Cấp cứu:0901793122
English
Bệnh Viện Đa Khoa Quốc Tế Thu Cúc | TCI Hospital
Chăm sóc sức khoẻ trọn đời cho bạn
Tổng đài1900558892
Bệnh cơ xương khớp

Bệnh cơ xương khớp

Trang chủ/Sống khỏe/Bệnh cơ xương khớp
Viêm sụn sườn và những điều cần biết

Viêm sụn sườn và những điều cần biết

Viêm sụn sườn hay còn gọi là viêm khớp sụn sườn, là tình trạng đau và căng tức ngực do khớp sụn sườn bị sưng viêm. Khớp sụn sườn là đoạn mô xốp dày và đàn hồi, nối giữa xương sườn và xương ức. Thông thường viêm sụn sườn thường tự khỏi sau vài ngày. […]
Đau nhức xương khớp cảnh báo bệnh gì?

Đau nhức xương khớp cảnh báo bệnh gì?

Triệu chứng đau nhức xương khớp chủ yếu gặp ở người trưởng thành, đặc biệt ở người trung niên, cao tuổi, những người lao động nặng, hoạt động quá mức. Đau nhức xương khớp cảnh báo bệnh gì? Đau nhức xương khớp cảnh báo bệnh gì? –    Loãng xương là một trong nguyên nhân […]
Để cơn đau xương khớp không làm phiền

Để cơn đau xương khớp không làm phiền

Thoái hóa khớp sẽ gây ra những cơn đau nhức, làm vận động bị hạn chế dẫn đến những hệ lụy xấu cho sức khỏe và công việc của người mắc bệnh. Nghiêm trọng hơn nữa, thoái hóa khớp nếu để tiến triển nặng còn có thể gây cứng khớp, biến dạng khớp, có nguy […]
Đau nhức xương khớp bệnh gì?

Đau nhức xương khớp bệnh gì?

Đau nhức xương khớp là triệu chứng và thường gặp thường kéo dài dai dẳng nguyên nhân chủ yếu là do người bệnh chủ quan không đi thăm khám phát hiện đau nhức xương khớp bệnh gì để có hướng điều trị đúng cách. Vậy đau nhức xương khớp là bệnh gì? 1. Thoái hóa […]
Nguyên nhân u bao hoạt dịch khớp cổ tay

Nguyên nhân u bao hoạt dịch khớp cổ tay

U bao hoạt dịch là một bệnh lành tính, không viêm, không đau ngoại trừ trường hợp u quá lớn ảnh hưởng đến chức năng vận động của khớp. Để hiểu hơn về căn bệnh này bạn có thể tham khảo những thông tin dưới đây: Nguyên nhân u bao hoạt dịch Đây là hiện […]
Nguyên nhân bệnh khớp là gì? giảm thiểu triệu chứng của bệnh

Nguyên nhân bệnh khớp là gì? giảm thiểu triệu chứng của bệnh

Bệnh khớp khá phổ biến ở nước ta và có nguy cơ tiến triển nghiêm trọng trong mùa lạnh. Vậy nguyên nhân bệnh khớp là gì và điều trị như thế nào để giảm thiểu triệu chứng của bệnh. Dưới đây là một số thông tin cần thiết bạn đọc có thể tham khảo để […]
Nguyên nhân đau nhức xương cánh tay

Nguyên nhân đau nhức xương cánh tay

Đau nhức xương cánh tay gây khó chịu, ảnh hưởng đến đời sống thường ngày của người bệnh. Bệnh có nhiều nguyên nhân gây ra như chấn thương, sai tư thế, thiếu canxi, kali cũng có thể gây đau nhức xương cánh tay. Đau nhức xương cánh tay có thể do nhiều nguyên nhân gây […]
Bệnh loãng xương là gì? gây ra những hậu quả

Bệnh loãng xương là gì? gây ra những hậu quả

Bệnh loãng xương xảy ra khi cơ thể bị mất cân bằng giữa quá trình tái tạo xương và hủy xương. Bệnh diễn tiến âm thầm, không triệu chứng nhưng gây ra những hậu quả nghiêm trọng ảnh hưởng đến chất lượng cuộc sống. Bệnh loãng xương là gì? Loãng xương được cho là một […]
Gãy xương đòn không thể bảo tồn phải làm sao?

Gãy xương đòn không thể bảo tồn phải làm sao?

Gãy xương đòn thường được điều trị bằng phương pháp bảo tồn. Tuy nhiên trong một số trường hợp gãy xương không thể bảo tồn thì phẫu thuật là phương pháp tốt nhất giúp phục hồi chức năng xương đòn cho người bệnh. Gãy xương đòn là một chấn thương thường gặp chiếm 2.6% đến […]
Cách chăm sóc bệnh nhân sau phẫu thuật gãy xương đòn

Cách chăm sóc bệnh nhân sau phẫu thuật gãy xương đòn

Phẫu thuật gãy xương đòn để rút ngắn thời gian hồi phục, bên cạnh việc lựa chọn phương pháp, địa chỉ phẫu thuật uy tín người bệnh cần lưu ý tuân thủ cách 1. Gãy xương đòn có cần phẫu thuật không? Xương đòn hay còn được gọi là xương quai xanh là xương dài […]
Đau vai gáy do đâu?làm thế nào để phòng ngừa đau vai gáy

Đau vai gáy do đâu?làm thế nào để phòng ngừa đau vai gáy

Đau vai gáy là hiện tượng thường gặp ở mọi lứa tuổi. Bệnh thường kéo dài dai dẳng gây ảnh hưởng đến chất lượng cuộc sống của người bệnh. Vậy đau vai gáy do đâu và làm thế nào để phòng ngừa đau vai gáy hiệu quả. 1. Nguyên nhân gây đau vai gáy? Nguyên […]
Nhận biết bệnh viêm gân cổ tay, chân và đầu gối

Nhận biết bệnh viêm gân cổ tay, chân và đầu gối

Triệu chứng thường gặp nhất của viêm gân cổ tay, chân và đầu gối là những cơn đau âm ỉ và dai dẳng tại vùng gân bị tổn thương. Cơn đau thường tăng lên khi vận động, có dấu hiệu sưng đỏ, ấn vào có cảm giác đau nhói, người bệnh khó cử động cơ […]
Phẫu thuật thoát vị bẹn khi nào cần?

Phẫu thuật thoát vị bẹn khi nào cần?

Thoát vị bẹn là bệnh lý thường gặp, ảnh hưởng nhiều đến chất lượng cuộc sống, tâm lý bệnh nhân nhưng nhiều người còn chưa hiểu biết rõ. Vậy phẫu thuật thoát bẹn khi nào cần? 1. Thoát vị bẹn là gì? Thoát vị bẹn là  là tình trạng các tạng bên trong ổ phúc […]
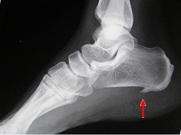
Nguyên tắc giảm đau do viêm cân gan chân

Nguyên tắc giảm đau do viêm cân gan chân

Khi thức dậy và bước những bước chân đầu tiên bạn cảm thấy đau nhói, thốn dưới gót chân,… rất có thể bạn đã mắc gai xương gót chân hay còn gọi là viêm cân gan chân. Để hiểu hơn về căn bệnh này bạn có thể tham khảo những thông tin dưới đây: Khi […]
Giải pháp điều trị bệnh đau lưng cho dân văn phòng

Giải pháp điều trị bệnh đau lưng cho dân văn phòng

Dân văn phòng ngồi máy lạnh, ít di chuyển nên dễ đau cổ, đau hông, đau vai gáy,… và đặc biệt đau lưng. Dưới đây là một số giải pháp điều trị bệnh đau lưng cho dân văn phòng bạn đọc nên tham khảo. Dân văn phòng dễ mắc chứng đau lưng do đâu? – […]
Cơ chế hình thành gai cột sống

Cơ chế hình thành gai cột sống

Bệnh gai cột sống do nhiều nguyên nhân gây ra nhưng được chia làm 2 nguyên nhân chính đó là nguyên nhân chủ quan và nguyên nhân khách quan. Phần lớn người bệnh mắc gai cột sống là thuộc nhóm nguyên nhân khách quan. Để biết thêm những thông tin về căn bệnh này bạn […]
1900558892
zaloChat