
– Cao răng có thể gây bệnh nha chu cùng một số bệnh lý nguy hiểm khác. Điển hình như bệnh về tim mạch, tiểu đường, … gây ảnh hưởng tình trạng sức khỏe toàn thân.
– Cao răng còn gây ảnh hưởng lớn đến tính thẩm mỹ của toàn hàm. Khi cao răng đã tích tụ nhiều với từng lớp ngày một dày lên, chúng sẽ gây mất thẩm mỹ do màu vàng nâu loang lổ trên răng, chân răng, … Khi đó, ta sẽ dễ bị thấy tự ti, ngại giao tiếp với mọi người.
– Khi cao răng ngày càng nhiều cũng đồng nghĩa với sự gia tăng của vi khuẩn. Những vi khuẩn này có thể khiến miệng có mùi hôi rất khó chịu.
2. Cách để ngăn ngừa cao răng được hình thành
Sự hình thành cao răng cần được ngăn ngừa để tránh những nguy cơ bệnh lý
Do những tác hại mà vi khuẩn trong cao răng gây nên, tốt hơn hết ta nên sớm ngăn chặn sự hình thành nên chúng. Để thực hiện điều này, ta cần loại bỏ môi trường lý tưởng cho cao răng và vi khuẩn:
– Thường xuyên làm vệ sinh răng miệng phù hợp. Cụ thể, ta nên đánh răng mỗi ngày với 2-3 lần. Thời gian lý tưởng để thực hiện đánh răng là sau khi ngủ dậy buổi sáng và sau các bữa ăn.
– Súc miệng cùng nước súc miệng hay nước muối loãng ấm sau khi đã thực hiện đánh răng.
– Thực hiện một chế độ dinh dưỡng đảm bảo đầy đủ và hợp lý. Ta nên hạn chế các loại thức ăn có độ bám dính cao. Bên cạnh đó, việc đánh răng sau mỗi lần ăn thức ăn có màu, dính là rất cần thiết.
– Thực hiện thăm khám nha khoa mỗi năm từ 2-3 lần. Đồng thời, việc lấy cao răng định kỳ cần duy trì với 4-6 tháng/lần để phòng tránh tình trạng hình thành cao răng quá lâu khiến khó khăn trong làm sạch răng miệng.
3. 3 Cách loại bỏ cao răng tại nhà hiệu quả
2.1 Sử dụng muối và chanh
Muối là một trong những cái tên chống sâu răng, hạn chế tình trạng hôi miệng khá hiệu quả. Khi được kết hợp với chanh, hỗn hợp này còn có tác dụng giúp cạo sạch vôi răng. Từ đó, hàm răng có thể lấy lại vẻ đẹp, sáng bóng.
Thực hiện phương pháp này, ta cần vắt lấy phần nước cốt chanh rồi thêm chút muối. Ta khuấy đều, ngậm trong miệng từ 2-3 phút. Sau đó, hãy dùng lưỡi để đẩy hỗn hợp này khắp khoang miệng. Cuối cùng, ta súc miệng lại với nước sạch để lấy hết hỗn hợp chanh muối khỏi miệng.
Tuy nhiên, ta cần lưu ý với phương pháp này là chanh có tính axit khá mạnh. Điều này có khả năng khiến men răng bị mòn, không đảm bảo an toàn.
2.2 Sử dụng dầu dừa
Dầu dừa là thành phần rất tốt cho răng. Nguyên liệu này sẽ góp phần giúp loại bỏ đi những mảng bám dễ dàng. Mỗi ngày, ta hãy dùng dầu dừa và chà lên hàm răng. Thao tác hàng ngày này sẽ giúp ngăn chặn những mảng bám. Việc hình thành cao răng cũng như các vấn đề răng miệng cũng được hạn chế.
Tuy nhiên, để đảm bảo an toàn ta cần sử dụng dầu dừa tinh khiết, đảm bảo chất lượng nếu không sẽ dễ gây ảnh hưởng tới người dùng.
2.3 Sử dụng baking soda
Baking soda còn được biết đến là một loại muối nở. Đây cũng là phương pháp được nhiều người gọi tên khi nhắc tới tẩy trắng răng, loại bỏ cao răng.
Ta có thể lấy cao răng với hỗn hợp gồm nửa thìa baking soda hòa cùng chút nước ấm. Sau đó, mỗi lần đánh răng xong ta hãy bôi hỗn hợp này lên cổ răng hoặc dưới nướu. Ta chà xát nhẹ nhàng trong vài phút rồi súc miệng sạch lại.
Lấy cao răng nên được thực hiện tại nha khoa uy tín để đảm bảo hiệu quả, an toàn
Khi áp dụng phương pháp này, ta cần lưu ý chỉ dùng 1-2 lần/ tuần. Nếu lạm dụng, độ an toàn sẽ không được đảm bảo, răng dễ bị mòn.
Trên đây là cách làm sạch cao răng tại nhà thường được áp dụng. Tuy nhiên theo nhiều chuyên gia khuyến cáo ta vẫn nên thực hiện lấy cao răng tại các nha khoa uy tín. Như vậy vấn đề hiệu quả và an toàn sẽ được đảm bảo hơn.


















