Tìm hiểu chụp cộng hưởng từ não có hại không?
Chụp cộng hưởng từ não là phương pháp chẩn đoán hình ảnh não tiên tiến và hiện đại hàng đầu đang được nhiều nước ứng dụng. Hình ảnh thu được qua chụp MRI não, mạch não có thể phát hiện sớm nhiều vấn đề bất ổn, chẩn đoán chính xác các bệnh lý ở não từ những vấn đề rất nhỏ như dị dạng mạch máu não, phình mạch máu não, u não, u máu thể hang,…. Tuy nhiên, khi bác sĩ chỉ định chụp cộng hưởng từ não nhiều người băn khoăn không biết chụp cộng hưởng từ não có hại không? Cùng đọc bài viết sau đây để hiểu rõ hơn về vấn đề này.
1. Quá trình chụp cộng hưởng từ MRI não
Người bệnh sẽ được thay trang phục, cởi bỏ các vật dụng bằng kim loại trên người và sau đó được hướng dẫn vào phòng chụp cộng hưởng từ MRI. Người bệnh sẽ được hướng dẫn nằm lên bàn chụp, tư thế cố định, thoải mái, không cử động, để hạn chế tiếng ồn và có thể sử dụng tai nghe, sau đó làm theo hướng dẫn của bác sĩ và kỹ thuật viên.
Sau khi kỹ thuật viên điều chỉnh máy, bàn máy bắt đầu di chuyển đưa người bệnh vào đúng vị trí cần chụp và máy chụp sẽ quét các bộ phận cần chụp hình ảnh về cấu trúc não bộ của bạn sẽ được thu lại và phản ánh trên màn hình máy vi tính của bác sĩ ở phòng kế bên.
Sau khi kết thúc quá trình chụp, người bệnh thay quần áo và sinh hoạt như bình thường. Thời gian chụp MRI não diễn ra trong khoảng 15-20 phút. Sau khi chụp, kết quả sẽ được bác sĩ chuyển về phòng khám bác sĩ ban đầu của bạn, do đó bạn không phải chờ đợi để lấy kết quả, trong thời gian đó bạn có thể thực hiện các dịch vụ khác.
Chụp MRI não sử dụng sóng từ trường và sóng radio.
2. Chụp cộng hưởng từ não có hại không?
Chụp cộng hưởng từ não hay còn gọi là chụp MRI não được sử dụng trong chẩn đoán y khoa tạo cho hình ảnh giải phẫu của não bộ nhờ sóng từ trường và sóng radio. Hình ảnh thu được rõ nét, có thể chụp ở nhiều phương diện, góc độ khác nhau.
Chụp cộng hưởng từ não có hại không là câu hỏi được rất nhiều người quan tâm. Bởi nếu khi chưa biết về nguyên lý hoạt động của máy chụp cộng hưởng từ nhiều người thường nhầm lẫn chụp cộng hưởng từ giống như chụp cắt lớp vi tính (chụp CT-scaner) là sử dụng tia X gây hại cho sức khỏe. Tuy nhiên, máy chụp cộng hưởng từ không sử dụng tia X mà hoạt động dựa trên nguyên lý từ trường và sóng radio, không ảnh hưởng tới sức khỏe. Chính vì vậy mà chụp MRI có thể áp dụng cho cả người già, trẻ nhỏ và phụ nữ đang mang thai.
Hơn nữa hình ảnh thu được rất sắc nét, nhanh chóng, chính xác, có thể tầm soát, phát hiện sớm các bất thường ở não bộ dù là nhỏ nhất giúp hỗ trợ chẩn đoán các bệnh lý ở não. Đây được đánh giá là phương pháp chẩn đoán hiệu quả các vấn đề về não bộ cao hơn so với các phương pháp chẩn đoán hình ảnh khác như chụp cắt lớp vi tính, chụp X quang,…
Như vậy nếu các bạn băn khoăn chụp cộng hưởng từ não có hại không thì bạn hoàn toàn an tâm bởi những điều trên.
3. Chụp MRI não có thể phát hiện ra những bệnh gì? Khi nào cần chụp?
3.1 Bệnh lý não bộ có thể phát hiện nhờ chụp cộng hưởng từ MRI não
– Chấn thương sọ não
– U não, u dây thần kinh sọ não
– Tai biến mạch máu não (đột quỵ), xuất huyết não
– Viêm màng não, viêm não
– Dị dạng mạch máu não, bệnh lý mạch máu não
– Thoái hóa chất trắng
– Theo dõi, đánh giá sau phẫu thuật não
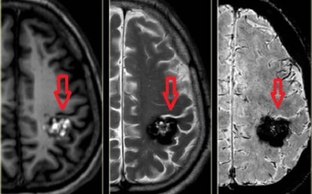
Hình ảnh khối u não được phát hiện nhờ chụp cộng hưởng từ MRI não.
3.2 Khi nào nên đi chụp cộng hưởng từ MRI não?
– Đau đầu, chóng mặt kéo dài (đau nửa đầu hoặc đau cả đầu, đau âm ỉ hoặc thành cơn).
– Suy giảm trí nhớ rõ rệt: tư duy kém, khả năng tập trung giảm, hay quên, nhầm lẫn,…
– Mất ngủ kéo dài
– Liệt nửa người, khó cầm nắm, khó vận động, rối loạn cảm giác.
– Thị lực giảm rõ rệt một bên hoặc cả hai bên
– Miệng méo, méo mặt, khó nói, khó nghe
– Chóng mặt, cứng gáy, nôn vọt, co giật, động kinh
Chụp cộng hưởng từ MRI não có thể ứng dụng trong tầm soát và chẩn đoán các bệnh lý ở não bộ.
Hiện nay, chụp cộng hưởng từ MRI được ứng dụng trong tầm soát và chẩn đoán rất nhiều bệnh lý thuộc nhiều cơ quan trong cơ thể. Thời gian chụp cộng hưởng từ mỗi vùng là khác nhau nhưng thường dao động khoảng 15-20 phút. Mỗi phương pháp đều có những ưu và nhược điểm khác nhau, để chẩn đoán chính xác các bác sĩ có thể sử dụng nhiều phương pháp kết hợp cùng lúc hoặc ưu tiên sử dụng phương pháp nào để mang lại hiệu quả chẩn đoán tốt nhất.
Nếu có các vấn đề về tâm lý như bệnh động kinh, hội chứng sợ không gian kín, người mắc chứng tăng động, tự kỷ,… hoặc người có gắn các thiết bị điện tử trong người thì bạn nên thông báo cho bác sĩ khi thăm khám, để bác sĩ cân nhắc khi đưa ra chỉ định chụp cộng hưởng từ MRI.
Phần lớn chụp cộng hưởng từ MRI thì không phải gây mê và cũng không cần nhịn ăn. Tuy nhiên, trong một số trường hợp bác sĩ có thể yêu cầu bạn nhịn ăn hoặc có thể chỉ định gây mê khi thực sự cần thiết.































