Lý do vì sao phải lấy cao răng định kì?
Lý do vì sao phải lấy cao răng định kỳ? Câu trả lời để làm sạch răng là chưa đủ. Nhiều người thường cho rằng cao răng thường nằm ở mặt trong của răng, không gây ảnh hưởng đến thẩm mỹ, chỉ là mảng bám nên không làm đau răng được, lấy cao răng xong nó vẫn bám lại nên không cần lấy,… Đây đều là những quan niệm rất sai lầm và có phần coi nhẹ tác hại của cao răng. Hãy cùng điểm mặt một số lý do mà bác sĩ luôn khuyên chúng ta cần lấy cao răng định kỳ qua bài viết dưới đây nhé!
1. Sự hình thành cao răng
Cao răng (vôi răng) được hình thành do quá trình vôi hóa của các mảng bám thức ăn trên răng. Chỉ cần răng không được làm sạch kĩ lưỡng các vụn thức ăn, bất cứ mẩu thức ăn nào cũng có thể trở thành nguyên nhân tạo nên cao răng. Việc làm sạch răng kĩ lưỡng với đầy đủ các bước từ đánh răng, dùng chỉ nha khoa, tăm nước, súc miệng bằng nước súc miệng chuyên dụng, sử dụng dụng cụ cạo lưỡi,… không phải ai cũng có thể thực hiện đầy đủ vài lần mỗi ngày. Do đó, gần như bất cứ ai cũng có thể có cao răng.
Cao răng thường có màu ngả dần từ trắng đục đến vàng đậm tùy vào thói quen ăn uống của mỗi người, nhất là những người hút thuốc, men răng thường có màu đậm hơn. Ở trường hợp người bị viêm lợi có dịch viêm kèm chảy máu, khu vực cao răng tương ứng sẽ bị ngấm màu và chuyển sang màu nâu đỏ, còn gọi là cao răng huyết thanh.

Loại bỏ cao răng cần sử dụng máy móc và dụng cụ chuyên dụng
Với đặc điểm bám cứng tại răng, nhất là những vùng khó làm sạch bằng cách đánh răng, chúng ta không thể tự làm sạch cao răng ngay tại nhà vì làm sai cách có thể gây tổn thương đến răng và nướu. Chính vì vậy việc mà bạn có thể làm để loại bỏ cao răng chính là đến nha sĩ để lấy cao răng bằng máy móc và dụng cụ chuyên dụng. Vậy nhưng lấy cao răng liệu có thực sự cần thiết? Cứ để cao răng vậy có ảnh hưởng gì đến sức khỏe? Hãy cùng tìm hiểu tiếp nhé!
2. Vì sao phải lấy cao răng?
Nhiều người thường coi nhẹ cao răng với các quan niệm như: cao răng không ảnh hưởng nhiều đến thẩm mỹ, cao răng không gây đau răng, lấy cao răng một lần rồi nó sẽ càng bám nhiều hơn, lấy xong không có tác dụng gì nên không lấy nữa,… Những lý do này đều rất chủ quan và coi nhẹ tác hại gây ra bởi cao răng đối với sức khỏe tổng thể của răng miệng.
Cao răng ban đầu có thể là một lớp khá mỏng và chưa tạo ảnh hưởng trực tiếp nào đến chủ thể. Tuy nhiên nếu coi nhẹ và bỏ qua việc loại bỏ cao răng, nó sẽ nhanh chóng tích tụ dày lên và là nguyên nhân gây nên nhiều bệnh lý răng miệng. Dưới đây là những lý do cụ thể sẽ giúp bạn giải đáp thắc mắc vì sao phải lấy cao răng định kỳ.
2.1 Cao răng có thể gây bệnh răng miệng

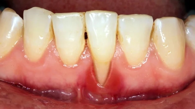
Cao răng để lâu có thể dẫn đến viêm lợi, viêm chân răng
Sâu răng là bệnh lý răng miệng gây ra do sự ăn mòn, hủy khoáng của vi khuẩn, mà trên về mặt cao răng lại là nơi trú ngụ của rất nhiều vi khuẩn. Vi khuẩn có hại trên cao răng sẽ lên men chất đường có trong thức ăn tạo thành acid tấn công men răng và gây sâu răng, tổn thương đến nướu và gây ra các bệnh răng miệng như:
– Viêm nướu: tình trạng nướu sưng, tấy đỏ, chảy máu… Thông thường ở những bệnh nhân viêm nướu do cao răng gây nên, nha sĩ sẽ thực hiện loại bỏ cao răng và sau đó có phương pháp chăm sóc đúng cách, nướu sẽ hồi phục lại rất nhanh. Ở những bệnh nhân đã chữa khỏi cần duy trì vệ sinh răng miệng đúng cách để làm chậm quá trình hình thành cao răng, tránh cao răng tích tụ quá dày khiến bệnh tái phát.
– Viêm nha chu: đây là tình trạng nặng nề hơn khi bệnh viêm nướu kéo dài mà không được chữa trị. Viêm nha chu sẽ khiến cho các mô nha chu (mô có tác dụng nâng đỡ và giữ chắc răng trên cung hàm) bị suy yếu, không thể giữ được răng ổn định, dẫn đến răng lung lay dẫn đến bị mất răng. Thậm chí ổ viêm nhiễm nặng còn có thể ảnh hưởng đến xương hàm, gây viêm xương hàm.
– Ngoài ra vi khuẩn có trong cao răng còn là nguyên nhân dẫn đến các bệnh lý răng miệng khác như viêm tủy ngược dòng, viêm niêm mạc miệng, hơn nữa có thể dẫn đến viêm amidan, viêm họng…
2.2 Khó vệ sinh răng miệng
Các mảng bám cao răng tại vị trí mép lợi, sát giữa các kẽ răng sẽ khiến cho chúng ta gặp khó khăn khi vệ sinh răng miệng hàng ngày. Dù bạn dùng chỉ nha khoa cũng sẽ đều bị lớp cao cứng chắc này cản trở, không lấy hết được các mảnh vụn thức ăn trong các kẽ răng. Nếu kéo dài tình trạng này và để yên cho lớp cao răng cứ ngày một dày thêm thì khả năng cao sẽ gây sâu răng, gia tăng sự hình thành mảng bám chân răng và tạo thành nguy cơ tiềm tàng lớn đối với sức khỏe răng miệng nói chung.
2.3 Đảm bảo thẩm mỹ cho hàm răng
Khi cao răng đã được tích tụ dần dần từng lớp và ngày một dày lên, cứng chắc hơn đồng nghĩa với việc cao răng bám ở mép lợi trông ngày càng rõ rệt hơn. Các lớp này ban đầu có màu trắng đục hoặc vàng nhạt nhưng qua quá trình ăn uống thực phẩm có màu, hút thuốc nó sẽ đậm màu dần sang vàng đậm hoặc nâu, gây mất thẩm mỹ cho răng miệng. Lúc này, người rơi vào tình trạng ấy sẽ cảm thấy vô cùng tự ti, khi tiếp xúc với người khác sẽ không được thoải mái, nhất là với đối tác, khách hàng, làm ảnh hưởng đến công việc.
2.4 Gây hôi miệng
Cùng với viêc cao răng dày màu đậm, hôi miêng cũng là hậu quả điển hình khi để cao răng tích tụ quá lâu mà không được vệ sinh. Nó cũng khiến chủ thể rất mất điểm trong mắt người đối diện, gây mất thiện cảm và khiến người khác né tránh, hạn chế giao tiếp cùng. Nguyên nhân do cao răng hình thành từ các mảng bám thức ăn tại răng bị vôi hóa, trong quá trình này, vi khuẩn sẽ sử dụng chúng như thức ăn và tạo thành mùi khó chịu trong quá trình phân giải.

Tới nha khoa làm sạch cao răng định kì sẽ giúp duy trì một hàm răng khỏe đẹp lâu dài
Những lợi ích khi không lấy cao răng gần như là không có, trong khi đó nó lại để lại rất nhiều tác hại không mong muốn, gây ảnh hưởng không chỉ đaển thẩm mỹ, sự tự tin trong công việc và giao tiếp hàng ngày mà còn tiền ẩn nhiều nguy cơ đói với sức khỏe răng miệng. Vì vậy, bất cứ ai cũng nên thực hiện lấy cao răng đều đặn, định kì từ 1-2 lần/năm để đảm bảo vệ sinh cho răng miệng và hạn chế các bệnh lý thứ phát như sâu răng, tụt lợi, viêm lợi…
Hy vọng bài viết đã phần nào giải đáp cho bạn lý do vì sao cần lấy cao răng định kì. Nếu có bất cứ thắc mắc hoặc cần tư vấn về dịch vụ lấy cao răng, hãy liên hệ Thu Cúc TCI để có câu trả lời nhanh chóng nhé!