Ngăn ngừa và loại bỏ cao răng tại nhà hiệu quả
Các chuyên gia nha khoa thường đề xuất việc làm sạch cao răng định kỳ để duy trì khoang miệng sạch sẽ, loại bỏ các mảng bám vôi không mong muốn và các vết bẩn thức ăn. Dưới đây là một hướng dẫn về cách loại bỏ cao răng tại nhà.
1. Cao răng là gì?
Vôi răng (cao răng) là tình trạng mảng bám răng đã bị khoáng hóa. Thành phần của vôi răng bao gồm một phần men răng dưới tác động của axit trong thức ăn đã lên men ở khoang miệng. Cao răng càng dày càng chứng tỏ mức độ tổn thương của men răng và lợi.
Cao răng là một vấn đề thường thấy ở tất cả mọi người. Nguyên nhân chính của tình trạng này là do vệ sinh răng miệng không đúng cách, thói quen ăn uống không lành mạnh , răng không được chăm sóc định kỳ.
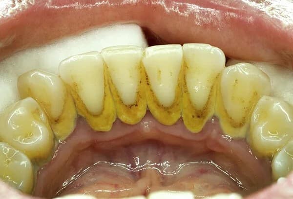
Nên thường xuyên loại bỏ cao răng để bảo vệ sức khỏe răng lợi
2. Vôi răng gây ra những tác động tiêu cực gì?
Vôi răng gây ra nhiều tác động tiêu cực cho sức khỏe răng và miệng, bao gồm:
– Mất men răng: Vôi răng dẫn đến mất men răng, là lớp bảo vệ tự nhiên của răng. Men răng giúp bảo vệ răng khỏi các tác nhân gây tổn thương như acid và vi khuẩn.
– Tăng nguy cơ sâu răng: Khi men răng mất, răng trở nên nhạy cảm hơn và dễ bị tấn công bởi vi khuẩn gây sâu răng và gây tổn thương cho cấu trúc răng.
– Răng mất men răng trở nên nhạy cảm với nhiệt độ của thức ăn gây ra cảm giác đau nhức và khó chịu.
– Mảng cao răng màu vàng hoặc nâu trên bề mặt răng sẽ khiến cho răng bị mất đi vẻ đẹp. Nếu xuất hiện nhiều cao răng ở các răng phía bên ngoài như răng cửa có thể ảnh hưởng đến khả năng giao tiếp và sự tự tin của người mắc.
– Cao răng lâu ngày có thể ảnh hưởng đến men răng. Khi men răng mất, răng trở nên yếu hơni và dễ hình thành vết nứt, gây tổn thương cho răng.
– Viêm nướu: Vôi răng có thể tăng nguy cơ viêm nướu do mảng bám và vi khuẩn tích tụ, gây kích thích và tổn thương cho nướu.
Để ngăn chặn và điều trị vôi răng, quan trọng nhất là duy trì các thói quen chăm sóc răng miệng đúng cách và kiểm tra định kỳ với bác sĩ nha khoa để theo dõi và giải quyết vấn đề nha khoa kịp thời.
3. Cách làm sạch cao răng tại nhà
3.1. Loại bỏ cao răng – dùng baking soda
Baking Soda là một thành phần có khả năng làm sạch cao răng rất hiệu quả. Dưới đây là cách sử dụng nó:
– Chải răng sạch sẽ.
– Trộn hỗn hợp : Pha hỗn hợp bằng baking soda và nước theo tỷ lệ 1:1.
– Áp dụng : Thoa hỗn hợp lên răng và nướu.
– Chải răng : Sử dụng bàn chải mềm để chải răng trong vài phút, đảm bảo chải đều và kỹ càng để loại bỏ những mảng cao răng khó chịu.
Ngoài việc trộn baking soda với nước, bạn cũng có thể hỗn hợp baking soda với nước cốt chanh hoặc dâu tây để loại bỏ mảng bám một cách hiệu quả. Tuy nhiên, lưu ý rằng chanh có hàm lượng axit cao, vì vậy nên chỉ áp dụng một lần mỗi tuần để tránh gây hại cho men răng.
3.2. Dầu dừa hoặc dầu oliu
Ngoài baking soda, bạn có thể sử dụng dầu oliu hoặc dầu dừa để loại bỏ cao răng một cách đơn giản và hiệu quả. Dưới đây là cách thực hiện:
– Bôi dầu : Áp dụng dầu oliu hoặc dầu dừa lên răng.
– Chải răng : Sử dụng bàn chải mềm để chải răng trong vài phút, đảm bảo chải kỹ.
– Súc miệng : Dùng nước sạch để làm sạch miệng
Sử dụng phương pháp này giúp làm trắng răng và ngăn ngừa các vấn đề về sức khỏe răng miệng, ngăn chặn việc hình thành mảng bám trên răng.
Lời khuyên là vẫn nên đi nha khoa để loại bỏ hoàn toàn cao răng
3.3. Trà đen
Một trong những ứng dụng ít người biết đến của trà đen là làm sạch cao răng. Phương pháp này rất đơn giản:
– Pha trà đen : Hòa trà đen vào một cốc nước sôi.
– Súc miệng : Đợi cho đến khi trà nguội, sau đó sử dụng nước trà để súc miệng trong khoảng 3 – 5 phút.
– Súc lại bằng nước sạch .
Fluorua có trong trà đen sẽ giúp ngăn ngừa việc hình thành mảng bám và các vấn đề về răng miệng khác.
4. Cách ngừa cao răng
Để ngừa cao răng và duy trì sức khỏe nướu, bạn có thể thực hiện các biện pháp chăm sóc răng miệng đúng cách
– Chải răng đúng cách: Chải răng ít nhất hai lần mỗi ngày, sử dụng bàn chải răng mềm và chọn kem đánh răng chứa fluoride. Chải răng nhẹ nhàng để tránh tổn thương men răng và nướu.
– Sử dụng chỉ nha khoa hoặc tăm nước: Sử dụng chỉ nha khoa hoặc tăm nước hàng ngày sau khi ăn để loại bỏ mảng bám và thức ăn mắc kẹt giữa các răng. Điều này giúp ngăn chặn sự hình thành cao răng và giữ cho nướu khỏe mạnh.
– Sử dụng nước súc miệng chứa fluoride để tăng cường bảo vệ men răng và ngăn chặn sự hình thành cao răng. Nước súc miệng cũng giúp loại bỏ vi khuẩn gây sâu răng và viêm lợi.
– Hạn chế đồ ăn nhiều ường và đồ uống có ga: Giảm tiêu thụ thức ăn và đồ uống có chứa đường, đặc biệt là các loại đồ uống có ga và thức ăn giàu đường. Đường có thể làm tăng sự hình thành axit trong miệng, gây tổn thương men răng và góp phần vào sự hình thành cao răng.
– Kiểm tra định kỳ với bác sĩ nha khoa: Thăm khám với bác sĩ nha khoa ít nhất một lần mỗi 6 tháng để kiểm tra và làm sạch chuyên sâu. Bác sĩ nha khoa có thể phát hiện và điều trị các vấn đề nha khoa kịp thời trước khi chúng trở nên nghiêm trọng.
Vệ sinh răng miệng thường xuyên và đúng cách để ngăn ngừa mảng bám cao răng
5. Lưu ý gì khi loại bỏ cao răng tại nhà?
Để làm sạch cao răng tại nhà một cách hiệu quả, nhanh chóng và tiện lợi, bạn cần tuân thủ các lưu ý sau:
– Tuân theo quy trình đúng : Thực hiện quy trình làm sạch cao răng đúng cách. Sai cách có thể gây viêm nướu, mòn men răng, viêm nha chu, răng bị ê buốt, vì vậy hãy cẩn thận và tuân thủ hướng dẫn.
– Các phương pháp làm sạch cao răng tại nhà thường không thể tiếp cận vôi răng ở sâu bên trong răng hàm. Trong trường hợp này, hãy tìm đến phòng nha khoa uy tín để được thực hiện làm sạch sâu và chuyên sâu hơn.
– Luôn sử dụng các sản phẩm có nguồn gốc rõ ràng để đảm bảo chất lượng men răng không bị giảm sút trong quá trình làm sạch.
Những lưu ý này sẽ giúp bạn loại bỏ cao răng tại nhà một cách hiệu quả và an toàn.


















