Đau đầu chóng mặt suy giảm trí nhớ cảnh giác u màng não
Triệu chứng đau đầu chóng mặt suy giảm trí nhớ mắt nhìn mờ là dấu hiệu điển hình cảnh báo khối u màng não trong hộp sọ, bạn không nên chủ quan. Cùng tìm hiểu bài viết để hiểu hơn về u màng não và các triệu chứng có liên quan.
1. Đau đầu chóng mặt suy giảm trí nhớ đi khám phát hiện u màng não
Cô B.T.N (65 tuổi) có triệu chứng đau đầu chóng mặt suy giảm trí nhớ mắt nhìn mờ đã đến Thu Cúc TCI để thăm khám. Sau khi được khám với bác sĩ Nội khoa của TCI là Bác sĩ CKI Phạm Thị Thu Hà, cô N được hướng dẫn đi làm xét nghiệm máu, chụp cộng hưởng từ não (sọ não và mạch máu não) có tiêm chất tương phản.
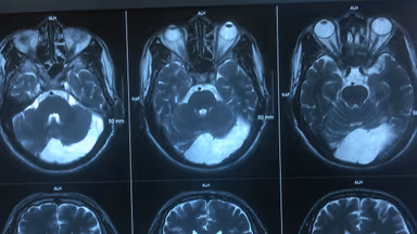
Kết quả chụp cộng hưởng từ MRI não của cô N. phát hiện hình ảnh u màng não và nhiều tổn thương. Cụ thể:
– Hình ảnh u ngoài trục vùng đỉnh trán có tính chất u màng não. Cụ thể: khối u ngoài trục vị trí vùng đỉnh trái kích thước 15x19x21mm, tổn thương tín hiệu không đều, có hạn chế khuếch tán nhẹ, sau tiêm ngấm thuốc mạnh và đồng nhất, có dấu hiệu đuôi màng cứng, khối đè đẩy nhu mô não gây phù não vùng hồi trước và sau trung tâm thùy đỉnh trái.
– Rải rác ổ thoái hóa myelin chất trắng dưới vỏ thùy trán đỉnh bán cầu não hai bên.
– Viêm xoang sàng
Cô N. đã được Bác sĩ CKI Phạm Thị Thu Hà tư vấn phương pháp điều trị là phẫu thuật loại bỏ khối u ở màng não và hẹn tái khám sau phẫu thuật.
Trường hợp khác đó là chị Đ.T.V (47 tuổi) đến Thu Cúc TCI khám với biểu hiện đau đầu chóng mặt suy giảm trí nhớ. Chị V. mô tả, cơn đau đầu diễn ra khoảng 2 tháng nay, đau âm ỉ và giật từng cơn dưới da, đau tăng về đêm, buồn nôn, giảm trí nhớ.
Sau khi được thăm khám với Tiến sĩ, Bác sĩ CKI Trịnh Thị Khanh – Bác sĩ Nội thần kinh của Thu Cúc TCI, Chị V. được thực hiện chụp cộng hưởng từ não (MRI sọ não và mạch não) để kiểm tra, đồng thời loại trừ nguyên nhân do tổn thương ở não.
Kết quả chụp cộng hưởng từ sọ não của người bệnh bất ngờ phát hiện khối u màng não to “như quả trứng” “núp” trong não bệnh nhân.
Cụ thể:
– Khối u màng não có kích thước ~ 48x46x44mm.
– Quầng phù não quanh tổn thương tương đối rộng, gây đè đẩy đường giữa cùng hệ thống não thất sang bên trái ~9,5mm và đè đẩy thân thể chai xuống dưới.
– Sau khi tiêm thuốc đối quang từ, khối ngấm thuốc mạnh và tương đối đồng nhất.
Tiến sĩ, Bác sĩ CKI Trịnh Thị Khanh đã có tư vấn thích hợp cho người bệnh để can thiệp kịp thời, điều trị hiệu quả, ngăn ngừa biến chứng nguy hiểm.
Hay như trường hợp của chị N.T.T.D (41 tuổi) có biểu hiện: đau nửa đầu trái, tê nửa người bên trái, ù tai, giật thái dương trái, đau mỏi chân tay, cảm giác nghẹt thở, xuất huyết dưới da vùng mu chân trái. Sau khi thăm khám ban đầu với bác sĩ của TCI, chị D. được chụp cộng hưởng từ não – mạch não có tiêm chất tương phản. Kết quả từ phim chụp MRI não của chị D phát hiện khối u màng não vị trí dốc nền xoang bướm bên phải, chưa loại trừ tổn thương u sọ hầu.
Bác sĩ chuyên khoa Nội thần kinh của TCI đã tư vấn cho chị D. hướng giải quyết hiệu quả để ngăn ngừa biến chứng nguy hiểm.
2. Biểu hiện lâm sàng của u màng não
Các triệu chứng của bệnh u màng não có biểu hiện khác nhau ở mỗi người vì còn phụ thuộc vào vị trí mà khối u gây tổn thương (nằm ở vùng nào của não), kích thước bao nhiêu.
Đa số u màng não ban đầu thường không biểu hiện triệu chứng hoặc nếu có thì các triệu chứng rất “nghèo nàn” mờ nhạt, khó nhầm lẫn như cơn đau đầu thoáng qua.
Chỉ đến khi khối u phát triển với kích thước lớn chèn ép các tế bào lân cận thì các triệu chứng mới bắt đầu điển hình hơn như: đau đầu chóng mặt suy giảm trí nhớ, mắt nhìn mờ (có biểu hiện bán manh của cả hai mắt), liệt vận động không đồng đều, động kinh (hoặc co giật cơ cơn ngắn), lời nói không chuẩn xác,…
3. Nguyên nhân gây u màng não
U màng não thường gặp ở nữ giới, độ tuổi từ 40-65 tuổi, thường lành tính, phát triển chậm nên tác động của nó đến sức khỏe người bệnh trong giai đoạn đầu thường không rõ ràng, không thâm nhiễm và đẩy các tổ chức lân cận. Chúng chiếm khoảng 15% các u trong sọ.
U màng não được tạo ra từ lớp ngoài của hạt màng nhện (tế bào bao màng nhện). Đây là một tập hợp rất thông dụng của nhung mao màng nhện tại các xoang tĩnh mạch màng cứng và các nhánh rộng của nó. U màng não có thể xuất hiện ở bất cứ nơi nào mà tế bào màng nhện khu trú. U màng não thường có giới hạn rõ ràng, dạng hình tròn hoặc bầu dục hay đôi khi có nhiều thùy. U màng não thường chắc và màu hồng, độ chắc này cũng thay đổi từ mềm cho tới cứng như đá. Khối u màng não dạng cầu bám chắc vào màng não, khối u phát triển thì chỗ bám màng não cũng lan rộng hơn. Các mạch máu nuôi khối u cũng thay đổi theo độ phù quanh khối u và cũng không giống nhau.
4. Chẩn đoán u màng não
4.1 Chụp X quang sọ não
Khi nghi ngờ người bệnh có khối u màng não, các bác sĩ sẽ chỉ định người bệnh thực hiện một số chẩn đoán hình ảnh. Chụp X quang quang thường quy mặc dù không giữ vai trò chẩn đoán u màng não nhưng cung cấp thêm thông tin thông qua một vài dấu hiệu gián tiếp giúp bác sĩ có thể dự đoán được như: dày xương hoặc hủy xương – đây có thể là một gợi ý nhỏ để tầm soát khối u màng não.
4.2 Chụp cắt lớp vi tính CT scaner
Chụp CT scaner có tiêm thuốc cản quang là một biện pháp giúp chẩn đoán xác định một khối u có ngấm thuốc đồng đều hay không, có bờ rõ không. Phù não xung quanh khối u được thấy rõ trên CT scaner.
4.3 Chụp cộng hưởng từ MRI sọ não
Chụp cộng hưởng từ MRI là biện pháp ưu việt nhất hiện nay, được nhiều bệnh viện ứng dụng rộng rãi, đây cũng là phương pháp được các nhà phẫu thuật thần kinh hay các nhà thần kinh học khuyến cáo nên sử dụng. Bởi chụp cộng hưởng từ đặc biệt hữu ích trong chẩn đoán các vấn đề, bệnh lý hệ thần kinh, đặc biệt là não bộ.
Chụp cộng hưởng từ sẽ giúp xác định tốt hơn với các tiêu chí như sau: xác định vị trí khối u não, kích thước khối u não, tình trạng xâm lấn của u não tới cấu trúc xung quanh, dự đoán bản chất của khối u não, đồ phù xung quanh khối u, giãn não thất hay không giãn não thất.
U não gây ảnh hưởng rất lớn đến chất lượng sống của người bệnh và tuổi thọ của bệnh nhân. Khi biểu hiện đau đầu chóng mặt suy giảm trí nhớ, cần đến ngay các cơ sở y tế có chuyên khoa Nội thần kinh để được thăm khám, chẩn đoán, phát hiện và điều trị bệnh kịp thời.














