GIẢI ĐÁP: Sâu răng có nên nhổ không?
Sâu răng có thể nói là một trong những vấn đề vô cùng phổ biến mà bất cứ chúng ta ai cũng từng gặp qua. Trong hầu hết trường hợp, thường nhiều người sẽ nghĩ đến phương án nhổ răng sâu để giảm đau đớn cũng như ngăn ngừa các biến chứng nguy hiểm ảnh hưởng tới sức khỏe răng miệng.
Vậy sâu răng có nên nhổ không, phương pháp nào xử lý răng sâu an toàn, hiệu quả hơn cả, nếu đây là những thắc mắc của bạn thì hãy tham khảo bài viết để đi tìm lời giải đáp nhé!
1. Giải thích về bệnh sâu răng
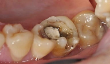
Sâu răng là một trong những bệnh lý phổ biến với tác nhân chính gây bệnh là do sự hình thành của các mảng bám thức ăn, tạo điều kiện thuận lợi cho vi khuẩn phát triển và tấn công cấu trúc răng.
Biểu hiện ban đầu của sâu răng thường là những lỗ đen li ti ở trên bề mặt răng, nếu như không được can thiệp kịp thời, bệnh sẽ ngày càng diễn biến nặng hơn, tạo thành những lỗ hổng lớn gây đau nhức vô cùng khó chịu, cùng với đó, răng còn rất dễ bị ê buốt khi nhai thức ăn nóng lạnh.
Bên cạnh đó, nếu sâu răng không được nhanh chóng khắc phục ngay từ ban đầu sẽ rất dễ dẫn đến những biến chứng khó lường như: Viêm tủy, nhiễm trùng, áp xe răng, hay thậm chí là mất răng. Sâu răng thường gặp ở rất nhiều độ tuổi, như ở trẻ em, thanh thiếu niên hoặc ở những người không có chế độ ăn uống và chăm sóc răng miệng hợp lý.
Các dấu hiệu của sâu răng sẽ khác nhau tùy thuộc vào mức độ cũng như vị trí của răng bị sâu. Khi hiện tượng sâu răng mới bắt đầu, thường người bệnh gần như không cảm nhận được bất cứ triệu chứng nào, chỉ khi tình trạng sâu nặng hơn, chúng ta mới có thể nhận biết những dấu hiệu rõ rệt như:
– Đau răng, cơn đau có thể tự phát hoặc đau mà không có nguyên nhân rõ ràng
– Răng trở nên nhạy cảm hơn bao giờ hết
– Đau răng mỗi khi ăn đồ ăn ngọt, đồ ăn quá nóng hoặc quá lạnh
– Nhìn thấy các lỗ hổng trên bề mặt răng
Sâu răng là vấn đề phổ biến mà hầu như chúng ta ai cũng từng gặp phải
2. Sâu răng có nên nhổ không?
Sâu răng có nên nhổ không là thắc mắc thường gặp ở rất nhiều bệnh nhân. Trên thực tế, tùy theo mức độ sâu răng, tình trạng viêm đau có gây ảnh hưởng đến tủy hay không, bác sĩ sẽ tư vấn phương pháp phù hợp cũng như thời gian nhổ răng khôn để tránh ảnh hưởng đến các răng kế cận. Do đó, để biết chính xác về phương hướng điều trị phù hợp thì bạn nên đến nha khoa để được bác sĩ chuyên khoa tư vấn cụ thể.
Đối với tùy từng trường hợp thì bác sĩ sẽ có cách xử lý khác nhau, ví dụ, với trường hợp răng sâu ở mức độ nhẹ sẽ được chỉ định khắc phục bằng những phương án như trám hay bọc răng sứ. Khi sâu răng nhẹ, chỉ tạo thành những lỗ hổng nhỏ trên bề mặt răng thì có thể sử dụng vật liệu trám để trám lại. Với kỹ thuật trám răng nhanh gọn, không mất quá nhiều thời gian để khôi phục chức năng ăn nhai cũng như tính thẩm mỹ một cách hiệu quả. Lưu ý, bọc răng sứ chỉ áp dụng đối với những trường hợp răng sâu vẫn còn đảm bảo cứng chắc.
Ngược lại, với những trường hợp răng bị sâu nghiêm trọng, cấu trúc răng đã bị phá hủy hoàn toàn, đồng thời không thể phục hồi bằng các biện pháp khác thì bắt buộc sẽ phải nhổ bỏ để bảo vệ những chiếc răng kế cận. Việc nhổ răng vĩnh viễn đôi khi có thể dẫn tới những biến chứng khó lường nếu như quy trình thực hiện không đúng kỹ thuật, do đó, để đảm bảo an toàn cho bản thân, bạn nên cân nhắc và tìm hiểu nhằm lựa chọn cơ sở nha khoa uy tín, chất lượng.
Nhìn chung, khi thấy dấu hiệu của bệnh lý sâu răng thì bạn nên đến nha sĩ để thăm khám và điều trị kịp thời, tránh việc phải nhổ răng vĩnh viễn. Tuy nhiên, nếu như tình trạng sâu răng nặng thì bạn đừng chần chừ mà thay vào đó nên loại bỏ răng sâu càng sớm càng tốt để bảo vệ sức khỏe răng miệng.
Với thắc mắc “sâu răng có nên nhổ không”, tùy thuộc vào tình trạng răng cụ thể cũng như mức độ sâu răng mà bác sĩ sẽ chỉ định phương pháp phù hợp
3. Một số lưu ý sau khi nhổ răng sâu
Sau khi nhổ răng sâu, bạn cần có chế độ chăm sóc răng miệng đúng cách để có thể phục hồi sức khỏe nhanh chóng cũng như hạn chế được nguy cơ bị nhiễm trùng. Dưới đây là một số lưu ý quan trọng bạn cần ghi nhớ sau khi nhổ răng:
– Cắn chặt bông gòn để cầm máu trong khoảng từ 1 đến 1,5 giờ sau khi mới nhổ răng sâu, nếu như máu vẫn tiếp tục chảy thì bạn vẫn cắn chặt thêm gạc cho đến khi máu ngừng hẳn
– Tuân thủ theo việc uống thuốc giảm đau như chỉ định của bác sĩ, thông thường với tiểu phẫu nhổ răng bình thường thì sẽ ít phải sử dụng thuốc giảm đau hơn so với nhổ răng khôn
– Sau khi nhổ răng có thể sẽ có hiện tượng bên má tại vị trí nhổ răng bị sưng. Ngày đầu, bạn có thể sử dụng túi lạnh để chườm ngoài môi hay má ở vị trí tương ứng. Lưu ý bạn chỉ nên chườm khoảng 15 phút/lần và túi lạnh nên để trong ngăn mát. Những ngày tiếp theo, bạn nên đắp chăn ấm để làm tan máu tụ cũng như làm giảm sưng.
– Bên cạnh đó, bạn nên lưu ý về chế độ dinh dưỡng. Ngày đầu tiên sau khi nhổ răng, bạn chỉ nên ăn cháo loãng và uống nhiều nước ép trái cây hay sữa đậu nành vì đây là những thực phẩm rất tốt cho quá trình lành thường.
– Nghỉ ngơi đầy đủ trong 24 giờ sau khi nhổ răng, tránh làm việc quá sức
– Không cho tay hay bất cứ thứ gì chạm vào vị trí nhổ răng bởi có thể dẫn đến nhiễm trùng
– Không uống rượu bia hay hút thuốc sau khi nhổ răng
– Nâng cao đầu khi ngủ để giúp ngăn tình trạng chảy máu răng
Quy trình nhổ răng tại Thu Cúc TCI được thực hiện bởi đội ngũ bác sĩ Răng Hàm Mặt đầu ngành giàu chuyên môn
Hi vọng rằng bài viết trên đã giúp bạn giải đáp thắc mắc sâu răng có nên nhổ không. Hiện nay, quá trình nhổ răng sâu thường diễn ra vô cùng nhanh chóng và đơn giản nên bạn hoàn toàn không phải lo lắng. Tại Thu Cúc TCI, quy trình nhổ răng luôn được đảm bảo an toàn, tuyệt đối dưới sự thực hiện trực tiếp của đội ngũ bác sĩ Răng Hàm Mặt đầu ngành có chuyên môn cao giàu kinh nghiệm. Bên cạnh đó, tại Thu Cúc TCI, sự hài lòng của khách hàng luôn là sứ mệnh được đặt lên hàng đầu, chúng tôi tin rằng với việc đầu tư, nâng cấp cơ sở vật chất, hệ thống thiết bị sẽ giúp khách hàng có trải nghiệm ưng ý nhất.

















