Nguyên nhân gây viêm lộ tuyến cổ tử cung
Viêm lộ tuyến cổ tử cung rất phổ biến ở phụ nữ hiện đại. Cùng tìm hiểu nguyên nhân gây viêm lộ tuyến cổ tử cung và các dấu hiệu cảnh báo bệnh lý này qua bài viết dưới đây bạn nhé!
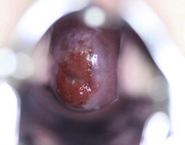
Lộ tuyến cổ tử cung là tình trạng các tế bào tuyến bình thường nằm trong ống cổ tử cung phía dưới lớp tế bào lát đã phát triển ra ngoài, xâm lấn mặt ngoài của cổ tử cung. Đây là một bệnh phụ khoa thường gặp, khoảng 60% – 80% nữ giới đã quan hệ tình dục đều có thể bị viêm lộ tuyến cổ tử cung ở những mức độ khác nhau.
Các tế bào tuyến trong cổ tử cung khi phát triển xâm lấn ra phía ngoài rất dễ gây viêm
Viêm lộ tuyến cổ tử cung là một tổn thương lành tính. Tuy nhiên, nếu không được điều trị kịp thời và tích cực, viêm lộ tuyến có thể phát triển và biến chứng thành nhiều bệnh lý nguy hiểm.
Nguyên nhân gây viêm lộ tuyến cổ tử cung là gì?
Một số nguyên nhân gây ra viêm lộ tuyến tử cung bao gồm:
- Không giữ vệ sinh, nhất là sau khi quan hệ tình dục: khi quan hệ, âm đạo ở trạng thái mở. Khi dương vật tiếp xúc trực tiếp với cổ tử cung, nếu nam giới không chú ý vệ sinh sạch sẽ, có thể trực tiếp mang vi khuẩn vào trong âm đạo, gây viêm nhiễm cổ tử cung; vì thế viêm lộ tuyến cổ tử cung.
- Phá thai nhiều lần: phá thai nhiều lần có thể làm tổn thương cổ tử cung ở những mức độ khác nhau, tạo cơ hội cho vi khuẩn hoạt động, dẫn đến viêm cổ tử cung. Do ảnh hưởng của viêm nhiễm, có thể làm tăng nội tiết, cổ tử cung bị dịch viêm bao phủ trong một thời gian dài có thể dẫn đến viêm loét. Vì thế nữ giới trong độ tuổi sinh sản nhất định phải làm các biện pháp tránh thai, tránh phá thai nhiều lần, giảm phát sinh viêm loét cổ tử cung.
- Dùng dung dịch diệt khuẩn có tính sát trùng cao để vệ sinh âm đạo: điều này ảnh hưởng đến quá trình phát triển của vi khuẩn có lợi trong âm đạo và làm giảm tác dụng kiềm chế vi khuẩn có hại phát triển. Từ đó, hình thành những tổn thương cổ tử cung ở những mức độ khác nhau, kết quả là bị viêm loét, gây nguy cơ tăng viêm lộ tuyến tử cung.
Triệu chứng viêm lộ tuyến cổ tử cung?
Viêm lộ tuyến cổ tử cung thường không có dấu hiệu rõ ràng và rất dễ bị nhầm lẫn với các bệnh phụ khoa khác. Dấu hiệu đặc trưng nhất khi bị viêm lộ tuyến cổ tử cung là:
- Khí hư ra nhiều một cách bất thường: khí hư này có thể có màu trắng đục, dính từng mảng, đôi lúc có mùi hôi hoặc có màu vàng xanh, loãng, có bọt, với số lượng nhiều…
- Chảy máu khi quan hệ tình dục: trong trường hợp viêm lộ tuyến chuyển sang nặng, một số chị em có thể bị xuất huyết nhẹ sau quan hệ tình dục.
Để đăng ký khám viêm lộ tuyến cổ tử cung tại Bệnh viện Đa khoa Quốc tế Thu Cúc, vui lòng liên hệ tổng đài 1900 55 88 92 hoặc hotline 0936 388 288.















