Nguyên nhân gây suy giảm trí nhớ mất ngủ
Suy giảm trí nhớ, mất ngủ là biểu hiện thần kinh do một hoặc nhiều bệnh lý khác nhau gây ra. Nhưng đó cũng có thể chính là một bệnh lý (bệnh suy giảm trí nhớ thường gặp ở người cao tuổi hoặc bệnh mất ngủ cấp hoặc mạn tính). Suy giảm trí nhớ mất ngủ có thể tiềm ẩn nhiều bệnh lý nguy hiểm, cùng tìm hiểu bài viết dưới đây để hiểu rõ hơn.
1. Suy giảm trí nhớ, mất ngủ là bệnh không của riêng ai
Suy giảm trí nhớ không chỉ gặp ở người cao tuổi mà giới trẻ hiện nay cũng nhiều người mắc phải. Phụ nữ hay nam giới đều có thể bị suy giảm trí nhớ, mất ngủ nhưng theo thống kê tỷ lệ phụ nữ bị suy giảm trí nhớ mất ngủ nhiều hơn nam giới.
1.1 Suy giảm trí nhớ
Là tình trạng trí nhớ bị giảm sút do sự thoái hóa của não bộ (lão hóa) hoặc do bệnh lý, phổ biến nhất là Alzheimer (một hội chứng của sa sút trí tuệ).
Theo thống kê, có tới 60% người bị suy giảm trí nhớ là do ảnh hưởng của bệnh Alzheimer gây ra.
Suy giảm trí nhớ phụ thuộc vào mức độ nặng hay nhẹ sẽ có biểu hiện khác nhau như khiến người bệnh
quên đi những chuyện mới xảy ra, nhận thức bị suy giảm, khả năng giao tiếp xã hội kém hơn, ảnh hưởng tới công việc cũng như chất lượng cuộc sống.
1.2 Mất ngủ
Mất ngủ là một dạng điển hình nhất của hội chứng rối loạn giấc ngủ. Biểu hiện bằng việc không ngủ được, khó đi vào giấc ngủ, ngủ hay giật mình tỉnh giấc, …
Không chỉ có người lớn tuổi bị mất ngủ, người trẻ cũng dễ mất ngủ. Mất ngủ có thể do rất nhiều nguyên nhân khác nhau gây ra, có nguyên nhân do bệnh lý, có nguyên nhân khác như môi trường sống ồn ào, ánh sáng không phù hợp, phòng ngủ quá nóng hoặc quá lạnh, ảnh hưởng từ tính chất công việc, stress, rối loạn lo âu, sử dụng chất kích thích,…
Mất ngủ kéo dài sẽ kéo theo rất nhiều bệnh lý nguy hiểm như tiểu đường, bệnh tim mạch, suy nhược thần kinh, trầm cảm, …

Theo nghiên cứ tỷ lệ phụ nữ bị suy giảm trí nhớ mất ngủ nhiều hơn nam giới.
2. Suy giảm trí nhớ và mất ngủ liên hệ chặt chẽ với nhau
Suy giảm trí nhớ và mất ngủ có mối quan hệ tương quan tác động lẫn nhau. Mất ngủ lâu ngày khiến não bộ hoạt động kém, tăng khả năng mắc bệnh lý suy giảm trí nhớ. Ngược lại, người bị suy giảm trí nhớ có chất lượng giấc ngủ không tốt, dễ bị mất ngủ.
Theo nghiên cứu, những người mắc bệnh Alzheimer tích tụ quá nhiều protein amyloid beta trong não. Loại protein này tăng lên khi chúng ta tỉnh táo và giảm dần khi chúng ta ngủ. Nếu thiếu ngủ thường xuyên sẽ khiến cơ thể bị tích tụ nhiều loại protein amyloid beta, tăng nguy cơ gây bệnh suy giảm trí nhớ.
Ngược lại, người mắc hội chứng suy giảm trí nhớ hoặc bệnh Alzheimer thường có giấc ngủ ngắn hơn, thời gian tỉnh giấc vào ban đêm nhiều hơn, điều này gây hại đến trí nhớ và nhận thức của người bệnh.
3. Nguyên nhân gây suy giảm trí nhớ mất ngủ
Suy giảm trí nhớ đi kèm với mất ngủ là biểu hiện của nhiều bệnh, trong đó có những bệnh lý vô cùng nguy hiểm.
3.1 Suy giảm trí nhớ mất ngủ do rối loạn nhịp sinh học
Giấc ngủ chúng ta rất phức tạp, nhưng có thể nói có hai cơ chế chính để tạo sự ổn định. Đó là sự hằng định nội môi và nhịp sinh học giấc ngủ. Khi một hoặc cả hai cơ chế này rối loạn, chúng ta sẽ bị mất ngủ.
Ví dụ, chúng ta thường mất ngủ do stress, đau nhức, suy yếu các cơ quan… hoặc do thay đổi giờ đi ngủ (do thức quá khuya, do đi du lịch lệch múi giờ). Khi đó, ngoài việc mất ngủ ra, chức năng trí nhớ và nhận thức cũng bị ảnh hưởng theo và gây ra chứng giảm trí nhớ khi mất ngủ kéo dài. Đối với nhóm nguyên nhân này, điều trị bệnh lý rối loạn cơ thể, điều chỉnh giờ giấc ngủ và điều trị mất ngủ sẽ giúp cải thiện giấc ngủ và trí nhớ.

Thức khuya, dậy muộn thường xuyên, lịch làm việc thất thường có thể gây xáo trộn nhịp sinh học và kéo theo hệ quả mất ngủ, suy giảm trí nhớ
3.2 Suy giảm trí nhớ mất ngủ do rối loạn tâm thần
Mất ngủ và giảm trí nhớ có thể là biểu hiện của bệnh lý rối loạn hành vi tâm thần, đặc biệt là chứng trầm cảm. Trong trường hợp này, người bệnh thường rất lo âu, lo sợ, cảm thấy mất động lực sống, cảm giác có tội, chán ăn, không tập trung suy nghĩ và không làm việc gì được cả. Ngoài ra, nếu người bệnh kể về việc học nghe thấy, nhìn thấy hoặc kể một câu chuyện không có thật thì có khả năng họ bị chứng hoang tưởng. Đối với nhóm nguyên nhân này, tham vấn bác sĩ tâm thần để được chẩn đoán và điều trị tận gốc.
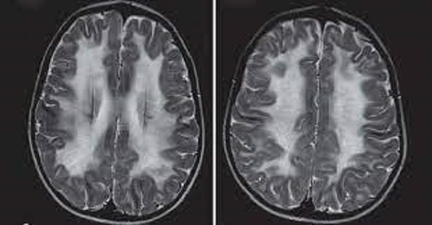
3.3 Suy giảm trí nhớ mất ngủ do bệnh lý thoái hóa thần kinh
Rối loạn giấc ngủ cũng là biểu hiện của nhóm bệnh lý thoái hóa thần kinh như bệnh mất trí nhớ Alzheimer, thoái hóa thể Lewy… Người bệnh có thể có rối loạn giấc ngủ trước khi bệnh rất lâu ( như trường hợp rối loạn giấc ngủ trong bệnh Parkinson) dưới dạng ngủ nói mớ, lăn lộn trên giường ngủ, hoặc xảy ra khi bệnh mất trí nhớ đã diễn tiến được vài năm (như bệnh Parkinson). Để cải thiện trí nhớ và giấc ngủ cho nhóm bệnh này, cần phải được các chuyên gia chẩn đoán sớm, điều trị sớm bằng nhiều phương pháp đặc trị.

Thoái hóa chất trắng là một trong những nguyên nhân gây suy giảm trí nhớ, mất ngủ ở người cao tuổi.
3.4 Giảm trí nhớ liên quan thuốc điều trị mất ngủ
Để giải quyết việc mất ngủ, xu hướng chung sẽ được điều trị bằng thuốc gây ngủ, đây cũng là nhóm thuốc ức chế một phần chức năng nhận thức và ảnh hưởng đến trí nhớ. Do dó, bài toán khó là làm sao ngủ được và không ảnh hưởng trí nhớ. Hiện nay, điều trị mất ngủ yêu cầu việc sử dụng thuốc gây ngủ ngắn ngày, phối hợp thêm việc tập luyện thể dục thể thao và các liệu pháp kích thích giấc ngủ.
4. Làm gì để khắc phục chứng mất ngủ ?
Để cải thiện trí nhớ trên người bị rối loạn giấc ngủ, cần phải tiến hành những bước như sau:
– Chẩn đoán đúng nguyên nhân gây mất ngủ và nguyên nhân gây giảm trí nhớ để được điều trị đặc hiệu.
– Sử dụng thuốc theo đúng chỉ định bác sĩ.
– Tập luyện thể dục thường xuyên để có giấc ngủ khỏe mạnh và chống stress.
– Không được để mất ngủ kéo dài hơn một đêm mà không được tư vấn điều trị.